tin tuc

U nhầy mũi xoang (Paranasal sinus mucocele)

Thứ hai - 28/11/2022 20:00
U nhầy mũi xoang(Paranasal sinus mucocele)
1, Tổng quan
  • U nhầy mũi xoang là tổn thương lành tính, dạng nang, phát triển chậm, nằm trong các xoang cạnh mũi, có khả năng gây tiêu xương và xâm lấn các tổ chức kế cận.
  • Về vị trí: (theo Thompson LDR, Wenig BM)
  • Xoang trán và xoang sàng: >90%
  • Xoang hàm trên: 5-10%
  • Xoang bướm hiếm gặp nhất
2, Nguyên nhân và dịch tễ
  • Nguyên nhân: Tắc nghẽn lỗ thông xoang
  • Nguyên phát: viêm, phản ứng dị ứng, khối u.
  • Thứ phát: chấn thương, sau phẫu thuật xoang
  • Giới tính: không có sự khác nhau giữa 2 giới
  • Lứa tuổi: Có thể xảy ra ở mọi lứa tuổi
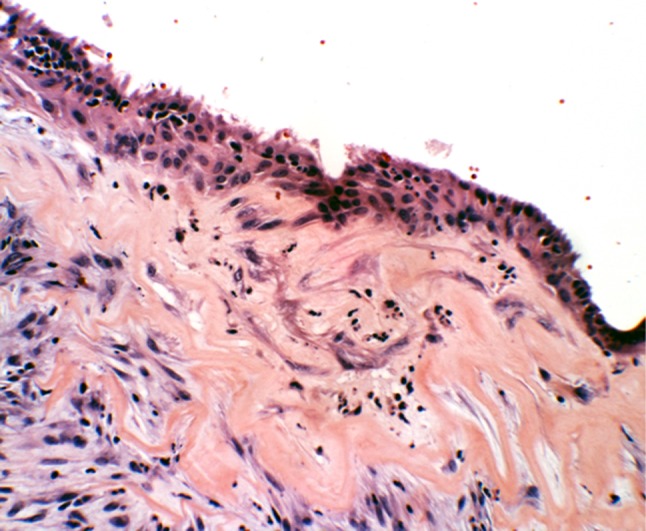
3, Vi Thể
  • Lòng nang: chất nhầy (Mucoid)
  • Thành nang: biểu mô trụ đơn hoặc biểu mô trụ giả tầng có lông chuyển
Viêm cấp, mạn tính và xơ hoá (Nguồn: Gregory G. Capra,  Peter N. Carbone, and David P. Mullin. Head Neck Pathol. 2012 Paranasal Sinus Mucocele )
Viêm cấp, mạn tính và xơ hoá (Nguồn: Gregory G. Capra,  Peter N. Carbone, and David P. Mullin. Head Neck Pathol. 2012 Paranasal Sinus Mucocele )


4, Cơ chế tiêu xương và xâm lấn
  • Các tác giả Lund và Milroy cho rằng rằng sự cản trở dòng chảy của xoang kết hợp với nhiễm trùng bội nhiễm gây ra sự giải phóng các cytokine từ các tế bào lympho và bạch cầu đơn nhân. Sự giải phóng cytokine sẽ kích thích các nguyên bào sợi tiết ra prostoglandin và collagenase, do đó có thể kích thích quá trình tiêu xương dẫn đến quá trình xâm lấn của u nhầy
5, Đặc điểm lâm sàng
  • Triệu chứng và mức độ nghiêm trọng phụ thuộc:
  • Vị trí tổn thương,
  • Kích thước khối u
  • Mức độ tiêu xương
  • Mức độ xâm lấn của khối u
  • Các triệu chứng có thể gặp:
  • Đau đầu
  • Đau căng nặng mặt
  • Nghẹt mũi
  • Chảy dịch mũi
  • Chảy máu mũi
  • Sưng nề vùng mặt
  • Rối loạn thị giác: lồi mắt, nhìn đôi, giảm thị lực
  • Dấu hiệu thần kinh khu trú
  • Theo nghiên cứu của Murat và cộng sự (2006- 2013) trên 18 bệnh nhân: Đau 66%, Lồi mắt 22%, nghẹt mũi 16% và sưng mặt 16%
  • Theo nghiên cứu Diogo và cộng sự (2019) trên 46 bệnh nhân: Đau 60,9%, Lồi mắt 30,9%, giảm thị lực 13%
6, Cận lâm sàng
a, CT scan
  • Trước một bệnh nhân có triệu chứng lâm sàng và/hoặc nghi ngờ trên nội soi thì CT scan là phương tiện được chỉ định tiếp theo.
  • CT scan là tiêu chuẩn vàng trong bệnh lý u nhầy mũi xoang:
  • Định hình rõ các mốc giải phẫu của u nhầy
  • Sự ảnh hưởng của u nhầy với cấu trúc xương lân cận
  • Lập kế hoạch phẫu thuật
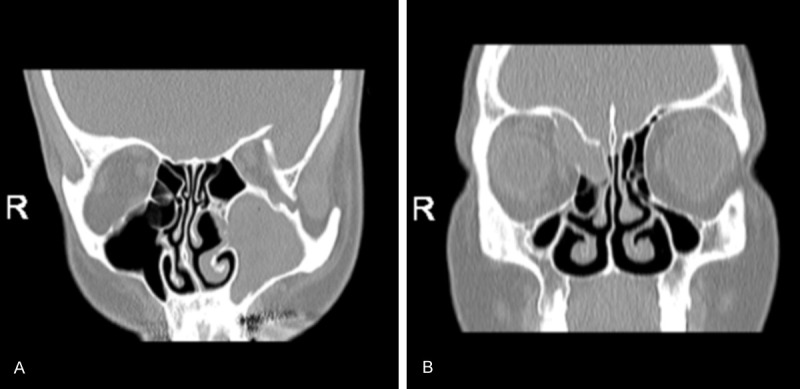
  • Các tiêu chuẩn trên CT scan của u nhầy mũi xoang:
  • Khối mật độ đồng nhất dạng nang, có bờ rõ, không bắt thuốc cản quang
  • Xâm lấn rộng
  • Ăn mòn mô xương xung quanh
  • Xơ hoá rìa
Hỉnh ảnh u nhầy xoang hàm và xoang sàng trên CT scan (Nguồn: Murat Topdag ,  Mete Iseri ,  Fatih Sari ,  Selvet Erdogan , và I Gurkan Keskin .Paranasal sinus mucoceles: our clinical experiments 2015)
Hỉnh ảnh u nhầy xoang hàm và xoang sàng trên CT scan (Nguồn: Murat Topdag ,  Mete Iseri ,  Fatih Sari ,  Selvet Erdogan , và I Gurkan Keskin .Paranasal sinus mucoceles: our clinical experiments 2015)
b, MRI
  • Vai trò:
  • Liên quan u với mô mềm lân cận: mô não, ổ mắt, …
  • Phân biệt với u khác
  • Hình ảnh u nhầy trên MRI:
-Giai đoạn đầu (U chứa nhiều nước): Giảm đậm độ thì T1, tăng đậm độ thì T2
-Giai đoạn sau (Tích tụ protein): Tăng đậm độ trên cả T1 và T2
Hình ảnh lâm sàng và MRI của 1 bệnh nhân u nhầy xoang sàng, có biến chứng lồi mắt- Được chẩn đoán và điều trị phẫu thuật tại bệnh viện đa khoa tỉnh Quảng Trị
Hình ảnh lâm sàng và MRI của 1 bệnh nhân u nhầy xoang sàng, có biến chứng lồi mắt
- Được chẩn đoán và điều trị phẫu thuật tại bệnh viện đa khoa tỉnh Quảng Trị
(a) Hình ảnh CT scan lát cắt axial cho thấy u nhầy xoang trán- sàng trái gây tiêu xương thành trong ổ mắt trái và (b) Hình ảnh MRI lát cắt axial và (c) nhát cắt coronal trên cùng 1 bệnh nhân cho thấy hình ảnh xâm lấn vào ổ mắt, gây ra trên lâm sàng bệnh nhân có lồi mắt trái. (Nguồn: Sarah A. AlMansour1, Ali A. AlMomen2 The Endonasal Endoscopic Management of Paranasal Sinuses Mucoceles (2021))
(a) Hình ảnh CT scan lát cắt axial cho thấy u nhầy xoang trán- sàng trái gây tiêu xương thành trong ổ mắt trái và (b) Hình ảnh MRI lát cắt axial và (c) nhát cắt coronal trên cùng 1 bệnh nhân cho thấy hình ảnh xâm lấn vào ổ mắt, gây ra trên lâm sàng bệnh nhân có lồi mắt trái. (Nguồn: Sarah A. AlMansour1, Ali A. AlMomen2 The Endonasal Endoscopic Management of Paranasal Sinuses Mucoceles (2021))
7, Điều trị
  • Phương pháp điều trị hiệu quả duy nhất cho u nhầy mũi xoang là phẫu thuật.
  • Chiến lược điều trị phụ thuộc
-Vị trí khối u
-Kích thước và mức độ xâm lấn
=>Xác định bằng CT scan +-MRI
  • Có 3 cách tiếp cận chính
  • Phẫu thuật mở
  • Phẫu thuật nội soi
  • Kết hợp phẫu thuật mở và nội soi
  • Hiện nay, phẫu thuật nội soi được ưu tiên lựa chọn, bởi:
- Thời gian mổ nhanh
- Xâm lấn tối thiểu
- Bảo tồn chứng năng niêm mạc mũi xoang
- Thời gian nằm viện ngắn
  • Giảm biến chứng của cuộc mổ: rò rỉ dịch não tủy, nhiễm trùng, mất máu, mất thị lực
  • Tỉ lệ tái phát thấp
  • 1 Số trường hợp phẫu thuật mở được chỉ định:
  • U nhầy ở thành ngoài xoang hàm trên
  • U nhầy ở vị trí thành ngoài xoang trán
  • U nhầy có đường rò ra da
8, Tiên lượng
  • Tỷ lệ tái phát tổng thể khác nhau giữa các nguồn, nhưng nó được coi là ít hơn 10% các trường hợp được báo cáo
  • Sự tái phát u nhầy mũi xoang trung bình được phát hiện vào năm thứ 4 sau phẫu thuật
Tài liệu tham khảo:
1. Lund VJ, Milroy CM. Fronto-ethmoidal mucocoeles: a histopathological analysis. J Laryngol Otol. 1991;105:921–3
2. Thompson LD. Paranasal sinus mucocele. Ear Nose Throat J. 2012;91:276–8
3. Thompson LDR, Wenig BM. Mucocele of paranasal sinus. In: Diagnostic pathology: head and neck. Salt Lake City: Amirsys, 2011, p 45.
4. Obeso S, Llorente JL, Rodrigo JP, Sanchez R, Mancebo G, Suarez C. Paranasal sinuses mucoceles. Our experience in 72 patients. Acta Otorrinolaringol Esp. 2009;60(5):332–339. doi: 10.1016/j.otorri.2009.05.006.
5. Lee TJ, Li SP, Fu CH, Huang CC, Chang PH, Chen YW, Chen CW. Extensive paranasal sinus mucoceles: a 15-year review of 82 cases. Am J Otolaryngol Head Neck Med Surg. 2009;30:234–238
6. George A. Scangas, MD, David A. Gudis, MD and David W. Kennedy, MD.  The natural history and clinical characteristics of paranasal sinus mucoceles: a clinical review. 2013
7, Gregory G. Capra,  Peter N. Carbone, and David P. Mullin. Head Neck Pathol. 2012 Paranasal Sinus Mucocele
8, Rachida Bouatay,1,& Lamia Aouf,1 Badii Hmida,2 Amel El Korbi,1 Naourez Kolsi,1 Khaled Harrathi,1 and Jamel Koubaa1 The role of imaging in the management of sinonasal mucoceles (2019)
9, Murat Topdag , Mete Iseri , Fatih Sari , Selvet Erdogan , 1 và I Gurkan Keskin 1 Paranasal sinus mucoceles: our clinical experiments (2015)
10, Diogo Barreto Plantier,1 Deusdedit Brandão Neto,1 Fabio de Rezende Pinna,1 and Richard Louis Voegels1 . Mucocele: Clinical Characteristics and Outcomes in 46 Operated Patients
11, Sarah A. AlMansour1Ali A. AlMomen2 The Endonasal Endoscopic Management of Paranasal Sinuses Mucoceles (2021)

Tác giả: BS. Trương Minh Quân

Tổng số điểm của bài viết là: 2 trong 2 đánh giá

Xếp hạng: 1 - 2 phiếu bầu

  Ý kiến bạn đọc

Những tin mới hơn

Những tin cũ hơn

Album ảnh bệnh viện
Bạn đã không sử dụng Site, Bấm vào đây để duy trì trạng thái đăng nhập. Thời gian chờ: 60 giây
Gửi phản hồi