tin tuc

Vỡ thành hốc mắt

Thứ năm - 05/01/2023 02:42
Hốc mắt nằm giữa các xương của sọ và mặt. Mỗi hốc mắt được tạo nên từ 7 xương mặt và sọ, tạo nên 4 thành: trên, dưới, trong, ngoài. Thành dưới hốc mắt là vị trí thường gặp tổn thương nhất trong các thành của hốc mắt do cấu trúc xương rất mỏng khi có chấn thương.
1.Nguyên nhân: 
  • Các tai nạn trong lao động, sinh hoạt hoặc giao thông như bị cây đập vào, ngã đập mặt xuống nền cứng...
  • Do bị đánh mạnh vào vùng mặt.
2.Triệu chứng lâm sàng:
  • Triệu chứng chủ quan: Đau khi liếc mắt, phù mi, nhìn đôi 2 mắt…
  • Triệu chứng khách quan
+ Hạn chế vận nhãn (đặc biệt nhìn lên, ra ngoài hoặc cả hai)
+ Lõm mắt, sụp mi…
3.Cận lâm sàng:
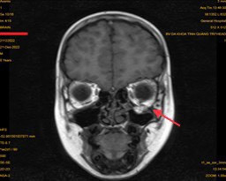
Chụp X-quang và CTScan hốc mắt thấy rõ vùng xương hốc mắt bị tổn thương. Chụp CTScan/MRI có thể cho thấy cơ bị xoắn hoặc kẹt vào xương bị tổn thương. Vỡ sàn ổ mắt rộng (>50%) hoặc vỡ sàn ổ mắt kết hợp vỡ thành trong ổ mắt rộng, sau một thời gian sẽ dẫn tới lõm mắt.
4.Điều trị
  • Kháng sinh, chống viêm, giảm đau, giảm phù nề.
  • Phẫu thuật phục hồi ổ mắt:
+ Can thiệp ngay ( trong vòng 24 đến 72 giờ): Nếu có dấu hiệu kẹt cơ và nhịp tim chậm không phục hồi, buồn nôn hoặc nôn...
+ Can thiệp sau 1-2 tuần: Nhìn đôi kéo dài ở tư thế nguyên phát hoặc khi nhìn xuống dưới, không cải thiện sau 1 tuần.
+ Can thiệp muộn: lõm mắt hoặc nhãn cầu tụt xuống
5.Theo dõi:
  • ánh giá nhìn đôi và/hoặc lõm mắt sau khi hết phù mắt.
  • Soi đáy mắt đánh giá võng mạc chu biên.
  • Theo dõi thêm các chấn thương nhãn cầu phối hợp.
Nhân một trường hợp bệnh nhân nam 8 tuổi được chẩn đoán vỡ sàn hốc mắt trái do chấn thương. Bệnh nhân vào viện vì đau nhức mắt trái sau chấn thương, khám hạn chế vận nhãn lên trên, sụp mi, chụp MRI hốc mắt có hình ảnh vỡ sàn hốc mắt, thoát vị mô mềm hốc mắt vào xoang hàm trái.
Vỡ thành hốc mắt Vỡ thành hốc mắt
Vỡ thành hốc mắt Vỡ thành hốc mắt
Tài liệu tham khảo:
  1. https://www.aao.org/focalpointssnippetdetail.aspx?id=0abee730-6a7a-4462-8903-1ef2630a8821
  2. Các phần phụ thuộc của mắt. Sách Nhãn khoa – Tập 1- Đỗ Như Hơn.
  3. https://benhvienvietduc.org/vo-san-hoc-mat-nguoi-phu-nu-dau-tien-tai-vn-duoc-noi-soi-tai-tao-hoan-toan-qua-duong-mieng.html

Tác giả: Bs Lê Thị Anh Đào

Tổng số điểm của bài viết là: 5 trong 5 đánh giá

Xếp hạng: 1 - 5 phiếu bầu

  Ý kiến bạn đọc

Những tin mới hơn

Những tin cũ hơn

Album ảnh bệnh viện
Bạn đã không sử dụng Site, Bấm vào đây để duy trì trạng thái đăng nhập. Thời gian chờ: 60 giây
Gửi phản hồi