Cone Beam CT và Những ứng dụng trong chuyên ngành Răng - Hàm - Mặt
ThsBS Đặng Thuỳ Nhung - Khoa RHM
2022-11-23T20:56:02-05:00
2022-11-23T20:56:02-05:00
https://www.quangtrihospital.vn/vi/news/kien-thuc-y-khoa/cone-beam-ct-va-nhung-ung-dung-trong-chuyen-nganh-rang-ham-mat-950.html
https://www.quangtrihospital.vn/uploads/news/2022_11/image_10.png
Bệnh viện đa khoa tỉnh Quảng Trị | Bệnh viện tỉnh Quảng Trị | BVĐK Quảng Trị
https://www.quangtrihospital.vn/uploads/lgbvn-3.svg
Thứ năm - 17/11/2022 20:02
Trong y học nói chung và nha khoa nói riêng đã có những tiến bộ vượt bậc nhờ sự hỗ trợ của khoa học kỹ thuật, áp dụng các máy móc hiện đại trong chẩn đoán và điều trị. Hiện nay, Cone beam CT tạo ra hình ảnh 3 chiều của cấu trúc răng, mô mềm, thần kinh, xương vùng hàm mặt đã phổ biến, cho phép lập kế hoạch điều trị chính xác hơn. So với chụp XQ răng truyền thống thì phương pháp chụp XQ cone beam CT mang lại nhiều ưu điểm vượt trội như:
- Tia Xquang tập trung hơn, vì vậy cho hình ảnh 3D chất lượng tốt hơn so với phương pháp chụp Xquang răng truyền thống;
- Đem lại nhiều góc nhìn khác nhau chỉ với 01 lần quét duy nhất;
- Phương pháp này không đau, không xâm lấn và cho kết quả chính xác tuyệt đối.
| - Phát hiện bệnh lý xương hàm: CBCT giúp các BS phẫu thuật hàm mặt phát hiện, chẩn đoán, đánh giá độ lan rộng của các bệnh lý xương hàm xâm lấn như u nguyên bào men, nang sừng do răng, ung thư xương hàm, ….. từ đó lên kế hoạch điều trị cũng như vị trí mổ phù hợp | | |
| - Phát hiện gãy xương và gãy răng do chấn thương: Chấn thương răng là loại chấn thương phổ biến trong tai nạn liên quan đến vùng đầu mặt mà phim 2D có thể không thể hiện rõ đường và hướng gãy. Tương tự với gãy xương, phim CBCT sẽ thể hiện rõ nhất những đường gãy và những mảnh xương gãy để bác sĩ phẫu thuật có thể lên kế hoạch mổ kết hợp xương phù hợp và thẩm mỹ nhất. | | |
| - Ứng dụng trong chỉnh nha: Với phim chụp CBCT, bác sĩ chỉnh nha có thể coi tình trạng răng ngầm, hướng mọc của các răng, tương quan và sự phát triển xương hàm, vị trí xương để đặt minivis, phân tích các thông số chỉnh nha về thẩm mỹ khuôn mặt, đánh giá kết quả trước và sau khi chỉnh nha của bệnh nhân. | | |
| - CBCT trong việc lập kế hoạch điều trị Implant sử dụng hình ảnh 3D và đa lớp cắt để xác định chính xác chiều cao, độ rộng và giải phẫu của phần xương hàm và xương ổ răng cũng như mối tương quan vùng mất răng với cấu trúc giải phẫu liền kề như ống thần kinh răng dưới. Đặt Implant với máng hướng dẫn phẫu thuật có thể được thực hiện với các dữ liệu CBCT. Với khả năng 3 chiều của CBCT, các nhà lâm sàng có thể quyết định liệu có cần đến việc ghép xương, nâng xoang trước khi đặt Implant hay không cũng như chọn kích thước implant phù hợp nhất cho từng vùng xương. | | |
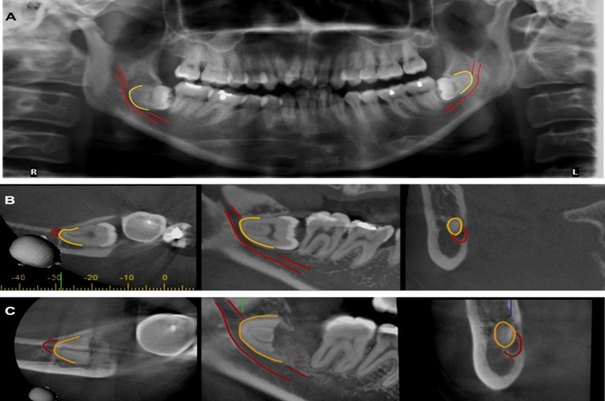
| - CBCT trong chẩn đoán răng khôn mọc lệch/ mọc ngầm: Nhờ có sự giúp đỡ của CBCT, bác sĩ có thể lường trước được mối liên quan của dây thần kinh với chân răng khôn cũng như quyết định thực hiện kỹ thuật nhổ răng khôn trong một lần duy nhất hay chỉ cắt thân răng khôn, chờ chân răng trồi lên. | | |
- CBCT trong điều trị nội nha: Trong điều trị tuỷ hay điều trị nội nha, cấu trúc giải phẫu ống tuỷ phức tạp như ống tuỷ chia sâu, ống tuỷ rẽ nhánh, các ống tuỷ phụ, ống tuỷ hình C và các tình trạng bệnh lý tuỷ như sỏi tuỷ, calci hoá ống tuỷ gây khó khăn rất nhiều cho việc điều trị và không thể thấy được trên phim X quang 2D thông thường. Với phim chụp CBCT sẽ hỗ trợ tối đa cho Bác sĩ trong việc đánh giá giải phẫu ống tuỷ theo 3 chiều không gian cũng như phân tích được những cản trở, bệnh lý ống tuỷ hỗ trợ cho điều trị tốt hơn. | | |
| - CBCT trong chẩn đoán bệnh lý khớp thái dương hàm: Phim CBCT trực quan chụp khớp thái dương hàm (TMJ) mỗi bên có thể sử dụng để đánh giá cho những thay đổi của phần xương vùng này đến lồi cầu xương hàm dưới và xương thái dương cũng như tương quan lổi cầu trong hõm khớp. Những thay đổi của phần xương này có thể là kết quả của chấn thương/gãy xương, loạn sản, quá sản hay các bệnh lý về xương | | |
Hiện nay, Bệnh viện đa khoa tỉnh đã trang bị máy chụp X-quang Cone beam CT rất hiện đại với nhiều tính năng, chụp được cả phim 2D Panorama với in phim kỹ thuật số và hình ảnh 3D qua phần mềm đọc được cài trong đĩa DVD giúp cả bệnh nhân và bác sĩ đều dễ dàng xem, nghiên cứu. Khi nghi ngờ có tổn thương mà trên phim Panorama không phát hiện ra thì nên chụp tiếp Cone Beam CT để thấy rõ hơn.
Hàng năm, có rất nhiều bệnh nhân đến thăm khám và được tư vấn chụp Cone Beam CT tại Bệnh viện đa khoa tỉnh Quảng Trị đem lại kết quả điều trị thành công cao. Dưới đây là một vài trường hợp bệnh nhân cụ thể điều trị tại Khoa Răng Hàm Mặt: - Trường hợp 1: Bệnh nhân nữ, 33 tuổi đến khám với lý do đau nhức vùng răng 38, 48 nhiều lần. Thăm khám trên lâm sàng, răng 38, 48 lệch gần, nhú 1 phần thân răng trên cung hàm, nướu tương ứng sưng đỏ. Bệnh nhân được chụp XQ răng toàn cảnh thường qui nghi ngờ có nguy cơ cao chèn ép ống thần kinh hàm dưới, gây nguy cơ chấn thương thần kinh cao khi phẫu thuật nhổ răng khôn. Bệnh nhân được chỉ định chụp Cone Beam CT kiểm tra, qua các lớp cắt đã thấy rõ hình ảnh răng khôn hàm dưới mọc lệch chèn ép thần kinh . 
- Trường hợp 2: Bệnh nhân nữ, 75 tuổi đến khám với lý do khối sưng vùng vòm khẩu cái cách đây hơn 01 năm, nay kích thước lớn dần nên vào viện. Thăm khám lâm sàng thấy vòm khẩu cái tương ứng vùng răng 11, 12 có khối sưng, mật độ mềm, có dấu bóng nhựa, giới hạn không rõ, ấn đau nhức. Nướu quanh răng 11, 12 viêm đỏ. Bệnh nhân được chụp phim XQ răng toàn cảnh thường qui để kiểm tra thấy hình ảnh thấu quang rộng từ vùng chân răng 13 đến răng 21. Bệnh nhân được chụp tiếp Cone Beam CT, qua các lớp cắt đã thấy rõ hình ảnh có có răng mọc ngầm lệch hoàn toàn trong xương vùng chân răng 11, 12, 13 và 22, hình ảnh thấu quang rộng từ vùng chân răng 13 đến răng 21, kích thước khoảng 3x3cm. Bác sỹ điều trị lập kế hoạch cụ thể phẫu thuật nạo nang lấy bỏ răng ngầm. 
Vì vậy, chụp X quang cone beam CT có vai trò rất quan trọng trong việc chẩn đoán, điều trị và dự phòng các bệnh răng miệng đối với cả người lớn và trẻ em.. Chụp X quang răng để chẩn đoán được tiến hành bằng các máy X quang số hóa hoàn toàn (Digital Radiography). Điều này giúp giảm tới 50% liều tia so với các máy X quang “truyền thống” trước đây. Nhờ đó đảm bảo tối đa tính an toàn cùng hiệu quả trong việc chẩn đoán và điều trị bệnh. Tại Bệnh viện đa khoa tỉnh Quảng Trị không chỉ có hệ thống trang thiết bị hiện đại, Bệnh viện còn là nơi quy tụ đội ngũ các y, bác sĩ giàu kinh nghiệm sẽ hỗ trợ phần nhiều trong việc chẩn đoán và phát hiện sớm những dấu hiệu bất thường của cơ thể người bệnh. đảm bảo sẽ mang đến cho người bệnh sự thoải mái, thân thiện, yên tâm nhất.
Tác giả: ThsBS Đặng Thuỳ Nhung - Khoa RHM
Những tin mới hơn
Những tin cũ hơn