tin tuc

Gãy trên lồi cầu xương cánh tay trẻ em

Thứ sáu - 14/10/2022 20:00
Gãy trên lồi cầu xương cánh tay trẻ em
I. TỔNG QUAN
Gãy trên lồi cầu xương cánh tay là loại gãy xương ở khuỷu tay phổ biến  ở trẻ em, chiếm khoảng 12-17% trong tổng số ca  gãy xương ở trẻ em. Phần lớn thường gặp ở trẻ em dưới 10 tuổi, tỉ lệ cao nhất ở lứa tuổi từ 5-7 tuổi,
Cơ chế chấn thương phổ biến nhất do chống tay xuống đất với  khuỷu duỗi quá mức. Hiếm hơn ( < 05 % số ca) , Gãy trên lồi cầu xương cánh tay sau  ngã với tư thế khuỷu gập trường hợp này được gọi là gãy trên lồi cầu xương cánh tay kiểu gập.

Gãy trên lồi cầu xương cánh tay có liên quan đến tình trạng bệnh tật do can lệch, các biến chứng mạch máu thần kinh, và hội chứng chèn ép khoang. Sự không liền xương ở gãy trên lồi cầu xương cánh tay là hiếm gặp, nhưng trong trường hợp có xảy ra thì nó có thể dẫn đến sự biến dạng lâu dài và khiếm khuyết chức năng.
II. PHÂN ĐỘ
           Gãy trên lồi cầu xương cánh tay được phân loại thành kiểu gãy duỗi và kiểu gãy gập dựa vào sự di lệch của đầu gãy xa.
           Kiểu gãy duỗi thường được phân loại chủ yếu dựa vào  hệ thống phân độ Garland cải tiến. Phân độ Gartland cổ điển chia  làm 3 độ và độ IV được đề xuất gần đây:
+ Độ I : Gãy không di lệch, hoặc di lệch tối thiểu ( <2mm) với đường trước xương cánh tay bảo tồn ( được mô tả ,đánh giá trên X quang)
+Độ II : không ảnh hưởng đến vỏ xương màng xương phía sau nhưng có gãy  duỗi của đầu  xa. Wilkins (1984) chia độ 2 thành 2 độ nhỏ hơn: Độ IIa: không có sự di lệch xoay, trong khi độ IIb có di lệch xoay mặc dù vỏ xương phía sau vẫn còn nguyên vẹn . Sự khác biệt này giúp hỗ trợ xác định phương pháp điều trị thích hợp ,
+Độ III: Gãy di lệch hoàn toàn không còn dính vỏ xương, nó thường mô tả kèm di lệch xoay,
+ Độ IV: Gãy trên lồi cầu xương cánh tay kèm với sự mất vững  đa hướng  nghĩa là mất vững cả gấp và duỗi khi nắn chỉnh, và đặc biệt cần được phát hiện ở phòng mổ
Hình 1: Gãy trên lồi cầu xương cánh tay Gartland độ I với bất thường vỏ xương và dấu hiệu bờm mỡ ở phía sau (Courtesy of Stephanie A. Russo, MD)
Hình 1: Gãy trên lồi cầu xương cánh tay Gartland độ I với bất thường vỏ xương và dấu hiệu bờm mỡ ở phía sau (Courtesy of Stephanie A. Russo, MD)
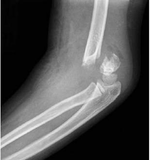
Hình 3:Gãy trên lồi cầu xương cánh tay Gartland độ IIB ,vỏxương phía sau còn nguyên vẹn kèm di lệch xoay ( Courtesy of Joshua M. Abzug, MD)
Hình 3:Gãy trên lồi cầu xương cánh tay Gartland độ IIB ,vỏxương phía sau còn nguyên vẹn kèm di lệch xoay ( Courtesy of Joshua M. Abzug, MD)
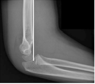
Hình 2: Gãy trên lồi cầu xương cánh tay Gartland độ IIA , đầu gãy xa duỗi so với đường trước xương cánh tay (đường trắng). Ở những trường hợp khuỷu không tổn thương ở trẻ trên 4 tuổi, đường trước xương cánh tay đi qua 1/3 giữa lồi cầu ( Courtesy of Joshua M. Abzug, MD)
Hình 2: Gãy trên lồi cầu xương cánh tay Gartland độ IIA , đầu gãy xa duỗi so với đường trước xương cánh tay (đường trắng). Ở những trường hợp khuỷu không tổn thương ở trẻ trên 4 tuổi, đường trước xương cánh tay đi qua 1/3 giữa lồi cầu ( Courtesy of Joshua M. Abzug, MD)
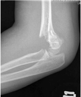
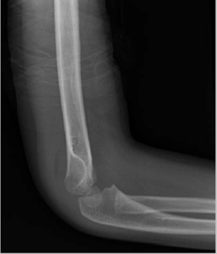
Hình 4: Gãy trên lồi cầu xương cánh tay độ III với sự di lệch hoàn toàn đầu gãy xa ( (Courtesy of Joshua M. Abzug, MD)
Hình 4: Gãy trên lồi cầu xương cánh tay độ III với sự di lệch hoàn toàn đầu gãy xa ( (Courtesy of Joshua M. Abzug, MD)
III. ĐIỀU TRỊ
1. ĐIỀU TRỊ KHÔNG PHẪU THUẬT :
Thường được chỉ định với loại gãy xương không di lệch, ( Gartland độ I) hoặc gãy có di lêch tối thiểu mà không có biến dạng xoay ( Gartland độ IIa)
Gartland độ I không có gãy vụn ở phía  trong có thể được điều trị  bởi nẹp nâng đỡ  cánh tay dài  ở tư thế khuỷu gấp 90 độ và cẳng tay trung tính hoặc treo tay (collar and cuff) dựa vào phác đồ của từng bệnh viện . Khi sử dụng nẹp nâng đỡ, cần lưu ý đến các khu vực bị đè ép và lặp lại kiểm tra thần kinh mạch máu sau khi áp dụng. Nếu sưng nề mức độ cho phép có thể thay nẹp nâng đỡ thành bột cánh tay dài trong 1-2 tuần. Tổng thời gian bất động là 4 -6 tuần, tùy thuộc vào phác đồ .
Đối với Gartland IIa, với sưng nề ít và không có gãy vụn ở phía trong cũng có thể được điều trị không phẫu thuật. Treo tay với tự thế khuỷu gấp tối đa được sử dụng như là một phương pháp nắn chỉnh và duy trì sự đồng trục. Điều quan trọng là phải treo tay trong suốt thời gian điều trị, nắm tay của bệnh nhân luôn để ở dưới cằm  để đạt được độ gấp khuỷu tốt nhất. Luôn kiểm tra mạch quay và sự tưới máu. Chỉ đinh X quang khuỷu tay lặp lại để kiểm tra sự liền xương. Tổng thời gian bất động khoảng 4-6 tuần tùy phác đồ
Điều đáng chú ý là, việc điều trị gãy xương độ IIa đang còn là vấn đề đang tranh luận, nó còn tùy thuộc vào phác đồ của từng bệnh viện và lựa chọn của phẫu thuật viên,
2. ĐIỀU TRỊ PHẪU THUẬT
Chỉ định:
Chỉ định nắn kính xuyên đinh Kirschner qua da bao gồm:
+ Độ IIa nặng, độ IIb, và độ III
+ Thay đổi thần kinh mạch máu
+Liên quan đến các tổn thương chi trên cùng bên( 5%-10% bệnh nhân có gãy đầu xa xương quay kèm theo)
Chỉ định mổ mở và xuyên đinh Kirschner cố định bao gồm:
+Thất bại trong việc nắn kín ( thường do xâm nhập mô mềm vào ổ gãy )
+Vị trí vào đinh phía trong ( thường thực hiện thông qua đường mổ tối thiểu  để tránh tổn thương thần kinh trụ)
+ Gãy duỗi độ III
3. MÔ TẢ KỸ THUẬT
Có nhiều kỹ thuật phẫu thuật khác nhau đối với gãy trên lồi cầu xương cánh tay:
3.1. Sử dụng đinh Kirschner
Xuyên 02 đinh Kirschner ở phía ngoài  là đủ để giữ ổ gãy, việc nắn chỉnh thường được thực hiện dưới màn hình tăng sáng, kiểm tra động tác xoay trong, xoay ngoài. Nếu phát hiện ổ gãy không vững, cân nhắc việc xuyên thêm đinh thứ 3 hoặc sử dụng kỹ thuật xuyên  đinh chéo nhau ( cross-pin construct)
Xuyên ba đinh Kirschner thường được sử dụng khi hai đinh không thể kiểm soát được di lệch xoay hoặc lực  xoắn. Kỹ thuật này có ưu thế về mặt sinh cơ học hơn so với kỹ thuật xuyên hai đinh, và tương đương với xuyên đinh chéo nhau
Kỹ thuật xuyên đinh chéo nhau đảm bảo sinh cơ học tốt nhất . Một đường mổ tối thiểu hoặc mở ở vị trí xuyên đinh phía trong để tránh làm tổn thương thần kinh trụ. Đinh ở phía trong được xuyên khi khuỷu ở trạng thái duỗi.
Hình 3.1.1 Màn hình tăng sáng hỗ trợ trong việc nắn chỉnh và phẫu thuật
Hình 3.1.1  Màn hình tăng sáng hỗ trợ trong việc nắn chỉnh và phẫu thuật
Hình 3.1.2: A,B :Phim chụp khớp khuỷu ở bệnh nhân nam 5 tuổi gãy trên lồi cầu xương cánh tay Gartland IIb . C,D: Phim sau chụp của cùng bệnh nhân, sử dụng hai đinh Kirschner phía ngoài
Hình 3.1.2:  A,B :Phim chụp khớp khuỷu ở bệnh nhân nam 5 tuổi gãy trên lồi cầu xương cánh tay Gartland IIb . C,D: Phim sau chụp của cùng bệnh nhân, sử dụng hai đinh Kirschner phía ngoài
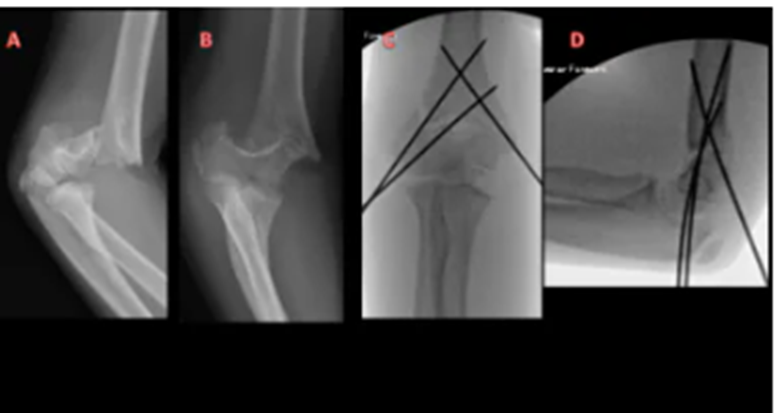
Hình 3.1.3: A,B : Phim chụp khớp khuỷu bệnh nhân nữ 10 tuổi gãy trên lồi cầu xương cánh tay độ III. C,D: Phim trong mổ của cùng bệnh nhân nắn chỉnh và cố định ổ gãy. Hai đinh Kirschner được sử dụng để làm vững cột ngoài, và một đinh Kirschner sử dụng để làm vững cột trong
Hình 3.1.3: A,B : Phim chụp khớp khuỷu bệnh nhân nữ 10 tuổi gãy trên lồi cầu xương cánh tay độ III. C,D: Phim trong mổ của cùng bệnh nhân nắn chỉnh và cố định ổ gãy. Hai đinh Kirschner được sử dụng để làm vững cột ngoài, và một đinh Kirschner sử dụng để làm vững cột trong
3.2. Nắn kín
Kỹ thuật nắn kín bao gồm các yếu tố sau:
Kéo trực tiếp khi khuỷu gấp
Nắn chỉnh di lệch varus/ valgus trong mặt phẳng đứng ngang 
Nắn chỉnh trong mặt phẳng đứng dọc – tư thế khuỷu gấp tối đa , nắn chỉnh kiểu gãy duỗi bằng cách sử dụng ngón cái đẩy đầu gãy xa ra trước, cẩn thận với gãy xương độ IV vì mất vững cả gấp và duỗi
Kiểm tra nắn chỉnh bằng cách đặt khuỷu tay xoay ngoài , đánh giá góc Baumann và xác định đường trước xương cánh tay cắt qua giữa lồi cầu
3.3. Mổ mở
Đối với đường mổ phía trong, chi trên được đặt ở tư thế xoay ngoài ( tư thế ổn định) . Rạch da đường cong từ mào trên lồi cầu  của lồi cầu trong qua đi khớp khuỷu. Dây thần kinh trụ được bộc lộ phía đầu gần giữa cơ tam đầu và vách gian cơ trong, và đầu xa ở đường hầm phía sau của lồi cầu trong. Mào trên lồi cầu trong và ổ gãy trên lồi cầu xương cánh tay được bộc lộ. Bất kì mô mềm nào trong ổ gãy( ví dụ, cơ cánh tay bị mắc kẹt phía trong) được loại bỏ tạo điều kiện cho việc nắn chỉnh, ổ gãy được nắn chỉnh dưới tầm nhìn trực tiếp cùng với sự hỗ trợ của màn hình tăng sáng. Một đinh Kirschner được xuyên từ phía  trong hướng  ra ngoài
Đường mổ tối thiểu phía trong thường được sử dụng để đặt và  xuyên đinh Kirschner phía trong ngăn chặn tổn thương thần kinh trụ. Một đường rạch nhỏ khoảng 1-2 cm trên lồi cầu trong . Bóc tách xuống tận xương hoặc sụn. Đinh Kirschner được xuyên dưới mắt nhìn trực tiếp hỗ trợ bằng màn hình tăng sáng
Phương pháp tiếp cận bằng đường mổ trước trong được ưu tiên trong trường hợp tham dò động mạch cánh tay trong trường hợp thiếu máu chi cục bộ,
IV. BIẾN CHỨNG
Các biến chứng có thể có sau điều trị gãy  trên lồi cầu xương cánh tay trẻ em bao gồm:
+Nhiễm trùng chân đinh
+Đinh di chuyển
+Can lệch
+ Vẹo trong/ vẹo ngoài
+Recurvatum
+ Liệt thần thần kinh ( tổn thương trực tiếp hoặc co kéo đụng dập
+Tổn thương mạch máu: Mất mạch quay ( Khoảng 10% tổn thương, phổ biến ở tổn thương độ III ), không có mạch sau khi CRPP(3%)
+ Co thắt Volkmann : hiếm gặp nhưng là biến chứng khá nghiêm trọng,xảy ra thứ phát sau chèm ép động mạch cánh tay khi khuỷu tay quá gập trong qá trình bất động gãy xương, sau phẫu thuật , bất động tay với khuỷu không gập quá 90 độ
+ Hội chứng chèn ép khoang
+Cứng khớp khuỷu sau tổn thương
+ Lặp lại can thiệp phẫu thuật
+ Tổn thương  hoặc cuộn xoắn phần mềm do xuyên đinh qua da, hoặc xuyên nhiều lần trong quá trình phẫu thuật
 Tài liệu tham khảo
1. Jiun-Lih Jerry Lin, M. B. B. S. (2022, June 29). Pediatric supracondylar humerus fractures treatment & management: Nonoperative Therapy, surgical therapy, approach to pulseless limb. Pediatric Supracondylar Humerus Fractures Treatment & Management: Nonoperative Therapy, Surgical Therapy, Approach to Pulseless Limb. Retrieved October 7, 2022, from https://emedicine.medscape.com/article/2500088-treatment
2.   AbzugJoshua M., HermanMartin J., KozinScott,(2019). Pediatric Elbow Fractures A Clinical Guide to Management.SPINGER NATURE.

    Tác giả: Bs Nguyễn Văn Tuấn, BsCK1 Văn Nhật Minh - Khoa Ngoại CT-B

    Tổng số điểm của bài viết là: 5 trong 5 đánh giá

    Xếp hạng: 1 - 5 phiếu bầu

      Ý kiến bạn đọc

    Những tin mới hơn

    Những tin cũ hơn

    Album ảnh bệnh viện
    Bạn đã không sử dụng Site, Bấm vào đây để duy trì trạng thái đăng nhập. Thời gian chờ: 60 giây
    Gửi phản hồi