tin tuc

Cảnh báo đột tử do xuất huyết não

Thứ tư - 07/12/2022 02:07
Nhân 02 trường hợp tử vong do xuất huyết não mới đây tại Quảng Trị: 01 trường hợp là một doanh nhân lớn ở Đông Hà, 01 trương hợp là cháu gái 10 tuổi tại Vĩnh Linh. Cả 02 trường hợp đều xảy ra đột ngột, trước đó chưa từng được khám về bệnh lý mạch máu não dù có đau đầu nhiều lần. Tôi viết bài này để cảnh báo và cung cấp kiến thức sơ bộ về xuất huyết não cho mọi người tham khảo.
Hãy đi khám cơ sở y tế có chất lượng (nhân lực, máy móc trang thiết bị (CT-scans, MRI) ngay khi có biểu hiện hay đau đầu để phát hiện sớm các tổn thương có nguy cơ xuất huyết não để có thề can thiệp kịp thời.
Định nghĩa xuất huyết não
Xuất huyết não còn gọi là một dạng đột quỵ. Bệnh xảy ra khi mạch máu nằm tại não vỡ ra tràn vào các nhu mô não, hoặc chảy máu vùng dưới nhện. 
Yếu tố nguy cơ
  • Yếu tố nguy cơ gây tai biến mạch máu não thường rất nhiều, có thể do thay đổi lối sống hoặc do việc dùng thuốc, nhưng nguyên nhân chính vẫn do tăng huyết áp (chiếm 50 – 60%).
  • Ở người trẻ, tai biến mạch máu não thường do dị dạng mạch máu não (50% số trường hợp được chụp mạch máu não có dị dạng).
  • Ngoài ra phải kể đến nguyên nhân của việc hút thuốc lá, cholesterol trong máu cao, nghiện rượu, béo phì, ít hoạt động, phụ nữ lạm dụng thuốc tránh thai…
  • Xuất huyết não gặp ở nam nhiều hơn nữ.
  • Tuổi trung bình bị xuất huyết não là 55.
Cần phải nhấn mạnh là ngay cả việc huyết áp tăng nhẹ mà không được điều trị đầy đủ cũng làm tăng nguy cơ chảy máu não.
Cảnh báo đột tử do xuất huyết não

Người bị tăng huyết áp có nguy cơ cao bị xuất huyết não
Phân loại xuất huyết não
Lâm sàng thường gặp 2 thể:
  • Chảy máu nhu mô;
  • Chảy máu dưới màng nhện.
Phân biệt chảy máu nhu mô não và chảy máu dưới màng nhện
Chảy máu nhu mô
Hay gặp ở tuổi 45 – 50 tuổi, do tăng huyết áp hoặc vỡ dị dạng mạch não.
Dấu hiệu bắt đầu là đau đầu nhiều, đau đột ngột hay xảy ra ban ngày sau một gắng sức thể lực, tinh thần.
Bệnh nhân có biểu hiện của rối loạn ý thức, thường suy giảm ý thức nhanh chóng cho đến hôn mê. Đau đầu mức độ bình thường nhưng 70 – 80% bệnh nhân có nôn. Nhịp thở không đều, thở ngáy, mạch nhanh, huyết áp tăng.
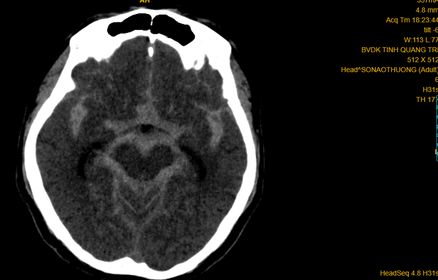
Phim CT-scan trường hợp số 02 (cháu gái 10 tuổi) xuất huyết não
Phim CT-scan trường hợp số 02 (cháu gái 10 tuổi) xuất huyết não
Chảy máu dưới màng nhện
Thường gặp ở tuổi 20 – 40 tuổi và đa phần do vỡ phình mạch não.
Dấu hiệu bắt đầu là đau đầu thoáng qua; thường phát đột ngột kèm theo cảm thấy có cú đánh trong đầu, có biểu hiện thay đổi ý thức. Đau đầu thường không dữ dội, có thể có nôn (dưới 50%). Người bệnh thở kiểu cheynstokes, mạch nhanh có khi tới 100 lần/phút. Nghe tim không thấy gì đặc biệt. Huyết áp có hoặc không đo được.
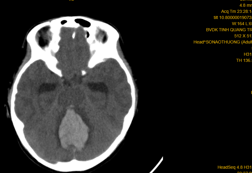
Phim CT-scan trường hợp số 01 (doanh nhân 57 tuổi) xuất huyết não
Phim CT-scan trường hợp số 01 (doanh nhân 57 tuổi) xuất huyết não

Dấu hiệu nhận biết xuất huyết não ?

Xuất huyết não sẽ khởi phát đột ngột mà chúng ta không biết trớc được bệnh có thể xảy ra ngay sau lúc gắng sức về tâm lý và thể lực sinh hoạt bình thường, trong giấc ngủ hay đang làm Một số dấu hiệu nhận biết bệnh như sau:
– Bỗng nhiên nhức đầu dữ dội trong lúc đang đi họặc đang làm gì đó, bủn rủn tay chân và ngã xuống.
Không nói được, cấm khẩu và cơ quan trên khuôn mặt bị méo như miệng. Kèm theo liệt nửa mặt, vật vã, đái dầm và đại tiện không tự chủ, sốt, thở không đều.
Trí nhớ giảm sút nhanh chóng, hay quên hoặc quên hoàn toàn mọi thứ nhanh chóng.

Ngay khi phát hiện các dấu hiệu trên, cần nhanh chóng đưa bệnh nhân đến bệnh viện để được hỗ trợ. Người bị xuất huyết não nên được cấp cứu trong thời gian 3-4 giờ sau khi bệnh khởi phát để giảm bớt được mức độ nguy hiểm và hạn chế biến chứng do bệnh.
Cảnh báo đột tử do xuất huyết não

Đau đầu dữ dỗi, bủn rủn chân tay, cấm khẩu là những dấu hiệu dễ nhận thấy khi bị xuất huyết não
Làm thế não để khám và dự phòng xuất huyết não.
Khám tim mạch, đo huyết áp thường xuyên.
Chụp MRI, CT mạch máu khi đau đầu kéo dài
Thay đổi lối sống: bỏ hút thuốc lá, chế độ ăn giảm cholesterol, giảm rượu, tăng hoạt động, giảm lạm dụng thuốc tránh thai…

 
Phát hiện phình mạch ở bênh nhân đau đầu khi chụp MRI (không tiêm thuốc).
Phát hiện phình mạch ở bênh nhân đau đầu khi chụp MRI (không tiêm thuốc).
Bệnh viện Đa khoa Quảng Trị có đội ngũ nhân lực chuyên môn cao, đầy đủ máy móc trang thiết bị hiện đại như: MRI, CT đa lát cắt, Siêu âm mạch máu..

Tác giả: Bs Phùng Hưng – Trưởng khoa CĐHA

Tổng số điểm của bài viết là: 8 trong 8 đánh giá

Xếp hạng: 1 - 8 phiếu bầu

  Ý kiến bạn đọc

Album ảnh bệnh viện
Bạn đã không sử dụng Site, Bấm vào đây để duy trì trạng thái đăng nhập. Thời gian chờ: 60 giây
Gửi phản hồi