tin tuc

Thai ống cổ tử cung: ca lâm sàng, tổng quan chẩn đoán và điều trị

Thứ năm - 12/11/2020 04:28
Thai ống cổ tử cung: ca lâm sàng, tổng quan chẩn đoán và điều trịTh.Bs Lê Nam Hùng - Khoa Phụ Sản, Bệnh viện đa khoa Tỉnh Quảng Trị.
1. TỔNG QUAN
Thai ống cổ tử cung (OCTC) là một dạng thai ngoài tử cung hiếm gặp, trong đó thai làm tổ trong niêm mạc của ống nội mạc cổ tử cung. Mặc dù tỷ lệ mắc thấp nhưng nó liên quan đến tỷ lệ tử vong cao, cần can thiệp kịp thời để tránh phải cắt bỏ tử cung và bảo tồn khả năng sinh sản. Chúng tôi báo cáo một trường hợp thai làm tổ ống cổ tử cung được điều trị bảo tồn thành công bằng phương pháp methotrexate (MTX) tại chổ và toàn thân, chèn Foley cầm máu và thảo luận tổng quan về phương pháp chẩn đoán và điều trị.
Tỷ lệ thai ống cổ tử cung (OCTC) rất hiếm chiếm 1: 1.000-95.000 [1]. Tuy nhiên, nó rất nghiêm trọng do nguy cơ chảy máu cao phải cắt tử cung và đe dọa tính mạng nếu không được phát hiện và điều trị đúng cách. Các yếu tố nguy cơ bao gồm tiền sử nạo nội mạc tử cung, mổ lấy thai, sử dụng dụng cụ tử cung và hỗ trợ sinh sản. Chẩn đoán dựa vào lâm sàng và chủ yếu dựa vào siêu âm. Triệu chứng phổ biến nhất là chảy máu âm đạo không đau [2].Nếu chẩn đoán chậm trễ, có thể xảy ra chảy máu ồ ạt hoặc thậm chí sốc giảm thể tích.Ngay cả với các phương thức chẩn đoán và điều trị tiên tiến, thai OCTC vẫn là một tình trạng đe dọa tính mạng [3]. Chúng tôi xin báo cáo ở đây trường hợp một bệnh nhân thai OCTC được chẩn đoán lúc thai hơn 6 tuần, tim thai dương tính, được điều trị bằng methotrexate tại chổ, toàn thân, hút thai khi có hiện tượng sẩy và dùng sonde foley cầm máu. Không có biến chứng liên quan xảy ra.
2. CA LÂM SÀNG
Bệnh nhân L.T.N.H 42 tuổi, PARA (2092) 2 lần sinh thường, 9 lần sẩy thai có nhiều lần can thiệp buồng tử cung, trể kinh, thử thai dương tính đi khám tại phòng khám tư nhân với chẩn đoán thai làm tổ ống cổ tử cung, bệnh nhân được nhập viện cùng ngày, lâm sàng trể kinh 2 tuần, không đau bụng, không ra máu âm đạo, đặt mỏ vịt thấy cổ tử cung lớn, mạch máu tăng sinh nhiều, nổi rõ mạch lên tại vùng cổ tử cung, cổ tử cung hở lỗ ngoài, siêu âm thai 6 tuần tại vị trí cổ tử cung, tim thai dương tính, phổ Doppler thấy tăng sinh mạch mạnh tại vùng cổ tử cung và có tính hiệu Doppler màu tại bánh nhau.Bệnh nhân được làm xét nghiệm công thức máu, chức năng gan, thận và chức năng đông máu trong giới hạn bình thường. Bệnh nhân theo dõi tại viện sau 3 ngày (vào viện chiều thứ 6) và hội chẩn khoa tại phòng siêu âm: chẩn đoán thai 6 tuần 3 ngày làm tổ tại cổ tử cung, tim thai dương tính. Xét nghiệm beta hCG 78352 mIU/ml, được chỉ định điều trị tiêm MXT tại chổ và hóa trị liệu toàn thân bằng MTX: Tiến hành hút hết ối, tiêm MTX tại khối thai 25 mg, tại bánh nhau 25 mg, sau 2 tiếng kiểm tra tim thai âm tính tiêm bắp MTX25 mg (tổng liều 75mg). Sau 3 ngày bệnh nhân xuất hiện đau bụng vùng dưới, tiến hành nạo gắp khối thai chủ động bằng kẹp đầu vợt, máu tại cổ tử cung ra nhiều, dùng sonde foley số 16 bơm từ từ lên 50 ml nước thì cầm được máu, lưu sonde, theo dõisau 20 phút bóng tuột, tiến hành đặt lại bóng với 50 ml nước muối, sau đó chèn gạc kín âm đạo, sau 24 giờ rút sonde, không còn ra máu. Kết quả xét nghiệm lại β-hCG 4626 mIU/ml. Bệnh nhân được cho ra viện sau đó 2 ngày. Sau một tuần xét nghiệm β-hCG 343.18 mIU/ml, sau 5 tuần β-hCG 2.42 mIU/ml. siêu âm tử cung phần phụ chưa phát hiện bất thường.
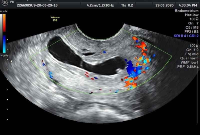
Hình 1. Hình ảnh siêu âm đầu dò âm đạo túi thai làm tổ tại cổ tử cung; cổ tử cung phình to; dòng máu xung quanh nguyên bào nuôi thấy trên phổ Doppler
 
Hình 2.Hình ảnh siêu âm đường bụng sau hút ối tiêm methotrexate tại bánh nhau và túi thai
 
Hình 3. Hình ảnh siêu âm đường bụng sau khi nạo và chèn bóng sonde Foley tại cổ tử cung

3. BÀN LUẬN VÀ KẾT LUẬN
Mặc dù thai OCTC rất hiếm gặp, nhưng có một số yếu tố nguy cơ liên quan, chẳng hạn như tiền sử nạo nội mạc tử cung, thụ tinh trong ống nghiệm, dính buồng tử cung, và phẫu thuật tử cung trước đó, ví dụ như mổ lấy thai, sử dụng dụng cụ tử cung [2]. Ở trường hợp chúng tôi bệnh nhân tiền sử sẩy thai nhiều lần có nạo buồng tử cung.
Triệu chứng phổ biến nhất là chảy máu âm đạo sau một thời gian vô kinh, thường không đau và đôi khi chảy máu ồ ạt. Tiêu chuẩn lâm sàng bao gồm [4]: Tử cung nhỏ, cổ tử cung phình to; Lỗ trong cổ tử cung kín; Nạo niêm mạc tử cung không có mô nhau; Lỗ ngoài cổ tử cung mở to hơn sẩy thai.Mang thai OCTC sớm cũng có thể không có triệu chứng và được phát hiện tình cờ trên siêu âm.Siêu âm qua ngã âm đạo có thể được thực hiện một cách an toàn ở những bệnh nhân thai OCTC và việc chẩn đoán chủ yếu dựa vào kết quả siêu âm. Theo Ushakov và cộng sự, người đã xem xét 117 trường hợp thai OCTC, siêu âm cải thiện chẩn đoán trước điều trị lên đến 81,8%. Những phát hiện sau đây của siêu âm qua ngã âm đạo cho thấy có thai ở cổ tử cung [2]: Túi thai hoặc mô nhau thai được nhìn thấy trong cổ tử cung hoặc hoạt động của tim được ghi nhận dưới mức lỗ trong cổ tử cung với lỗ trong cổ tử cung đóng kín; Không có túi thai trong lòng tử cung; Hình dạng tử cung trở thành “đồng hồ cát” với cổ tử cung lớn.
Chẩn đoán phân biệt thai OCTC bao gồm các nguyên nhân khác của chảy máu sớm trong thai kỳ [5]: Sinh lý (chảy máu trong giai đoạn đầu thai kỳ); Mang thai ngoài tử cung ở các vị trí khác; Sẩy thai tự nhiên; Bệnh tế bào nuôi; Bệnh lý cổ tử cung, âm đạo hoặc tử cung; Tụ máu dưới màng đệm.Điều quan trọng là phải chẩn đoán phân biệt với thai trong tử cung đang sẩy nằm cổ tử cung, điều đó có thể được phân biệt bằng 'dấu hiệu trượt' trên siêu âm qua ngã âm đạo. Theo báo cáo của Jurkovic và cộng sự, khi đè dầu dò vừa phải lên cổ tử cung, túi thai sẩy trượt nhẹ khỏi kênh cổ tử cung, không giống như thai ở cổ tử cung [6]. Hơn thế nữa, dòng máu xung quanh nguyên bào nuôi có thể được thấy trên phổ Doppler trong trường hợp thai OCTC [7]. Nếu chẩn đoán không chắc chắn và bệnh nhân lâm sàng ổn định thì có thể đợi sau một ngày và siêu âm lại xem túi thai có di chuyển không. Bệnh nhân chúng tôi không xuất huyết tử cung, không có đau bụng, cổ tử cung lớn, sung huyết, tăng sinh mạch máu nhiều, lỗ ngoài tử cung hở, trên siêu âm thấy túi thai rõ với tim thai dương tính nằm dưới lỗ trong cổ tử cung và lỗ trong cổ tử cung đóng kín, thấy dòng máu xung quanh nguyên bào nuôi trên phổ Doppler, làm dấu hiệu trượt âm tính, sau 3 ngày thì bệnh siêu âm không thay đổi.
Tính đặc hiệu của hình ảnh siêu âm ba chiều (3D) đã được báo cáo là tốt hơn so với siêu âm hai chiều (2D) vì hình ảnh 3D kết hợp thêm một phần hậu môn mà hình ảnh 2D không thể thực hiện được [8]. Trên MRI hình ảnh đặc trưng của thai OCTC là khối tín hiệu hỗn hợp (do bên trong có nhiều thành phần khác nhau, nhung mao, màng đệm, xuất huyết nhiều lứa tuổi), có viền đen hay tín hiệu thấp (do hemosiderin từ xuất huyết cũ). Khối thai OCTC sẽ ngấm thuốc phần đặc (là phần phôi thai) [9]. Cơ sở chúng tôi không có máy siêu âm 3D, lâm sàng và hình ảnh rên 2D đã rõ ràng nên không thực hiện thêm MRI.
Leemanvà cộng sự năm 2000 đã trình bày một ca lâm sàng và tổng hợp các phương pháp điều trị được báo cáo trước đây, điều trịcó thể được chia thành năm loại [10]:
    - Lấy bỏ nguyên bào nuôi: Nạo và cắt tử cung là những phương pháp cổ điển để loại bỏ khối thai. Nạo là phương pháp bảo tồn khả năng sinh sản lâu đời nhưng có nguy cơ xuất huyết có thể cắt tử cung trên 1/5 bệnh nhân. Do đó, nó đã được sử dụng cùng với các phương pháp cơ học như thắt và chèn ép động mạch cổ tử cung. Cắt tử cung là phương thức điều trị ưu tiên trong trường hợp xuất huyết khó cầm, chẩn đoán thai OCTC sau quý I và để tránh phẫu thuật cấp cứu, truyền máu ở phụ nữ không mong muốn sinh con. Trong một báo cáo, 100% thai làm tổ ở CTC sau 12 tuần tuổi thai cuối cùng cũng cần phải cắt bỏ tử cung.
    - Chèn ép cổ tử cung: Chảy máu sau khi sử dụng các kỹ thuật (ví dụ như nông, nạo) thì sử dụng một ống thông Foley, đặt nhẹ nhàng qua lỗ ngoài cổ tử cung, sau đó bơm 30 ml đến 100 ml nước muối. Đặt tampon chèm ép không hữu ích lắm.
    - Hủy thai trong buồng ối: Tiêm kali clorua hoặc MTX trong nước ối có hướng dẫn bằng siêu âm đã được sử dụng như một phương pháp bảo tồn để điều trị thai OCTC. Cả hai quy trình này đều yêu cầu kỹ năng và kinh nghiệm.
    - Hóa trị liệu toàn thân: Thuốc được sử dụng phổ biến nhất là methotrexat, dùng một liều duy nhất hoặc nhiều liều, có hoặc không có acid folinic. Sự quan tâm đến MTX để điều trị thai OCTC không phổ biến cho đến khi việc sử dụng nó trong thai ngoài tử cung trở nên phổ biến. Các báo cáo và loạt trường hợp từ năm 1990 đã cho thấy tỷ lệ thành công hơn 80% trong các trường hợp được lựa chọn tốt. MTX dường như thành công nhất ở tuổi thai sớm, nhưng thành công đã được báo cáo ngay cả ởnồng độ β-HCG cao hơn 40.000 mIU/mL và khi có hoạt động của tim thai. Tuy nhiên, MTX có thể gây ức chế tủy xương, rối loạn tiêu hóa và tăng men gan.
Ngoài ra sự kết hợp của thắt động mạch tử cung bằng nội soi sau đó nội soi cổ tử cung cắt bỏ khối chữa đã được mô tả như một liệu pháp thay thế bảo tồn khả năng sinh sản [11].
Ở những bệnh nhân ổn định huyết động, siêu âm không cho thấy hoạt động của tim thai và thai kỳ dưới 9 tuần, có thể dùng MTX toàn thân [10]. Thai kỳ hơn 9 tuần hoặc có sự hiện diện của hoạt động tim thai trên bệnh nhân ổn định về mặt lâm sàng có thể tiêm kali clorua/ MTX trong nước ối ngoài MTX toàn thân [10]. Chẩn đoán tại thời điểm tam cá nguyệt thứ 2 hoặc thứ 3 có thể cắt tử cung.Ở bệnh nhân xuất huyết, các lựa chọn điều trị là chèn ép bằng bóng Foley, thắt mạch lớn hoặc thuyên tắc mạch, cắt bỏ tử cung dành cho những trường hợp chảy máu khó cầm [10]. Thông thường, nhiều hơn một phương pháp thường được thử để điều trị thai OCTC [10]. Do đó, trong trường hợp của chúng tôi, chúng tôi chọn điều trị bệnh nhân bằng tiêm MTX tại buồng ối vì tim thai còn hoạt động, tiêm MTX tại bánh nhau, sau khi siêu âm tim thai âm tính thì tiêm MTX toàn thân, tổng liều 75 mg như liều điều trị của thai làm tổ tại vết mổ cũ [12]. Thai OCTC là một bệnh ít gặp nên bằng chứng về việc sử dụng MTX để điều trị thai OCTC được giới hạn trong các báo cáo ca bệnh và loạt nhỏ, các liệu pháp khác nhau đã được sử dụng (MTX toàn thân đơn hoặc đa liều, tiêm MTX hoặc KCl tại chỗ, hoặc kết hợp các liệu pháp này).Dữ liệu trước đó cho thấy kết quả không khả quan nếu beta hCG huyết thanh hơn 10,000 mIU / ml [13]. Tuy nhiên, trong báo cáo gần đây của Samal và cộng sự, một ca chửa ngoài cổ tử cung cho thấy thai nhi sống được 7 tuần 4 ngày với beta hCG là 103,113 mIU / ml đã được điều trị thành công bằng đa liều MTX và KCl trong buồng ối, sau đó hút ống cổ tử cung [14]. Một mũi tiêm MTX cục bộ tại túi thai, có hướng dẫn bằng siêu âm, rõ ràng có hiệu quả để điều trị thai OCTC mà không cần các thủ thuật đồng thời hoặc can thiệp phẫu thuật [15]. Sau khi có hiện tượng sẩy thaichúng tôi chọn lựa gắp khối thai bằng panh và chèn ép cổ tử cung bằng sonde Foley khi có chảy máu vì đây là phương pháp chủ động và ít xâm lấn nhất. Sau đó thẽo dõi có hiện tượng chảy máu do tuột bóng chúng tôi tiến hành đặt lại bóng và dùng gạc chèn kín âm đạo để giữ bóng trong ống cổ tử cung.
Hạn chế và khuyến cáo rút ra: Do đây là một trường hợp bệnh chúng tôi gặp lần đầu tiên, tài liệu và phác đồ điều trị trong nước còn hạn chế. Bệnh nhân vào viện chiều thứ 6 nên hạn chế trong vấn đề hội chẩn và điều trị sớm. Nếu không có hiện tượng sẩy thai thì có thể kéo dài thời gian sau khi dùng MTX và điều trị ngoại trú với điều kiện theo dõi tốt. Khuyến cáo khi dùng Foley nên bơm nước lên từ từ để biết được mức nước có thể chèn ép cầm máu. Theo dõi sát tình trạng ra máu âm đạo và chèn kín gạc âm đạo để giữ bóng chèn tại cổ tử cung vì bóng dễ bị tuột do lỗ ngoài cổ tử cung hỡ dẫn đến chảy máu.
Thai làm tổ tại cổ tử cung là bệnh lý nguy cơ cao vì nó có thể gây xuất huyết ồ ạt, bất giờ đe dọa tính mạng người bệnh, có thể phải cắt bỏ tử cung để cứu bệnh nhân. Chẩn đoán sớm và xử trí bằng MTX tại chổ nếu còn tim thai, và MTX toàn thân kết hợp cầm máu bằng sonde folley giúp làm giảm tỷ lệ tử vong và bảo tồn khả năng sinh sản cho bà mẹ.
Tài liệu tham khảo
1. Celik C, Bala A, Acar A, Gezginç K, Akyürek C. Methotrexate for cervical pregnancy. A case report. J Reprod Med. 2003;48:130–2.
2.F B UshakovU ElchalalP J Acemanet al. Cervical pregnancy: past and future Obstet Gynecol Surv, 52 (1997), pp. 45-59.
3. Mashiach S, Admon D, Oelsner G, Paz B, Achiron R, Zalel Y. Cervical Shirodkar cerclage may be the treatment modality of choice for cervical pregnancy. Hum Reprod. 2002;17:493–6.
4. Hofmann HM, et al. Cervical pregnancy: case reports and current concepts in diagnosis and treatment. Arch Gynecol Obstet. 1987;241:63.
5.http://www.acr.org/~/media/ACR/Documents/AppCriteria/Diagnostic/FirstTrimesterBleeding.pdf (Accessed on March 20, 2013).
6. Jurkovic D, Hacket E, Campbell S. Diagnosis and treatment of early cervical pregnancy: A review and a report of two cases treated conservatively. Ultrasound Obstet Gynecol. 1996;8:373–80.
7. Kirk E, Condous G, Haider Z, Syed A, Ojha K, Bourne T. The conservative management of cervical ectopic pregnancies. Ultrasound Obstet Gynecol. 2006;27:430–7.
8.  Ruano R, Reya F, Picone O, Chopin N, Pereira PP, Benachi A, et al. Three-dimensional ultrasonographic diagnosis of a cervical pregnancy. Clinics (Sao Paulo) 2006;61:355–8.
9. Okamoto Y, Tanaka YO, Nishida M, Tsunoda H, Yoshikawa H, Itai Y. MR imaging of the uterine cervix: Imaging-pathologic correlation. Radiographics. 2003;23:425–45.
10.Leeman LM, Wendland CL. Cervical ectopic pregnancy. Diagnosis with endovaginal ultrasound examination and successful treatment with methotrexate. Arch Fam Med. 2000;9:72–7.
11. Kung FT, Lin H, Hsu TY, Chang CY, Huang HW, Huang LY, et al. Differential diagnosis of suspected cervical pregnancy and conservative treatment with the combination of laparoscopy-assisted uterine artery ligation and hysteroscopic endocervical resection. Fertil Steril. 2004;81:1642–9.
12. Lê Quang Thanh và cộng sự. Thai ở sẹo mổ lấy thai, phác đồ điều trị sản- phụ khoa, bệnh viện Từ Dũ. 2019; trang 216-227.
13 T. H. Hung, W. Y. Shau, T. T. Hsieh, J. J. Hsu, Y. K. Soong, and C. J. Jeng, “Prognostic factors for an unsatisfactory primary methotrexate treatment of cervical pregnancy: a quantitative review,” Human Reproduction, 1998, vol. 13, no. 9, pp. 2636–2642.
14. Samal S, et al. Successful management of live cervical ectopic pregnancy: a case report. J Clin Diagn Res. 2015;9(12):03–04.
15. M Yamaguchi,  R HondaC Erdenebaatar, et al.Treatment of cervical pregnancy with ultrasound-guided local methotrexate injection. Ultrasound Obstet Gynecol. 2017. 50(6):781-787.

Tác giả: Th.Bs Lê Nam Hùng - Khoa Phụ Sản, Bệnh viện đa khoa Tỉnh Quảng Trị

Tổng số điểm của bài viết là: 10 trong 2 đánh giá

Xếp hạng: 5 - 2 phiếu bầu

  Ý kiến bạn đọc

Những tin mới hơn

Những tin cũ hơn

Album ảnh bệnh viện
Bạn đã không sử dụng Site, Bấm vào đây để duy trì trạng thái đăng nhập. Thời gian chờ: 60 giây
Gửi phản hồi