tin tuc

Tổng quan trật khớp cùng đòn và các phương pháp điều trị

Thứ sáu - 29/01/2021 01:57
Tổng quan trật khớp cùng đòn và các phương pháp điều trị
1. Giải phẫu khớp cùng đòn và các cấu trúc liên quan
1.1. Các yếu tố giữ vững tĩnh khớp cùng đòn:
Dây chằng cùng đòn (trước, sau, trên và dưới), dây chằng quạ đòn (bó nón và thang) .
1.1.1. Dây chằng cùng đòn và bao khớp:
Các cấu trúc này chủ yếu giữ vững khớp cùng đòn trên mặt phẳng ngang. Klimkiewicz (1999) khi thực nghiệm trên xác chứng tỏ rằng bó trên và sau đóng vai trò chủ yếu, bó trên góp phần 56%, bó sau góp phần 25% cho sự vững phía sau. Sự mất vững trước sau có thể gây ra sự va chạm giữa xương đòn và gai vai phía sau.
Hình ảnh giải phẫu khớp cùng đòn
Hình ảnh giải phẫu khớp cùng đòn
1.1.2. Dây chằng quạ đòn
 Giải phẫu: dây chằng quạ đòn gồm 2 bó nón ở trong và thang ở ngoài. Takase (2010) nghiên cứu chi tiết giải phẫu của dây chằng quạ 4 đòn trên 40 vai của 20 xác rút ra kết luận sau: Bó thang bắt đầu tại vị trí cách giữa đỉnh mỏm quạ khoảng 2cm và hướng thẳng bám vào mặt dưới xương đòn và diện bám: 13-26mm x 13-15mm (chiều dọc x chiều ngang). Bó nón bắt đầu tại vị trí bờ sau trong của mỏm quạ hướng bám vào củ nón xương đòn và diện bám: 15-30mm x 3-6mm (chiều dọc x chiều ngang). Harris (2001) cũng nghiên cứu giải phẫu trên xác thấy rằng: chiều dài trung bình lớn nhất của dây chằng nón, dây chằng thang và khoảng cánh trung bình giữa 2 dây chằng lần lượt là: 1,94cm; 1,93cm và 2,06cm. Cơ sinh học: dây chằng quạ đòn đóng vai trò chủ yếu trong việc giữ vững trên dưới của khớp cùng đòn, ngăn sự di chuyển xuống dưới của phức hợp vai cánh tay hoặc di chuyển lên trên của xương đòn. Bó nón cung cấp 60% cho sự vững này. Dây chằng quạ đòn cũng đóng vai trò giữ vững trước sau.
1.2. Các yếu tố giữ vững động khớp cùng đòn
 Cơ thang và cơ Delta bám ở 1/3 ngoài, mặt trước, mặt sau của xương đòn và bờ trước ngoài mỏm cùng vai. Hai cơ này có hướng tác dụng lực ngược nhau, cùng với các dây chằng cùng đòn và quạ đòn giúp củng cố thêm độ vững chắc cho khớp cùng đòn. Vai trò của các cơ này trong sự vững khớp cùng đòn cần phải được lưu ý trong bất cứ phẫu thuật tái tạo khớp cùng đòn nào. Việc sửa chữa lại lớp cơ cân mạc thang-delta cũng khá quan trọng trong khi xử lí vấn đề trật khớp cùng đòn.
2. Khái niệm trật khớp cùng đòn
          Là một chấn thương vai thường gặp (thường do chấn thương thể thao hoặc do ngã đập vai xuống nền cứng). Thường gặp trong các vận động viên xe đạp, trượt tuyết hoặc đá bóng. Trật khớp cùng đòn khi lực tác động vào phía ngoài xương đòn dẫn đến trật khớp ở mức độ nhẹ, trung bình hoặc nặng. Ở mức độ nhẹ, trung bình thì các dây chằng liên quan căng giãn hoặc đứt một phần. Ngược lại ở các trường hợp nặng thì các dây chằng néo giữ xương đòn xuống dưới bị đứt, khi đó đầu ngoài xương đòn bị bật lên, có thể thấy da phía ngoài nhô lên.
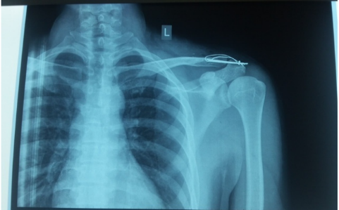
Hình ảnh trật khớp trên Xquang
Hình ảnh trật khớp trên Xquang
3. Triệu chứng lâm sàng
Thường sau chấn thương ngã đập vai xuống nên cứng. Bệnh nhân thấy đau ở đầu ngoài xương đòn. Trong trường hợp nặng (trật độ IV, V, VI) đứt hoàn toàn hệ thống dây chằng giữ đầu ngoài xương đòn và bao khớp cùng đòn thì đầu ngoài xương đòn sẽ di động nhô dưới da, vai bên trật biến dạng so với bên đối diện. Bệnh nhân có thể đau mà không đưa tay lên quá đầu hoặc không nằm nghiêng về phía tổn tương. Khi khám bác sĩ đưa tay ấn vào đầu ngoài xương đòn có dấu phím đàn dương cầm dương tính.
Tuy nhiêu trường hợp trật nhẹ và vừa (độ I, II, III) sau tai nạn chỉ thấy đau âm ỉ tại vị trí khớp cùng đòn, đau tăng lên khi bắt chéo tay (cross - arm) hoặc nâng vật nặng.
4. Cận lâm sàng
  • Chụp X-quang khớp vai 3 tư thế: X-quang vai thẳng, X-quang xương bả vai chữ Y và X-quang nách.
  • X-quang Zanca: Tương tự như X-quang vai thẳng, nhưng đầu phát tia chếch 10 độ về phía đầu. Kỹ thuật này giúp quan sát đầu khớp cùng đòn tốt hơn. 
  • Chụp phim X-quang stress (X-quang thẳng với tay đeo tạ 4 – 6kg và so sánh 2 bên)
Mỗi mức độ tổn thương khác nhau sẽ có những biểu hiện lâm sàng và cận lâm sàng riêng biệt, cụ thể như bảng sau:
Bảng phân độ tổn thương theo lâm sàng và cận lâm sàng
Bảng phân độ tổn thương theo lâm sàng và cận lâm sàng
4. Phân độ tổn thương
Tùy theo độ lệch và tổn thương dây chằng, sai khớp cùng đòn được phân thành 6 cấp độ (theo tác giả Rockwood):
  • Độ I: giãn dây chằng cùng đòn
  • Độ II: đứt dây chằng cùng đòn, giãn dây chằng quạ đòn
  • Độ III: đứt dây chằng quạ đòn, khớp cùng đòn trật hoàn toàn
  • Độ IV: đầu ngoài xương đòn trật ra sau, vào hoặc xuyên qua cơ thang
  • Độ V:  đầu ngoài xương đòn di lệch lên trên rất nhiều
  • Độ VI: với phần xương đòn đi lệch xuống dưới mỏm cùng vai hoặc mỏm quạ. Khoảng gian quạ – đòn thu hẹp so với bên lành.
Hình ảnh: Phân loại trật khớp cùng đòn theo Rockwood
Hình ảnh: Phân loại trật khớp cùng đòn theo Rockwood
5. Điều trị
Đến nay có hơn 60 phương pháp phẫu thuật điều trị TKCĐ. Nhiều phương pháp ban đầu là nắn và cố định bằng kim loại. Những kỹ thuật này thường có biến chứng do dụng cụ kim loại gây ra mà phải lấy bỏ dụng cụ và kết quả chức năng không cao và tỷ lệ thất bại cao trên X quang. Có nhiều phương pháp phẫu thuật mô mềm được báo cáo với mục đích tái tạo lại chức năng của dây chằng quạ đòn và hoặc dây chằng cùng đòn bị đứt. Những phương pháp này bao gồm tạo hình dây chằng, chuyển cơ và tái tạo dây chằng từ mô tự thân, đồng loại hoặc nhân tạo.
 5.1. Điều trị bảo tồn:
Khi đã bị trật khớp cùng đòn tùy mức độ di lệch mà có phương pháp điều trị tương ứng, nếu chỉ sai khớp ở mức độ I,II (chỉ dãn hoặc đứt dây chằng cùng - đòn hoặc dây chằng quạ - đòn, tương ứng di lệch ½ thân xương đòn) thì có thể điều trị bảo tồn thành công bằng mang áo Desault  hỗ trợ trong 4 tuần. Trong suốt thời gian điều trị phải tái khám chụp phim kiểm tra ít nhất 2 lần, sau khi tháo áo Desault  phải tập vận động thụ động và chủ động đẻ tăng cường sức cơ, tránh teo cơ cứng khớp và lấy lại biên độ vận động bình thường của khớp vai.
5.2. Điều trị phẫu thuật:
Được chỉ định ở các loại sai khớp cùng - đòn di lệch mức độ lớn (tương ứng độ IV- độ VI), phẫu thuật đối với độ III còn tranh cãi. Hiện nay có nhiều phương pháp điều trị phẫu thuật khác nhau như:
5.2.1. Phẫu thuật cố định khớp cùng đòn
Phương pháp này  à cố định khớp cùng đòn bằng các dụng cụ kết hợp xương như đinh Kirschner, chỉ thép, nẹp móc.
Phương pháp kết hợp xương bằng đinh Kirschner  có nguy cơ di cư đinh trong quá trình bệnh nhân hồi phục tập vận động và làm việc.
Hình ảnh kết hợp xương khớp cùng đòn bằng đinh và chỉ thép
Hình ảnh kết hợp xương khớp cùng đòn bằng đinh và chỉ thép
Phương pháp kết hợp xương bằng nẹp móc nhanh gọn, dễ thực hiện. Nhược điểm là chi phí cao và bệnh nhân thường than phiền đau tại vị trí bắt nẹp, hoặc hội chứng chạm.
Hình ảnh kết hợp xương khớp cùng đòn bằng nẹp móc
Hình ảnh kết hợp xương khớp cùng đòn bằng nẹp móc
Phương pháp này chỉ sử dụng cho trật khớp cùng đòn cấp tính (dưới 3 tuần).
5.2.2 . Cố định xương đòn vào mỏm quạ
5.2.2.1. Bắt vít quạ - đòn, vòng chỉ
          Kỹ thuật này là bắt vis cố định từ xương đòn xuống mỏm quạ hoặc qua nội soi buộc cố định vòng chỉ siêu bền từ xương đòn xuống mỏm quạ. Nhược điểm là cần phẫu thuật tháo vít về sau, vòng chỉ có thể cắt xương đòn và nền mỏm quạ. Phương pháp này cũng chỉ áp dụng được cho trật khớp cùng  đòn cấp tính.
Hình ảnh kết hợp xương khớp cùng đòn bằng vít quạ - đòn
Hình ảnh kết hợp xương khớp cùng đòn bằng vít quạ - đòn
5.2.2.2. Sửa chữa dây chằng quạ đòn
          Arthrex Tightrope: có 1 nút tròn, 1 nút hình chữ nhật và chỉ cứng số 5 được thiết kế để cố định khớp cùng đòn bằng tái cấu trúc dây chằng quạ đòn với cố định mềm dẻo. Áp dụng cho tổn thương cấp tính
           Arthrex Graftrope: cho phép kết hợp cố định bằng chỉ và ghép tự thân, có thể dùng để cho phép dây chằng quạ đòn được tái tạo có thể lành tự nhiên. Áp dụng cho cả tổn thương cấp và mãn tính
5.2.3. Tái tạo dây chằng
Hình ảnh tái tạo dây chằng quạ đòn bằng gân tự thân
Hình ảnh tái tạo dây chằng quạ đòn bằng gân tự thân
Không theo giải phẫu: chuyển dây chằng quạ cùng.
Theo giải phẫu: Gân kheo tự thân, gân cơ chày trước đồng loại
Đây là phương pháp ưu thế hơn cả đòi hỏi kĩ thuật cao, phẫu thuật viên phải có kinh nghiệm vì phương pháp này yêu cầu:
- Cố gắng đạt được cấu trúc giải phẫu của dây chằng quạ đòn
- Cung cấp khung sườn sinh học cho tái phân bố mạch máu để tái tạo dây chằng mới
6. Chăm sóc sau phẫu thuật
          Kháng sinh, giảm đau,kháng viêm
            Hỗ trợ bất động vai bằng áo Desault hoặc treo tay tùy vào phương pháp phẫu thuật và độ vững của khớp đánh giá ngay sau mổ.   
            Hướng dẫn bệnh nhân tập phục hồi chức năng sớm nhất có thể đẻ tránh hạn chế vận động khớp vai về sau.

TÀI LIỆU THAM KHẢO
  1. Vũ Xuân Thành, Nghiên cứu kết quả điều trị trật khớp cùng đòn bằng tái tạo dây chằng quạ đòn, Luận văn tiến sĩ y học, chuyên ngành Chấn thương chỉnh hình 2020, Đại học y dược Thành phố Hồ Chí Minh
  2. Vũ Xuân Thành, Lê Chí Dũng (2019). “Đánh giá kết quả điều trị trật khớp cùng đòn mãn tính bằng tái tạo dây chằng quạ đòn từ gân ghép tự thân”. Tạp chí Y Dược thực hành 175, số 19-9.
  3. Rockwood and Green’s Fractures in Adults, Section two: Upper extremity.

Tác giả: Bs. Lê Thanh Ngọc – Khoa Ngoại Chấn thương Bỏng

Tổng số điểm của bài viết là: 40 trong 9 đánh giá

Xếp hạng: 4.4 - 9 phiếu bầu

  Ý kiến bạn đọc

Những tin mới hơn

Những tin cũ hơn

Album ảnh bệnh viện
Bạn đã không sử dụng Site, Bấm vào đây để duy trì trạng thái đăng nhập. Thời gian chờ: 60 giây
Gửi phản hồi