tin tuc

Vai trò của thay huyết tương trong điều trị viêm tụy cấp tăng TRIGLYCERID

Thứ hai - 28/12/2020 21:21
Viêm tụy cấp là một quá trình tổn thương cấp tính của tụy, bệnh thường xảy ra đột ngột với triệu chứng lâm sàng đa dạng, phức tạp từ viêm tụy cấp nhẹ thể phù nề cho đến viêm tụy cấp nặng thể hoại tử với tình trạng suy đa tạng, tỷ lệ tử vong cao.
1. TĂNG TRIGLYCERID MÁU - NGUYÊN NHÂN GÂY VIÊM TỤY CẤP
Nói đến mỡ máu cao, người ta nghĩ ngay đến biến chứng xơ vữa động mạch với tăng huyết áp, nhồi máu cơ tim, đột quỵ não. Nhưng còn một nguy cơ nữa không kém phần nguy hiểm do mỡ máu tăng cao gây nên đó là viêm tụy cấp.
Mỡ máu có nhiều thành phần nhưng chỉ có triglycerid khi tăng cao có thể gây viêm tụy cấp. Viêm tụy cấp tăng triglycerid đã được nhắc tới trong y văn từ hơn 150 năm trước, nhưng phải đến những năm 1970, mối liên quan này mới được nghiên cứu về mặt lâm sàng.
Tăng triglycerid máu là nguyên nhân phổ biến thứ ba gây viêm tụy cấp sau sỏi mật và nghiện rượu, tần suất mắc vào khoảng 7-10% tổng số các trường hợp viêm tụy nói chung. Viêm tụy cấp tăng triglycerid chiếm tới 20% ở các đối tượng không nghiện rượu và không mắc các bệnh lý đường mật, một nghiên cứu cũng cho thấy 56% các trường hợp viêm tụy cấp ở thai phụ có tăng triglycerid.
Tăng triglycerid máu được định nghĩa khi nồng độ triglycerid máu lúc đói > 1,7mmol/h. Viêm tụy cấp do tăng triglycerid hiếm khi xảy ra với nồng độ triglycerid dưới 2 mmol/. Trái lại, tăng triglycerid mức độ nhẹ và vừa (mức triglycerid từ 2- 10mmol/l) lại đóng vai trò chính trong pha đầu của viêm tụy.
Cơ chế gây viêm tụy cấp do tăng triglyceride hiện vẫn chưa được làm sáng tỏ. Người ta cho rằng những hạt dưỡng chấp (cholymicrons) có thành phần là những phần tử lipoprotein giàu triglyceride là nguyên nhân chủ yếu gây viêm nhiễm tại tụy. Những hạt dưỡng chấp này bắt đầu xuất hiện trong máu khi nồng độ triglyceride tăng trên 10mmol/l. Khi theo hệ tuần hoàn đến tụy, những hạt cholymicrons lớn nhất sẽ gây tắc những mao mạch tụy và khiến cho những acinar tụy ở những vùng bị thiếu máu bị vỡ. Khi đó, những hạt cholymicrons sẽ tiếp xúc trực tiếp với lipase tụy. Những yếu tố tiền viêm có nguồn gốc là các acide béo tự do chưa được ester hóa - là sản phẩm thoái giáng của cholymicrons - triglyceride bởi các enzym tụy sẽ càng làm tổn thương thêm các acinar và vi mạch nhu mô tụy. Khi quá trình viêm bắt đầu xảy ra, hội chứng đáp ứng viêm hệ thống được khởi động với vai trò của các cytokines và các chất trung gian hóa học khác của quá trình viêm. Một đáp ứng viêm dữ dội toàn cơ thể là yếu tố chủ yếu dẫn tới hội chứng suy đa tạng rất nặng nề trên lâm sàng trong những ca viêm tụy cấp nặng.

2. TRIỆU CHỨNG LÂM SÀNG CỦA TĂNG TRIGLYCERID MÁU
Lâm sàng của viêm tụy cấp tăng triglycerid cũng tương tự viêm tụy cấp do các nguyên nhân khác với các triệu chứng như: Đau bụng đột ngột dữ dội vùng thượng vị lan ra sau lưng kéo dài nhiều giờ; Triệu chứng buồn nôn, nôn xảy ra ở khoảng 70%-80% ở các bệnh nhân; Cùng với đau bụng và nôn là các triệu chứng như bụng chướng, bí trung đại tiện, có thể có đại tiện lỏng hay khó thở do bụng chướng hoặc có tràn dịch màng phổi kèm theo; Bệnh nhân hoảng hốt, lo sợ vật vã kích thích, ý thức lơ mơ, huyết áp tụt, mạch nhanh nhỏ khó bắt, da tái lạnh trong bối cảnh suy đa tạng.
Khám có thể thấy bụng chướng, căng đau khắp bụng, đề kháng thượng vị, đau điểm sườn lưng trái. Xuất huyết dưới da quanh rốn (dấu Cullen) hay hông lưng( dấu Grey-Turner)…Ngoài ra có thể thấy dấu hiệu gợi ý cho tình trạng tăng triglycerid máu bao gồm huyết thanh đục như sữa, u vàng ở bề mặt duỗi của tay, chân, mông và lưng do tình trạng tăng chylomycron máu dai dẳng. Nhiễm lipid võng mạc có thể thấy ở bệnh nhân khi nồng độ triglycerid máu vượt quá 45mol/l(4000mg/dl)
3. CẬN LÂM SÀNG CỦA TĂNG TRIGLYCERID MÁU
3.1. Sinh hóa và huyết học:
- Xét nghiệm lipid máu: Triglycerid tăng ≥5,7mmol/l(500mg/dl), cholesterol có thể tăng hoặc bình thường
- Amylase máu: Tăng ≥3 lần bình thường. Amylase máu tăng sau đau 1-2h và tăng cao sau 24h và trở về bình thường sau 2-3 ngày
- Lipase: Tăng ≥3 lần bình thường. Lipase trong huyết tương tăng cao có giá trị chẩn đoán viêm tụy cấp hơn là amylase tăng. Hơn nữa thời gian tăng lipase trong máu kéo dài hơn amylase, do đó nó là một xét nghiệm để chẩn đoán viêm tụy cấp tốt hơn.
- Công thức máu: số lượng bạch cầu tăng với tăng bạch cầu đa nhân trung tính. Hematocrit tăng do tình trạng cô đặc máu
3.2. Chẩn đoán hình ảnh:
- Siêu âm: có thể chẩn đoán được thể phù nề, thể hoại tử. Siêu âm còn theo dõi tiến triển của viêm tụy cấp: hoại tử lan tràn, dịch ổ bụng, nang giả tụy, abces tụy. Ngoài ra siêu âm còn để thăm dò đường mật: sỏi đường mật, giun chui ống mật, ống tụy, u đầu tụy..
- CT scanner, MRI tụy: Đây là 2 phương pháp có giá trị chính xác trong chẩn đoán cũng như trong tiên lượng bệnh, cho biết rõ hình ảnh, kích thước, mức độ tổn thương ở tụy, quanh tụy, trong ổ bụng.
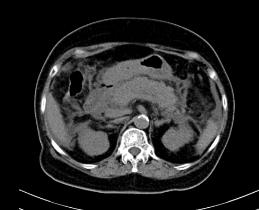
Hình ảnh CT scanner 1 ca viêm tụy cấp
4. THAY HUYẾT TƯƠNG - PHƯƠNG PHÁP ĐIỀU TRỊ HIỆU QUẢ TRONG ĐIỀU TRỊ VIÊM TỤY CẤP TĂNG TRIGLYCERID
Điều trị viêm tụy cấp do tăng triglyceride bao gồm các biện pháp điều trị chung như những trường hợp viêm tụy cấp do các nguyên nhân khác như nuôi dưỡng đường tĩnh mạch, bồi phụ nước, điện giải, thăng bằng kiềm toan, heparine, kháng sinh nếu có nhiễm khuẩn và hồi sức tích cực cho những trường hợp nặng có suy tạng.
Thay huyết tương (Therapeutic plasma exchange- TPE) là một kỹ thuật tách huyết tương sử dụng máy siêu lọc và màng lọc tách huyết tương thông qua vòng tuần hoàn ngoài cơ thể để tiến hành tách bỏ huyết tương có chứa thành phần gây bệnh có trọng lượng phân tử lớn trong huyết tương và đồng thời bù lại thể tích huyết tương đã bị loại bỏ bằng dung dịch điện giải, dung dịch keo, huyết tương tươi đông lạnh hoặc dung dịch albumin 4-5%.

Hình ảnh: Quả lọc TPE dùng để thay huyết tương và hệ thống máy Prismaflex
Được áp dụng lần đầu tiên vào năm 1978, thay huyết tương được chứng minh hạ nồng độ triglyceride đáng kể và nhanh chóng. Kể từ lần đầu tiên đó, thay huyết tương được sử dụng trong một số nghiên cứu hàng loạt ca và ngày nay đã trở thành lựa chọn hàng đầu trong điều trị viêm tụy cấp tăng triglycerid.
Hiệp Hội Lọc máu Hoa Kỳ (American Society of Apheresis) khuyến cáo thay huyết tương được chỉ định khi triglycerid> 11,3mmol/l (1000 mg/dl)  có thể bắt đầu  ngay sau chẩn đoán viêm tụy cấp tăng triglycerid được thiết lập, điều trị mỗi ngày trong 1–3 ngày đến khi đạt mục tiêu nồng độ triglyceride.
 Mặc dù thay huyết tương hạ nhanh triglyceride nhưng đây là biện pháp xâm lấn (bệnh nhân phải đặt catheter lọc máu), chi phí cao, cần có trang thiết bị hiện đại, ekip được đào tạo chuyên sâu đi kèm.

 
Hình ảnh: một bệnh nhân viêm tụy cấp chuẩn bị được thay huyết tương
Sau khi đã điều trị ổn định, điều quan trọng là phải tìm nguyên nhân tăng triglycerid máu để loại bỏ đồng thời với việc dùng thuốc để làm giảm nồng độ chất này trong máu nhằm tránh gây ra những đợt viêm tụy cấp tái diễn tiếp theo
5. BÁO CÁO CA LÂM SÀNG ĐIỂN HÌNH
Bệnh nhân nam Nguyễn Thanh H. 36 tuổi, tiền sử không có gì đặc biệt, BMI 30kg/m2 vào viện vì đau bụng nôn mữa, điều trị ở tuyến dưới 3 ngày không cải thiện nên chuyển vào bệnh viện Đa khoa Tỉnh Quảng Trị. Ghi nhận lúc vào viện bệnh nhân tỉnh, chậm, có lúc nói nhảm, mạch 152 l/p, huyết áp : 160/90mmHg, thở nhanh 36 l/p. Bụng chướng, đau toàn bụng,nôn ra dịch đà đen,  bí trung đại tiện. Xét nghiệm: Amylase máu: 895U/l, lipase máu 1240U/l, Triglycerid: 46mmol/h. Khí máu toan chuyển hóa nặng:  PH 7.15, PCO2 13mmHg, HCO3-: 4,4mmol/h
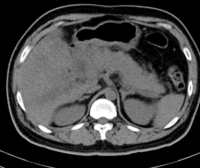
Siêu âm bụng, CT ổ bụng: Tụy kích thước lớn, phù nề
Hình ảnh CT: Tụy phù nề
Bệnh nhân được tiến hành thay huyết tương với 3600ml huyết tương tươi đông lạnh.
Hình ảnh: Bệnh nhân được tiến hành thay huyết tương tươi đông lạnh
Sau thay huyết tương xét nghiệm triglycerid 5,2mmol/l, bệnh nhân được lọc máu liên tục do toan chuyển hóa nặng. Sau 24h, lâm sàng bệnh nhân ổn định, ngừng lọc máu liên tục điều trị nội khoa với dinh dưỡng, kháng sinh, insulin truyền tĩnh mạch, lipanthyl 200mg/ngày.
Ba ngày sau thay huyết tương, triglycerid tăng cao trở lại12,7 mmol/l. Tiến hành thay huyết tương lần 2 với dịch thay thế là huyết tương tươi đông lạnh 3600ml. Sau thay huyết tương xét nghiệm triglycerid 3,5 mmol/h. Bệnh nhân tiếp tục điều trị với lipanthyl 200/ngày kết hợp simvastatin 20mg/ngày. Bệnh nhân được ra viện 7 ngày sau đó với mức triglycerid 3,2mmol/l.
6. KẾT LUẬN
Tăng triglycerid là nguyên nhân đứng hàng thứ 3 gây viêm tụy cấp nhưng thường không được chú ý và hay bị bỏ qua trong chẩn đoán, nó chỉ được chú ý khi không tìm được các nguyên nhân khác hoặc tình cờ phát hiện ( xét nghiệm thấy triglycerid tăng rất cao) hoặc thấy mẫu máu đục như sữa.
Thay huyết tương là phương pháp hiện đại giúp giảm nhanh nồng độ triglycerid trong máu. Hiện nay phương pháp này đã được sử dụng phổ biến trong trong điều trị viêm tụy cấp tăng triglycerid.
Sau khi điều trị đã ổn định điều quan trọng nhất phải tìm nguyên nhân tăng triglycerid để loại bỏ, đồng thời kết hợp với việc dùng thuốc để giảm nồng độ chất này trong máu nhằm tránh gây ra những đợt viêm tụy cấp tái diễn tiếp theo.
Thay đổi lối sống, chế độ tiết thực, tập thể dục, kiểm soát tốt đường huyết có hiệu quả tốt trong giảm nồng độ triglycerid máu và dự phòng viêm tụy cấp.

Tác giả: BsCKI. Hoàng Ngọc Huỳnh – Khoa HSTCCĐ

Tổng số điểm của bài viết là: 7 trong 2 đánh giá

Xếp hạng: 3.5 - 2 phiếu bầu

  Ý kiến bạn đọc

Những tin mới hơn

Những tin cũ hơn

Album ảnh bệnh viện
Bạn đã không sử dụng Site, Bấm vào đây để duy trì trạng thái đăng nhập. Thời gian chờ: 60 giây
Gửi phản hồi