tin tuc

Chấn thương tinh hoàn

Thứ hai - 24/08/2020 03:46
Chấn thương tinh hoàn
I. ĐẠI CƯƠNG
          Chấn thương tinh hoàn thường hiếm gặp, nó chỉ chiếm 1 tỷ lệ nhỏ trong các chấn thương niệu dục do tinh hoàn di động và được bảo vệ giữa 2 đùi [4] [6]. Chấn thương thường xảy ra khi nó bị ép giữa tác nhân gây chấn thương và đùi hay khớp mu. Thường hay chấn thương ở 1 bên. Chấn thương tinh hoàn 2 bên chiếm tỷ lệ khoảng 1,5% [6]. Độ tuổi hay gặp là 15-40 tuổi [6] [8]
          Về nguyên nhân được chia làm 2 nhóm: chấn thương và vết thương tinh hoàn trong đó nguyên nhân chấn thương chiếm 85%[8]
          * Chấn thương: chấn thương tinh hoàn thường gặp nhất là do đả thương và chấn thương trong thể thao (đặc biệt là các môn thể thao đối kháng), tai nạn giao thông ( xe đạp, xe máy), tự bóp tinh hoàn ở bệnh nhân tâm thần...
          * Vết thương: có thể gặp trong vết thương do đạn, súc vật cắn, tự cắt tinh hoàn ở bệnh nhân tâm thần hay vết thương tinh hoàn do vật liệu nổ và thường phối hợp với các tổn thương khác ở tầng sinh môn, vùng chậu hay vúng bụng.
II. GIẢI PHẪU BỆNH
          Trong các chấn thương mạnh vùng bìu, vỡ tinh hoàn chiếm tỷ lệ 50%.[3],[8]. Tùy từng hoàn cảnh cụ thể mà có thể xảy ra các loại thương tổn sau:
          - Tổn thương các mạch máu nhỏ dưới da gây nên tụ máu (haematoma) ở nông, giữa da và các lớp mô sợi của bìu
          - Chảy máu dưới lá tạng của tinh mạc khu trú lại tạo thành khối haematocele
          - Rách bao trắng tinh hoàn (Tunica albuginea). Một lực đủ mạnh làm vỡ bao trắng tinh hoàn thường làm rách luôn lá thành của tinh mạc (tunica vaginalis) làm nhu mô tinh hoàn, máu tràn vào các lớp của bìu và tạo nên các khối máu tụ (haematoma) lớn.
          - Chảy máu trong nhu mô tinh hoàn
image 20200824144655 1
image 20200824144655 2
image 20200824144655 3
Hình 1. Một số loai tổn thương trong chấn thương tinh hoàn
* Nguồn: theo Hashim H (2005) [4]
III. CHẨN ĐOÁN
3.1. Lâm sàng
          - Sau chấn thương bệnh nhân đau nhiều vùng bìu, có thể ngất xỉu. Buồn nôn và nôn [4],[6],[8]
          -  Bìu bên chấn thương thường sưng to. Mức độ sưng của bìu không phải luôn liên quan với tình trạng vỡ tinh hoàn, bởi vì trong một số trường hợp, máu chảy từ tinh hoàn vỡ được khu trú lại bởi là thành của tinh mạc ( không bị tổn thương) cho nên tinh hoàn chỉ hơi lớn [2],[4]. Tình trạng chèn ép tinh hoàn bởi khối máu tụ có thể gây thiếu máu cục bộ, hoại tử hay teo tinh hoàn. Khối máu tụ vùng bìu có thể rất lớn, sưng nề, bầm tím và có thể lan lên cả vùng bẹn và bụng dưới [4]
 
Hình 2. Một ca chấn thương tinh hoàn tại Bệnh viện tỉnh Quảng Trị
          - Tinh hoàn bên chấn thương thường không sờ thấy do nằm trong khối máu tụ. Nếu sờ thấy thì thường rất đau.
          - Tinh hoàn bị chuyển vị (traumatic dislocation of the testes) vào ống bẹn, vào ổ bụng, xoắn tinh hoàn sau chấn thương có thể gặp [2], [4], [8]
3.2. Cận lâm sàng
          Siêu âm là phương tiện chẩn đoán hình ảnh rất hữu ích trong chấn thương bìu [1],[2],[4],[6]. Vai trò của nó cần được coi trọng hơn bởi vì các biểu hiện lâm sàng không phải lúc nào cũng tương ứng hoặc là dấu hiệu đáng tin cậy của tổn thương tinh hoàn. Mức độ sưng nề bầm tím nhiều hay ít, khối tụ máu to hay nhỏ không nhất thiết phải tương xứng với mức độ thương tổn của tinh hoàn bên dưới. Trái lại không có các biểu hiện bên ngoài này cũng không thể hoàn toàn loại trừ có thương tổn tinh hoàn. Đụng dập tinh hoàn mà không vỡ bao trắng có thể có chảy máu nhu mô nhiều cần phải mổ cấp cứu để cầm máu và tránh chén ép tinh hoàn bởi máu tụ [2]
          Các dấu hiệu: cấu trúc hồi âm không đồng nhất trong tinh hoàn, bất thường đường viền quanh tinh hoàn, vỡ bao trắng và mất tưới máu trong tinh hoàn là các dấu hiệu đặc trưng của vỡ tinh hoàn
image 20200824144655 5
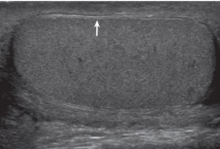
Hình 3. Bao trắng bình thường
* Nguồn: theo Bhatt S (2008) [2]
image 20200824144655 6
Hình 4. rách bao trắng
* Nguồn: theo Bhatt S (2008) [2]
          - Rách bao trắng tinh hoàn (Tunica Albuginea): bao trắng bình thường có hình ảnh 2 lớp tăng hồi âm chạy song song với nhau bao quanh tinh hoàn (Hình3). Khi có dấu hiệu mất liên tục của bao trắng có nghĩa là rách bao trắng hay vỡ tinh hoàn (Hình4). Tuy nhiên khi có khối máu tụ lớn ngoài tinh hoàn thì siêu âm hạn chế trong việc phát hiện dấu hiệu rách bao trắng này.
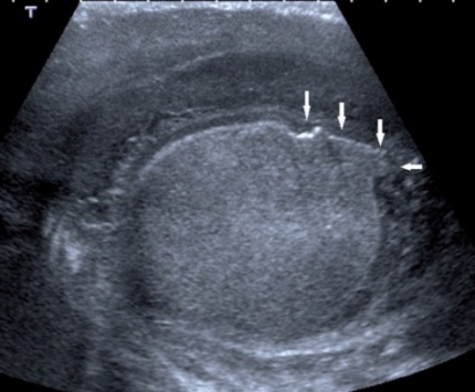
          - Bất thường đường viền tinh hoàn: khi tinh hoàn vỡ, sự đùn ra của nhu mô tinh hoàn qua chỗ vỡ sẽ tạo nên sự di thường của một bề mặt tinh hoàn bắng phẳng bình thường (Hình5).. Khi có khối máu tụ lớn ngoài tinh hoàn hay khối máu tụ lớn ở vùng bìu làm khó phát hiện dấu hiệu rách bao trắng tinh hoàn thì hình ảnh này là dấu hiệu gián tiếp của vỡ tinh hoàn
image 20200824144655 7
Hình 5. Bất thường đường viền tinh hoàn* Nguồn: theo Adlan T (2014) [1] 
image 20200824144655 8
Hình 6. Mất tưới máu 1 phần tinh hoàn
* Nguồn: theo Bhatt S (2008) [2]
          - Cấu trúc hồi âm không đồng nhất của tinh hoàn: cần 1 lực khoảng 50 kg mới có thể làm vỡ bao trắng tinh hoàn[2],[4],[6],[8]. Khi bao này vỡ thì hầu như nhu mô tinh hoàn bên dưới bị tổn thương do đó khi có dấu hiệu cấu trúc hồi âm không đồng nhất của tinh hoàn kèm với đường viền tinh hoàn không đều là có thể chẩn đoán vỡ tinh hoàn. Tuy nhiên với 1 lực nhỏ hơn chưa thể làm vỡ bao trắng nhưng cũng đủ làm đụng dập nhu mô tinh hoàn cho nên dấu hiệu cấu trúc hồi âm không đồng nhất của tinh hoàn một mình nó không đủ để chẩn đoán vỡ tinh hoàn trừ khi đi kèm với dấu hiệu vỡ bao trắng hay đường viền tinh hoàn không đều.
            Siêu âm có độ chính xác thấp trong chẩn đoán vỡ tinh hoàn nếu chỉ dựa vào dấu hiệu rách bao trắng với độ nhạy 50% và độ đặc hiệu 76%. Thêm các dấu hiệu như: cấu trúc hồi âm không đồng nhất và bất thường đường viền tinh hoàn đã được báo cáo là nâng độ nhạy và độ đặc hiệu của siêu âm trong chẩn đoán vỡ tinh hoàn lên 100% và 93,5% [2]
          - Mất tưới máu trong tinh hoàn: vỡ tinh hoàn sẽ làm mất tưới máu một phần hay toàn bộ tinh hoàn tùy mức độ thương tổn (Hình6).. Đây là một dấu hiệu rất quan trọng giúp đánh giá khả năng sống của nhu mô tinh hoàn và quyết định phương pháp phẫu thuật. Mất tưới máu 1 vùng trong tinh hoàn có thể là thứ phát sau tụ máu trong tinh hoàn (Hình7).. Nếu vùng thiếu tưới máu lớn có thể phải phẫu thuật lấy khối máu tụ.
Hình 7.  Máu tụ trong tinh hoàn
* Nguồn: theo Bhatt S (2008) [2]
IV. PHÂN ĐỘ
          Phân loại mức độ tổn thương tinh hoàn theo AAST đưa ra vào năm 1995 [7],[8] dựa vào các dấu hiệu siêu âm bìu và thăm khám lâm sàng như sau:
Độ* Mô tả
I Đụng dập/ máu tụ
II Rách bao trắng tinh hoàn trên siêu âm
III Rách bao trắng tinh hoàn kèm mất nhu mô < 50%
IV Rách bao trắng tinh hoàn kèm mất nhu mô ≥ 50%
V Đứt hay dập vỡ tinh hoàn hoàn toàn
* Cộng 1 độ khi có nhiều thương tổn nhưng chỉ lên tới độ III
V. ĐIỀU TRỊ
5.1. Chỉ định
          + Dựa theo phân độ tổn thương tinh hoàn theo AAST [7] thì:
          - Độ I: điều trị bảo tồn
          - Độ II- V: mổ cấp cứu
          Nhìn chung chỉ định mổ được đặt ra khi có tổn thương rách bao trắng trên siêu âm. Park J.C. [7] nghiên cứu trên 63 bệnh nhân chấn thương tinh hoàn được siêu âm chẩn đoán trước mổ. Tác giả nhận thấy siêu âm có độ nhạy 76,3% và độ đặc hiệu 87,3% trong phát hiện thương tổn rách bao trắng. Những thương tổn rách nhỏ của bao trắng thường không phát hiện được do máu tụ quanh tinh hoàn và sưng nề vùng bìu .
          Nhiều tác giả báo cáo về nguy cơ của nhóm điều trị bảo tồn là phải chỉ định mổ sau đó vì đau và nhiễm khuẩn. Khi mổ muộn (>3 ngày) nguy cơ phải cắt tinh hoàn thường cao hơn so với mổ sớm. Cass và Luxenberg (1991) [3] nhận thấy nếu mổ sớm (trong vòng 72 giờ) thì khả năng bảo tồn được tinh hoàn là 90% trong khi mổ muộn (sau 72 giờ) thì khả năng phải cắt tinh hoàn lên đến 45- 55%. Ngoài ra, mổ sớm sẽ giảm đau đớn và rút ngắn thời gian điều trị cũng như thời gian hồi phục của bệnh nhân. Chính vì vậy quan điểm của nhiều tác giả là nên mổ thám sát sớm khi có nghi ngờ tổn thương tinh hoàn[8]. Sau đây là một số trường hợp cụ thể
          + Khi có khối máu tụ lớn vùng bìu hay haematocele lớn chứng tỏ có tổn thương đáng kể của tinh hoàn hoặc của các cấu trúc cạnh tinh hoàn. Chỉ định mổ nên đặt ra để bảo tồn tinh hoàn và giảm các biến chứng sau mổ [5]. Nhiều tác giả cho rằng những khối máu tụ có kích thước lớn hơn 3 lần kích thước tinh hoàn đối diện là có chỉ định mổ [4],[6].
          + Rách bao trắng là chỉ định mổ tuyệt đối [5],[7]
          +Trong quá trình điều trị bảo tồn các khối máu tụ vùng bìu hay haematocoele, siêu âm lại cần thực hiện trong vòng 48 giờ, nếu chúng có dấu hiệu lan rộng thì chỉ định mổ là cần thiết [5].
          + Với các khối máu tụ trong tinh hoàn mà không rách bao trắng: nếu khối máu tụ nhỏ và bệnh nhân đau vừa phải thì chỉ cần điều trị bảo tồn. Siêu âm kiểm tra trong vòng 48 giờ để đánh giá tiến triển. nếu khối máu tụ lớn với đau nhiều hay có xu hướng to thêm thì chỉ định mổ là cần thiết [5].
          + Mất tưới máu trên siêu âm Doppler màu nên chỉ định mổ
          + Không chắc chắn về chẩn đoán nên chỉ định mổ
          + Vết thương bìu phải chỉ định mổ để xác định mức độ tổn thương, rửa sạch vết thương và cầm máu
          + Đối với các trường hợp tinh hoàn di chuyển (Testicular Dislocation) thì thử nắn đưa tinh hoàn trở lại vị trí ban đầu. Nếu thất bại thì mổ cố định tinh hoàn [5]
5.2. Điều trị
5.2.1. Điều trị bảo tồn [5],[6],[8]
          + Băng cố định bìu lên cao
          + Giảm đau, kháng viêm nonsteroid, kháng sinh
          + Chườm đá
          + Nghỉ ngơi tại giường
          + Siêu âm kiểm tra trong vòng 48 giờ
5.2.2. Phẫu thuật
          Phẫu thuật được tiến hành khi có các chỉ định trên. Tiến hành: rạch rộng da bìu, cầm máu cẩn thận, lấy hết máu cục, thăm dò tinh hoàn.        
          + Nếu bao trắng rách gọn (độ II): cắt lọc tố chức hoại tử hay thiếu sức sống, cầm máu tỉ mỉ, đóng bao trắng với chỉ tiêu chậm 4.0.
          + Nếu tinh hoàn giập vỡ một phần (độ III, IV)  chỉ nên cắt bỏ phần giập nát và lấy bỏ nhu mô tinh hoàn đùn ra ngoài sau đó khâu kỹ vỏ bao trắng bằng chỉ tiêu chậm 4.0. Nếu bao trắng không đủ thì có thể dùng vạt tinh mạc (tunica vaginalis) để che phủ nhu mô tinh hoàn.
          + Nếu nghi ngờ khả năng sống của tinh hoàn thì có thể ủ tinh hoàn bằng gạc tẩm nước muối ấm trong vòng 5 phút và theo dõi sự cải thiện của tưới máu. Dùng dao lạnh rạch bao trắng, nếu có máu đỏ tươi chảy có nghĩa là đủ máu nuôi dưỡng tinh hoàn. Nếu chảy dịch đen sẫm chứng tỏ tinh hoàn bị thiếu máu và cần cắt bỏ tinh hoàn.
          +Trường hợp tinh hoàn bị dập nát hoàn toàn (độ V) thì cắt bỏ tinh hoàn
          Đặt dẫn lưu ổ mổ, đóng lớp dartos và lớp da bìu
TÀI LIỆU THAM KHẢO
1. Adlan T., Freeman S.J.(2014)," Can ultrasound help to manage patients with scrotal trauma?", Ultrasound, pp : 1–8.
2.Bhatt S., Dogra V.S.(2008),"Testicular and ScrotalTrauma",RadioGraphics ,28(6), pp:1617–1629. 
3.Cass A.S., Luxenberg M.(1991), "Testicular injuries". Urology,37, pp: 528-30.
4. Hashim H.,Reynard J.,Cowan N.C.(2005),"Testicular Injuries",
 Urological Emergencies in Clinical Practice, Springer-Verlag London, pp: 113-117
5.Lucky M., Brown G., Dorkin T.(2018), "British Association of Urological Surgeons (BAUS) consensus document for the management of male genital emergencies - testicular trauma", BJU Int ,121, pp: 840–844.        
6. Papoutsoglou N., Thiruchelvam N (2013), "Diagnosis and Management of Testicular Injuries", Med Surg Urol, 2(2), pp: 1:3.        
7. Park J.S.,Lee S.J.(2007), "Testicular Injuries-Efficacy of the Organ Injury Scale Developed by the American Association for the Surgery of Trauma", Korean J Urol ,48, pp :61-65.
8. Plas E., Berger I.(2007), "Genital Trauma", Emergencies in Urology, Springer-Verlag Berlin Heidelberg New York, pp: 260-269.        

Tác giả: Ts.Bs Phan Khánh Việt, Bs Trần Đình Ngọc – Khoa Ngoại Tổng hợp

Tổng số điểm của bài viết là: 71 trong 16 đánh giá

Xếp hạng: 4.4 - 16 phiếu bầu

  Ý kiến bạn đọc

Những tin mới hơn

Những tin cũ hơn

Album ảnh bệnh viện
Bạn đã không sử dụng Site, Bấm vào đây để duy trì trạng thái đăng nhập. Thời gian chờ: 60 giây
Gửi phản hồi