tin tuc

Chẩn đoán hình ảnh trong đột qụy thiếu máu não

Thứ tư - 30/09/2020 19:58
Chẩn đoán hình ảnh trong đột qụy thiếu máu não
1. MỞ ĐẦU
       Tai biến mạch máu não (Stroke:đột quỵ) là nguyên nhân gây tử vong thứ 2 trên thế giới sau các bệnh tim mạch. Tại châu Âu, tỷ lệ tử vong hàng năm tăng từ 63,5 đến 273,4/100.000 trường hợp. Ở các nước công nghiệp: 20% bệnh nhân sống sót cần được chăm tạm thời sau 3 tháng, trong đó 15% đến 30% bị tàn tật kéo dài.
Nhồi máu não (đột quỵ do thiếu máu não, chiếm 80% đến 85% các trường hợp tai biến mạch máu não) là bệnh lý gây ra do tắc nghẽn mạch máu tại một khu vực gây ngừng cung cấp oxy và glucose cho não dẫn đến giảm quá trình trao đổi chất của khu vực não bị thiếu máu.
2. SINH LÝ BỆNH VÀ NGUYÊN NHÂN
2.1.Sinh lý bệnh của nhồi máu não
       Sau khi ngừng cung cấp máu tiếp đến là mạch máu não tắc hay giảm cung cấp máu, chỉ trong vài phút trong trung tâm vùng bị nhồi máu đã xuất hiện tế bào não chết. Vùng xung quanh trung tâm, gọi là vùng nửa tối (tranh tối-tranh sáng) (về mặt chức năng đã bị suy yếu nhưng những tế bào não vẫn còn tồn tại được nhờ hệ thống tuần hoàn bàng hệ). Vùng này có thể chuyển thành ổ nhồi máu sau một loạt quá trình sinh hóa có hại gây ngộ độc tế bào làm tổn thương thứ phát các tế bào thần kinh.
2.2.Nguyên nhân của nhồi máu não
       Xơ vữa động mạch, huyết khối do xơ vữa và nghẽn mạch do các bệnh tim (rung nhĩ, thay van tim, cục máu đông trong buồng tim,...) là các nguyên nhân thường gặp gây nhồi máu não.
3.TRIỆU CHỨNG HỌC
       Để giúp điều trị kịp thời các bệnh nhân nhồi máu não, Tổ Chức Đột Quỵ Não Quốc Tế (ISO) năm 2006 đã khuyến cáo công thức đơn giản giúp chẩn đoán nhanh tai biến mạch não có thể sử dụng ở tuyến cơ sở viết tắt là FAST (nhanh) của bốn chữ: Facial weakness: liệt mặt; Arm weakness: yếu và/hoặc chân;Speech difficulty: nói khó; Time to act fast: thời điểm phải hành động nhanh.
image003 14720197
4. CHẨN ĐOÁN HÌNH ẢNH
       Phát hiện sớm các thể tai biến mạch não như nhồi máu não, chảy máu nội sọ hoặc xuất huyết dưới màng nhện là rất cần thiết. Mục đích khảo sát hình ảnh trong tai biến mạch máu não là: phát hiện xuất huyết, xác định các nguyên nhân không do mạch máu của đột quỵ như u não, tụ máu mãn tính,... đánh giá mức độ, tiên lượng, theo dõi và chọn phương án điều trị thích hợp cho bệnh nhân.
4.1. Cắt lớp vi tính (CT Scanner)
       Bao gồm các kỹ thuật CT sọ não không cản quang, chụp mạch đầu cổ CTA và hình ảnh CT tưới máu não CTP.
4.1.1. CT sọ não không cản quang
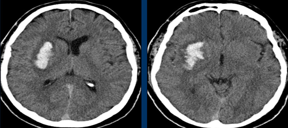
       - Loại trừ xuất huyết não.
       - Hình ảnh điển hình là giảm tỷ trọng theo vùng cấp máu động mạch. Tuy nhiên thường  không có thay đổi về hình ảnh trong giai đoạn  sớm hoặc đôi khi thấy được các dấu hiệu sớm (tăng tỷ trọng lòng động mạch, giảm tỷ trọng nhân bèo, xóa rãnh cuộn não, dấu “dải băng thùy đảo”, mất ranh giới trắng-xám, xóa các rãnh não).
    Xuất huyết não nhân bèo, thường gặp ở các bệnh nhân cao huyết áp.
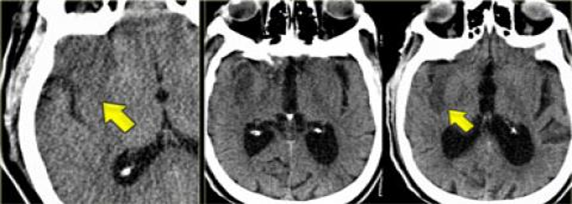
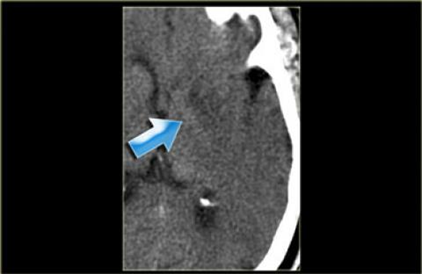
    Hình ảnh tăng tỷ trọng động mạch não giữa MCA bên trái, do huyết khối hoặc tắc mạch. Tương ứng với tắc MCA trên CTA.
    Hình ảnh giảm tỷ trọng nhân bèo, thường liên quan đến nhồi máu động mạch não giữa MCA
    Dấu“dải băng thùy đảo”. Hình ảnh này cần được phân biệt với viêm não do Herpes.
    4.1.2. CT mạch máu đầu cổ (CTA)  
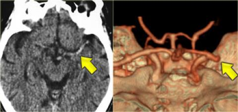
    Cho thấy tắc nghẽn, hẹp mạch máu cũng như tình tràng tuần hoàn nối, bàng hệ.
    Hình ảnh tắc động mạch não giữa MCA bên phải trên CTA
    4.1.3. CT tưới máu não (CTP)
    Cho thấy thay đổi các thông số tưới máu não, đánh giá “lõi” tổn thương nhồi máu và vùng tranh tối-tranh sáng.

    4.2. Cộng hưởng từ (MRI)
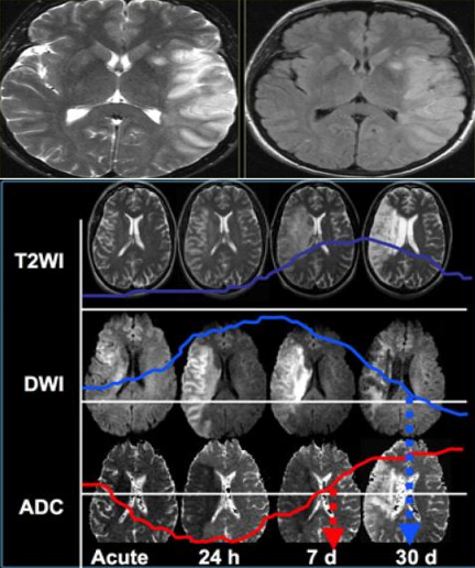
    • Nhồi máu cấp phát hiện trên cộng hưởng từ tốt hơn chụp cắt lớp vi tính. Tổn thương nhồi máu nhồi máu phát hiện  trên xung T2 và FLAIR với tín hiệu cao. Các xung này phát hiện 80% các ổ nhồi máu trong 24h đầu. Tuy nhiên có thể biểu hiện bình thường ở giai đoạn tối cấp. Tăng tín hiệu trên T2/FLAIR có giá trị như giảm tỷ trọng trên CT.
    • Chuỗi xung khuếch tán DWI là chuỗi xung có độ nhạy cao nhất để phát hiện tổn thương nhồi máu, chỉ trong vòng vài phút sau khi khởi phát triệu chứng vào giai đoạn tối cấp.
    • Hình ảnh T2/FLAIR và DWI/ADC thay đổi theo các giai đoạn tiến triển của nhồi máu.

    TÀI LIỆU THAM KHẢO:
    1. Khuyến cáo 2008 của Hội Tim Mạch Học Việt Nam về chẩn đoán và điều trị nhồi máu não cấp (Đột quỵ thiếu máu não).
    2. Lê Văn Phước (2013), CT sọ não, Tr92-103.
    3. https://radiologyassistant.nl/neuroradiology/brain-ischemia/imaging-in-acute-stroke

    Tác giả: Bs. Lê Trần Minh Nhật - Khoa CĐHA

    Tổng số điểm của bài viết là: 15 trong 4 đánh giá

    Xếp hạng: 3.8 - 4 phiếu bầu

      Ý kiến bạn đọc

    Những tin mới hơn

    Những tin cũ hơn

    Album ảnh bệnh viện
    Bạn đã không sử dụng Site, Bấm vào đây để duy trì trạng thái đăng nhập. Thời gian chờ: 60 giây
    Gửi phản hồi