tin tuc

Thoát vị bịt - Nhân một trường hợp được chẩn đoán trước mổ tại Bệnh viện đa khoa tỉnh Quảng Trị

Thứ hai - 25/11/2019 19:39
 I ĐẶT VẤN ĐỀ
          Thoát vị bịt là một thoát vị thành bụng rất hiếm găp với tỷ lệ mắc khoảng 0.073% [2], lần đầu tiên được mô tả bởi Armaud de Ronsil vào năm 1724 và lần đầu tiên được điều trị thành công bởi Henry Obre vào năm  1851 [3],[4].  Bệnh xảy ra khi các thành phần trong ổ bụng chui qua chỗ khuyết của lỗ bịt để đi vào ống bịt (Hình 1) Nội dung thoát vị thường là ruột non nhưng cũng có thể là đại tràng, mạc nối lớn, vòi trứng, ruột thừa...Bệnh thường xảy ra ở bên phải do do bên trái có đại tràng sigma chắn lỗ bịt.   
          Nguyên nhân thoát vị bịt được cho là sự lỏng lẻo của sàn chậu đi kèm với tuổi cao, giảm lượng mỡ của cơ thể (làm rộng lỗ bịt) và tăng áp lực ổ bụng (tình trạng táo bón kéo dài, bệnh phổi tắc nghẽn mạn tính, cổ trướng…). Do vậy thoát vị bịt hay gặp ở phụ nữ lớn tuổi, gầy, đẻ nhiều lần và thường phối hợp với các bệnh lí khác [1],[2],[3],[4],[5]. Chính vì vậy nó được mang biệt danh "thoát vị của phụ nữ già và gầy".
thoatvi
Hình 1. Hình ảnh thoát vị bịt
* Nguồn: theo Sotiropoulos G.C (2013) [6]
         Thoát vị bịt thường biểu hiện với các triệu chứng không đặc hiệu của tắc ruột cấp và thường chỉ được chẩn đoán trong khi mổ để giải quyết nguyên nhân tắc ruột. Điều trị phẫu thuật chậm trễ làm tăng tỷ lệ tử vong và biến chứng sau mổ nhất là ở người già có kèm theo bệnh tim mạch và hô hấp. Chẩn đoán thoát vị bịt trước mổ vẫn là thách thức cho hầu hết các phẫu thuật viên.
          Thoát vị bịt hiện nay có thể chẩn đoán được trước mổ nhờ những hình ảnh đặc hiệu trên phim chụp cắt lớp vi tính. Bài viết này chúng tôi giới thiệu một trường hợp thoát vị bịt gây tắc ruột được chẩn đoán trước mổ bằng CT scan và được điều trị phẫu thuật cấp cứu thành công tại Bệnh viện đa khoa tỉnh Quảng Trị.
II. BÁO CÁO CA BỆNH
          BN Nguyễn Thị Ng... nữ, 72 tuổi, chiều cao 160cm, cân nặng 30Kg (BMI= 12), nghề nghiệp làm ruộng, địa chỉ ở Vĩnh Thành, Vĩnh Linh, Quảng Trị, vào viện ngày 15/11/2019. Bệnh nhân có tiền sử điều trị lao phổi cách đây 1 năm tại Bệnh viện Lao và bệnh phổi Quảng Trị, đẻ thường 4 lần, sẩy thai 2 lần, không có tiền sử mổ bụng.  Xuất hiện đau bung hạ vị cách 3 ngày: đau âm ỉ, có lúc trội lên thành cơn, kèm theo buồn nôn, bí trung đại tiện. Khám lúc vào viện: thể trạng gầy, mạch 90 lần/phút, huyết áp 100/60 mmHg, không sốt, bụng trướng hơi, ấn đau tức vùng hạ vị. Khám bụng không có u cục, các lỗ thoát vị bẹn và đùi không thấy thoát vị, không có phản ứng thành bụng, nghe có tăng nhu động ruột, dấu hiệu Howship-rhomberg (-). Thăm trực tràng thấy có ít phân vàng, không sờ thấy u. Xét nghiệm: bạch cầu 18,11 G/l, Natri: 135mmol/l, K 3.0 mmol/l, chức năng thận trong giới hạn bình thường, CRP-hs 22,43 mmol/l.
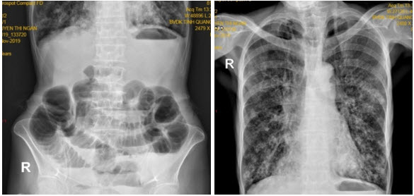
          Bệnh nhân được chụp Xquang bụng: các quai ruột non giãn lớn kèm mức hơi dịch. Xquang phổi : hình ảnh dày thành kèm giãn phế quản dạng tổ ong (chụp nằm) (Hình 2). Siêu âm ổ bụng thấy hình ảnh giãn kèm tăng nhu động một số quai ruột non. 
thoatvi2
Hình 2. Xquang bụng và ngực
          Chụp cắt lớp vi tính ổ bụng: các quai ruột non giãn kèm mức hơi dịch (h/a tắc ruột ). Hình ảnh quai ruột non chui qua lổ bịt trái. Dịch tư do ổ bụng lượng vừa. Tràn dịch màng phổi 2 bên lượng ít. (Hình 3).
thoatvi3
Hình 3. Hình ảnh CT scan của thoát vị đùi- Mũi tên đỏ là quai ruột thoát vị
          Bệnh nhân được mổ cấp cứu ngày 16/11/2019 với chẩn đoán: Tắc ruột non do thoát vị bịt trái. Mở bụng đường trắng giữa dưới rốn thấy ổ bụng có nhiều dịch tiết, ruột non giãn to, nguyên nhân tắc là do một quai hồi tràng cách van Bauhin khoảng 70cm chui vào lỗ bịt trái (Hình 4), quai ruột bầm, ủ ấm thì hồng lại.Cách thức phẫu thuật: giải phóng đoạn hồi tràng thoát vị, khâu phục hồi lỗ bịt trái bằng chỉ prolene 2/0 mũi rời.
          Diễn biến sau mổ thuận lợi, bệnh nhân  trung tiện ngày thứ 2 sau mổ, và ra viện ngày thứ 8 sau mổ trong tình trạng ổn định.
thoatvi4
Hình 4. Hình ảnh trong mổ
III. BÀN LUẬN
          Lỗ bịt của xương chậu được phủ bởi một lớp màng dày. Ống bịt xuyên qua lớp màng này, trong ống có bó mạch và thần kinh bịt. Thoát vị bịt có thể xảy ra qua chỗ khuyết này và được tạo thuận lợi bởi sự teo hay mất đi lớp mỡ quanh bó mạch bịt., sinh đẻ nhiều lần, táo bón, bụng báng và các nguyên nhân khác gây tăng áp lực trong ổ bụng [2].[3].[4].
          Thoát vị bịt hay gặp bên phải do bên trái có đại tràng xích ma che lỗ bịt. Biểu hiện lâm sàng hay gặp nhất của thoát vị bịt là tắc ruột non với buồn nôn, nôn mửa, đau bụng, chướng bụng và bí trung đại tiện nhưng không đặc hiệu.
          Dấu hiệu Howship-rhomberg: đau lan xuống mặt trong của đùi và đầu gối gây ra bởi sự chèn ép và kích thích thần kinh bịt trong ống bịt bởi tạng thoát vị . Dấu hiệu đặc hiệu này của bệnh chỉ gặp 15-20% [5]  . Nó thường bị nhầm lẫn với triệu chứng của viêm khớp do viêm khớp hay xảy ra ở những bệnh nhân già  và vì vậy bị bỏ sót .
          Chỉ có 10%-30% các trường hợp thoát vị bịt được chẩn đoán chính xác trước mổ [1],[4]. Một phẫu thuật viên may ra chỉ gặp bệnh lý này 1-2 lần trong đời [4]. Sự thiếu quen thuộc với thoát vị bịt kèm theo các triệu chứng của bệnh thường không đặc hiệu cho nên chẩn đoán thường muộn và hầu như chỉ phát hiện thoát vị bịt trong khi mổ bụng để giải quyết tắc ruột.
          Bệnh nhân của chúng tôi là một phụ nữ già, gầy yếu với BMI=12 kg/m2, sinh đẻ nhiều lần và tiền sử mắc bệnh lao phổi vào viện với các biểu hiện của tắc ruột rất phù hợp với lý thuyết. Dấu hiệu Howship-rhomberg (-), khám các lỗ thoát vị vùng bẹn đùi không phồng  nên quả thực chẩn đoán thoát vị bịt trên lâm sàng quá khó khăn.
          Chụp CT scan đa lát cắt trong cấp cứu có thể nhanh chóng chẩn đoán và can thiệp phẫu thuật sớm đối với các trường hợp thoát vị bịt do đó nâng cao được kết quả điều trị. Sử dụng CT scan trong chẩn đoán thoát vị bịt được báo cáo lần đầu tiên bởi Meziane và cộng sự vào năm 1983 [5].  Dấu hiệu trên CT scan hay gặp là quai ruột chui qua lỗ bịt nằm giữa cơ lược và cơ bịt ngoài.
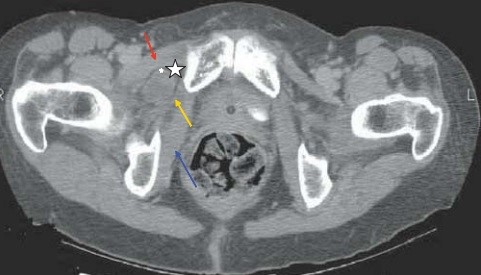
thoatvi5
Hình 5: CTscan mặt phẳng axial cho thấy 1 quai ruột non trong túi thoát vị (hình ngôi sao trắng), ngoài cơ bịt ngoài (mũi tên vàng), trong cơ lược (mũi tên đỏ). Mũi tên xanh chỉ cơ bịt trong. * Nguồn: theo Sotiropoulos G.C (2013) [6]
         Các dấu hiệu khác trên CT scan: các quai ruột non giãn, có hình mức dịch-khí, điểm chuyển tiếp ở lỗ bịt  Nếu chẩn đoán muộn có thể thấy các biến chứng thiếu máu, hoại tử hoặc thủng quai ruột. Có thể thấy dịch tự do ổ bụng, giữa các quai ruột, khí ổ bụng (trường hợp có biến chứng). Sử dụng CT scan giúp chúng ta có thể chẩn đoán thoát vị bịt trước mổ 43%-90% các trường hợp [4]. CT scan có thể chẩn đoán chính xác không chỉ thoát vị bịt mà còn chẩn đoán chính xác các tình trạng tắc ruột khác. Giải phẫu vùng thấp của tiểu khung nơi có lỗ bịt được bộc lộ rất tốt trên CT scan có độ phân giải cao. CT scan đa dãy với tái tạo đa bình diện cho các chi tiết giải phẫu chính xác, phân biệt thoát vị với các khối khác [u, tụ máu, áp xe]
          Phẫu thuật cấp cứu là điều trị duy nhất trong thoát vị bịt. Đường mổ trong cấp cứu được sử dụng là đường giữa dưới rốn. Giải phóng quai ruột thoát vị, cắt đoạn ruột phục hồi lưu thông tiêu hóa nếu quai này hoại tử và khâu đóng lỗ bịt. Mổ phiên thì có thể đặt Mesh che lỗ thoát vị. Có thể mổ mở hay mổ nội soi qua đường trong hay ngoài phúc mạc. Trường hợp của chúng tôi là một trường hợp cấp cứu, chẩn đoán được trước mổ dựa vào các dấu hiệu thu được trên phim CT scan đa lát cắt. Tạng thoát vị là một quai hồi tràng, sau giải phóng và ủ ấm thì quai ruột hồng trở lại không cần cắt bỏ. Lỗ thoát vị được đóng bằng Prolene 2.0 mũi rời, Không đặt Mesh vì sợ nhiễm trùng. Bệnh nhân phục hồi nhanh chóng sau mổ và xuất viện sau 8 ngày điều trị
IV. KẾT LUẬN
          Thoát vị bịt là một bệnh lý rất hiếm gặp và khó chẩn đoan. Nên nghĩ đến nó ở bệnh nhân nữ, cao tuổi, gầy có biểu hiện tắc ruột non mà không có tiền sử mổ bụng. Chụp cắt lớp vi tính bụng có khả năng giúp chẩn đoán xác định thoát vị bịt và các biến chứng.
TÀI LIỆU THAM KHẢO
1. Aydin I., Yucel A.F., Pergel A, , Sahin A.D. (2013), " Obturator Hernia: A Rare Case of Acute Mechanical Intestinal Obstruction", http://dx.doi.org/10.1155/2013/256062
2. Deeba S., Purkayastha S., Darzi A., Zacharakis E (2011), "Obturator hernias: A review of the laparoscopic approach", Journal of Minimal Access Surgery,7(4), pp: 201-204.
3. Fitreena A.A, Shahidah C.A, Mohd. Nizam M.Het all (2018), " Obturator Hernia: A Rare Condition with Common Surgical Symptoms ", J. of Biomed. & Clin. Sci., 3 (1), pp :35-38
4 Liao C.F., Liu C. C., Chuang C.H., Hsu K.C.(2010), "Obturator Hernia: A Diagnostic Challenge of Small-Bowel Obstruction", The American Journal of the Medical Sciences, 339(1), pp: 92-94.
5. Mnari1 W., Hmida B., Maatouk M. et all (2019), "Strangulated obturator hernia: a case report with literature review", The Pan African Medical Journal, http://www.panafrican-med-journal.com/content/article/32/144/full/
6. Sotiropoulos G.C., Radtke A., Molmenti E.P.(2013), "Obturator Hernia", MasterTechniques in Surgery: Hernia, Lippincott Williams & Wilkins.


 

Tác giả: Ts.Bs. Phan khánh Việt, BsCKI. Hoàng Minh Hưng, ThS.Bsnt. Nguyễn Hoàng Nam

Tổng số điểm của bài viết là: 19 trong 5 đánh giá

Xếp hạng: 3.8 - 5 phiếu bầu

  Ý kiến bạn đọc

Những tin mới hơn

Những tin cũ hơn

Album ảnh bệnh viện
Bạn đã không sử dụng Site, Bấm vào đây để duy trì trạng thái đăng nhập. Thời gian chờ: 60 giây
Gửi phản hồi