tin tuc

Giá trị cộng hưởng từ trong đánh giá giai đoạn t và di căn hạch vùng ung thư trực tràng.

Thứ ba - 28/01/2020 00:36
I. Đặt vấn đề ung thư trực tràng là một trong những loại u ác tính phổ biến ở đường tiêu hóa, thường được mô tả trong y văn cùng với ung thư đại tràng với thuật ngữ chung là ung thư đại trực tràng. Theo Globocan 2018, có khoảng 1.849.518 ca ung thư đại trực tràng mới được chẩn đoán tên toàn thế giới, đứng hàng thứ ba về số ca mắc mới sau ung thư phổi và ung thư vú. Tại Việt Nam, năm 2018, ung thư đại trực tràng đứng hàng thứ 5 về số ca mắc mới chiếm tỉ lệ 8,9% sau ung thư gan, phổi, dạ dày, vú. Ung thư đại trực tràng nói chung, ung thư trực tràng nói riêng đang trở thành vấn đề cấp thiết cần phải nghiên cứu với các phương pháp chẩn đoán và điều trị chính xác, kịp thời nhằm giảm tỷ lệ tử vong và tỷ lệ tái phát cho bệnh nhân.
Việc chẩn đoán ung thư trực tràng trước nay tương đối dễ dàng với nội soi kết hợp sinh thiết. Ngoài nội soi kết hợp sinh thiết còn có nhiều phương pháp để chấn đoán u trực tràng như thăm trực tràng, siêu âm nội soi, cắt lớp vi tính, cộng hưởng từ... Tuy có lợi thế trong việc chẩn đoán, nhưng bệnh nhân ung thư trực tràng thường được phát hiện khá muộn, nhất là ở Việt Nam, điều đó gây khó khăn trong việc lên kế hoạch điều trị cho bệnh nhân. 
Đánh giá giai đoạn ung thư trực tràng trước phẫu thuật là vấn đề thiết yếu để lập kế hoạch điều trị tối ưu cho bệnh nhân, lựa chọn đối tượng để hóa xạ trị trước phẫu thuật, nhằm tăng tỉ lệ sống thêm, tiên lượng sự tái phát tại chỗ. Gần đây, ngày càng có nhiều những nghiên cứu chứng minh hiệu quả của hóa xạ trị trước mổ trong việc giảm tỉ lệ tái phát ở những trường hợp ung thư trực tràng đã có xâm lấn tại chỗ. Đối tượng để hóa xạ trị trước mổ là những bệnh nhân được ghi nhận có xâm lấn cân mạc treo trực tràng hay tiên lượng còn tế bào u ở chu vi bờ phẫu thuật. Vì vậy, sự chính xác trong đánh giá cân mạc treo trực tràng trước phẫu thuật càng trở nên quan trọng.
Cho đến nay, một số phương thức đã được sử dụng để đánh giá giai đoạn ung thư trực tràng trước phẫu thuật. Thăm trực tràng hay nội soi trực tràng chỉ có thể có thể quan sát hình dạng khối u và không đánh giá được giai đoạn. Từ trước tới nay có ba phương pháp được dùng nhiều hơn cả để đánh giá giai đoạn ung thư trực tràng trước phẫu thuật bao gồm: Cắt lớp vi tính, siêu âm nội soi và cộng hưởng từ.
Bảng 1. So sánh độ chính xác chẩn đoán giai đoạn T giữa các kĩ thuật
Nghiên cứu CT EUS MRI
Kim et al (1999) 69% 89% 73%
Matsuoka et al (2002) 95.2%   100%
Maier et al (2003)   89% 85%
Bipat et al (2004) NA 94% 94%
Bianchi et al (2005)   70% 71%
Fan et al (2019)   72.7% 70.9%
Chan et al (2019)   87% 82%
Bảng 2. So sánh độ chính xác đánh giá di căn hạch vùng giữa các kĩ thuật
Nghiên cứu CT EUS MRI
Matsuoka et al (2002) 61.9%   70%
Bipat et al (2004) 55% 67% 66%
Bianchi et al (2005)   63% 76%
NA: Not applicable (Không áp dụng), CT: Cắt lớp vi tính, EUS: Siêu âm nội soi, MRI: Cộng hưởng từ.
Cắt lớp vi tính cũng được sử dụng rất nhiều nhằm chẩn đoán bệnh, tuy nhiên còn một số hạn chế trong đánh giá giai đoạn bệnh. Siêu âm nội soi trực tràng có thể đánh giá được giai đoạn và nhiều nghiên cứu cho thấy nó là một trong các phương pháp chính xác nhất đánh giá giai đoạn ung thư trực trang, nhưng không thể áp dụng cho những khối u dọa vỡ, chảy máu hay chít hẹp, gây bít tắc lòng trực tràng. Với yêu cầu đánh giá chính xác giai đoạn để chọn lựa phương pháp điều trị thì cộng hưởng từ tỏ ra ưu thế, một số nghiên cứu cho thấy cộng hưởng từ không những cải thiện chẩn đoán ung thư trực tràng mà còn có giá trị chính xác được khuyến cáo sử dụng để đánh giá giai đoạn ung thư trực tràng.
II. Đặc điểm hình ảnh ung thư trực tràng trên cộng hưởng từ
1. Kĩ thuật chụp
- Chuỗi xung T1w và T2w cắt theo các hướng: axial, sagittal và oblique coronal. Nếu tổn thương ở trực tràng dưới, thêm hướng cắt Coronal oblique (song song với ống hậu môn).
    • Chụp xung Diffusion-weighted (DW) với bản đồ khuếch tán biểu kiến ADC (ADC map) cắt 3D (3 dimensions).
    • Sau khi chụp T1w, T2w, Diffusion xong ta tiến hành tiêm thuốc cho bệnh nhân để xem rõ hơn khối u và có thể chẩn đoán phân biệt UTTT với các bệnh lý khác trong vùng tiểu khung.
    • Tiến hành chụp xung T1 SPIR trên ba hướng axial, sagittal, oblique coronal sau khi tiêm thuốc đối quang từ.
2. Giải phẫu trực tràng trên cộng hưởng từ.
Hình ảnh trực tràng trên cộng hưởng từ:
+ Lớp dịch nhầy: giảm tín hiệu ở T1w, tăng tín hiệu ở T2w.
+ Lớp niêm mạc: là lớp rất mỏng, nhận biết dựa trên hình ảnh của lớp dịch nhầy láng trên bề mặt niêm mạc và lớp dưới niêm mạc.
+ Lớp dưới niêm mạc: tăng nhẹ tín hiệu cả ở T1w, T2w và rất ngấm thuốc.
+ Lớp cơ: giảm tín hiệu cả T1w và T2w đặc biệt cơ thắt trong rất giảm tín hiệu.
+ Lớp mỡ mạc treo trực tràng: tăng tín hiệu cả T1w và T2w.
+ Lớp cân mạc treo trực tràng hoặc thanh mạc: là lớp rất mỏng, nhận biết dựa trên hình ảnh lớp cơ và lớp mỡ cân mạc treo trực tràng.
+ Hệ xương: vỏ xương mất tín hiệu cả T1w và T2w.
Hình 1. Các lớp giải phẫu của trực tràng tương ứng trên cộng hưởng từ

Hình 2. Các lớp giải phẫu trực tràng trên các chuỗi xung với mũi tên đỏ là cân mạc treo trực tràng (mũi tên đỏ)


3. Ung thư trực tràng trên cộng hưởng từ
Ung thư trực tràng có nhiều hình ảnh khác nhau về mặt hình ảnh.
Thành trực tràng bình thường dày khoảng 3mm, bất thường thành trực tràng khi thành dày hơn 5mm. U biểu hiện dưới dạng thành dày không đối xứng hay khối choán chỗ trong lòng gây chít hẹp, hình ảnh này dễ phát hiện khi có giãn đại tràng. Khối u tăng ngấm thuốc đối quang từ.
4. Đánh giá giai đoạn ung thư trực tràng trên cộng hưởng từ
- Đánh giá giai đoạn T trên cộng hưởng từ
Kết quả đọc giai đoạn T theo phân loại TMN của UICC 2016 kết hợp với AJCC 2010.
- T1 và T2 : u giới hạn nằm ở thành ruột.
Hình 3. Khối u giai đoạn T2

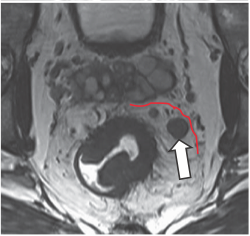
- T3: u phát triển qua thành ruột và thâm nhiễm mỡ ở mạc quanh trực tràng
T3a: xâm lấn <1mm ra ngoài lớp cơ nhưng chưa tới cân mạc treo trực tràng (MRF).
T3b: xâm lấn 1-5mm ra ngoài lớp cơ nhưng chưa tới cân mạc treo trực tràng.
T3c: xâm lấn 5-15mm ra ngoài lớp cơ nhưng chưa tới cân mạc treo trực tràng.
T3d: xâm lấn >15mm ra ngoài lớp cơ nhưng chưa tới cân mạc treo trực tràng.
T3 MRF +: khối u xâm lấn cân mạc treo trực tràng 1mm
T3 MRF - : khối u xâm lấn cân mạc treo trực tràng <1mm
Hình 4. Khối ung thư trực tràng xâm lấn mỡ mạc treo trực tràng
Hình 5. Khối ung thư trực tràng giai đoạn T3 MRF-

- T4: được chia T4a: khối u trực tiếp xâm lấn thanh mạc hoặc cân mạc treo trực tràng. T4b: khối u xâm lấn trực tiếp hoặc dính vào các tạng, cơ quan khác.
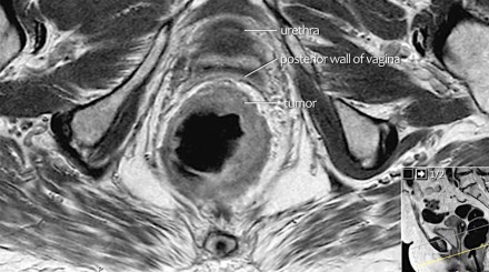
Hình 6. Sự giảm tín hiệu của khối u xâm lấn vào thành sau âm đạo
 
Hình 7. Khối u giai đoạn T4 trên hình ảnh T2w axial xâm lấn lá phúc mạc và cổ tử cung

Hình 8. Khối u giai đoạn T4 trên hình ảnh T2w sagittal xâm lấn âm đạo
và cân mạc treo trực tràng

- Đánh giá di căn hạch vùng trên cộng hưởng từ:
 Theo AJCC hạch vùng bao gồm: quanh trực tràng, mạc treo sigma, dưới mạc treo, bên cùng, trước cùng, chậu trong, Gerota, chậu ngoài, trực tràng trên, trực tràng giữa, trực tràng dưới.
Một hạch nghi ngờ là hạch di căn trên CHT khi thuộc một trong ba  trường hợp sau:
- Trường hợp thứ nhất, hạch có kích thước <5mm kèm với ba đặc điểm ác tính (hạch bờ không đều, tín hiệu hạch không đồng nhất, hạch hình tròn).
- Trường hợp thứ hai, hạch có kích thước 5-9mm kèm hai trong ba đặc điểm ác tính (hạch bờ không đều, tín hiệu hạch không đồng nhất, hạch hình tròn).
- Trường hợp thứ ba, hạch có kích thước  >9mm luôn luôn xem là hạch nghi ngờ.
Hình 9. Hai hạch nghi ngờ di căn ở phía trong cân mạc treo trực tràng

Theo phân loại TMN của UICC 2016 kết hợp với AJCC 2010.
- N1: di căn 1-3 hạch vùng.
+ N1a: di căn 1 hạch vùng
+ N1b: di căn 2-3 hạch vùng
+ N1c: di căn kiểu nhân ngấm (nhân vệ tinh) vào tổ chức ít thanh mạc, mạc treo ruột, tổ chức cạnh đại trực tràng mà không phải phúc mạc, mà không di căn hạch.
- N2: di căn từ 4 hạch vùng trở lên
+ N2a: di căn từ 4-6 hạch
+ N2b: di căn từ 7 hạch trở lên
III. Kết luận
Ung thư trực tràng đang có xu hướng ngày càng gia tăng tại Việt Nam. Phương pháp điều trị hiệu quả cho bệnh nhân phụ thuộc rất lớn vào việc đánh giá giai đoạn bệnh để chọn lựa bệnh nhân có cần phải hóa xạ trị trước mổ hay không. Việc đánh giá giai đoạn ung thư trực tràng đang ngày càng cấp thiết với nhiều phương pháp chẩn đoán, trong đó cộng hưởng từ tỏ ra ưu thế với độ chính xác chẩn đoán cao và kĩ thuật chụp không xâm lấn. Do đó, cộng hưởng từ có giá trị cao trong chẩn đoán giai đoạn T và di căn hạch vùng ung thư trực tràng và được khuyến cáo sử dụng trong các trung tâm chẩn đoán và điều trị trong cả nước.
TÀI LIỆU THAM KHẢO
  1.     Trần Ngọc Dũng, Hà Văn Quyết, Kim Văn Vụ (2014), "Đánh giá kết quả sớm của phương pháp phẫu thuật nội soi trong điều trị ung thư trực tràng", Y học thực hành, 905, tr. 35-38.
  2. Nguyễn Văn Hiếu (2003), "Kết quả điều trị phẫu thuật của 205 bệnh nhân ung thư trực tràng tại bệnh viện K từ 1994- 2000", Hội thảo chuyên đề bệnh hậu môn trực tràng, TP. Hồ Chí Minh, tr. 191-199.
  3. Balyasnikova, S., Read, J., Wotherspoon, A., Rasheed, S., Tekkis, P., Tait, D., … Brown, G. (2017). Diagnostic accuracy of high-resolution MRI as a method to predict potentially safe endoscopic and surgical planes in patients with early rectal cancer. BMJ Open Gastroenterology, 4(1), e000151. 
  4. Beets-Tan, R. G. H., & Beets, G. L. (2004). Rectal cancer: review with emphasis on MR imaging. Radiology232(2), 335-346.
  5. Beets-Tan, R. G. H., Beets, G. L., Vliegen, R. F. A., Kessels, A. G. H., Van Boven, H., De Bruine, A., ... & Van Engelshoven, J. M. A. (2001). Accuracy of magnetic resonance imaging in prediction of tumour-free resection margin in rectal cancer surgery. The Lancet357(9255), 497-504.
  6. Bipat, S., Glas, A. S., Slors, F. J., Zwinderman, A. H., Bossuyt, P. M., & Stoker, J. (2004). Rectal cancer: local staging and assessment of lymph node involvement with endoluminal US, CT, and MR imaging—a meta-analysis. Radiology232(3), 773-783.
  7. El-Kady, E., Ibrahim, M. E., Abbas, K. S., El-Sedfy, A. S., & Mohallel, M. A. (2018). Role of magnetic resonance imaging in loco-regional evaluation of cancer rectum, pre and post neoadjuvant therapy. Alexandria Journal of Medicine.
  8. Fan, Z., Cong, Y., Zhang, Z., Li, R., Wang, S., & Yan, K. (2019). Shear Wave Elastography in Rectal Cancer Staging, Compared with Endorectal Ultrasonography and Magnetic Resonance Imaging, Ultrasound in Medicine & Biology.
  9. Globocan (2018). Vietnam, The International Agency for Research on Cancer.
  10. Globocan (2018). World, The International Agency for Research on Cancer.
  11. Horvat, N., Carlos Tavares Rocha, C., Clemente de Oliveira, B., Petkovska, I., & Gollub, M. J. (2019). MRI of Rectal Cancer: Tumor Staging, Imaging Techniques, and Management, RadioGraphics, 180114.
  12. Jhaveri, K. S., & Hosseini-Nik, H. (2015). MRI of Rectal Cancer: An Overview and Update on Recent Advances, American Journal of Roentgenology, 205(1), W42–W55.
  13. Matsuoka, H., Nakamura, A., Masaki, T., Sugiyama, M., Takahara, T., Hachiya, J., Atomi, Y., (2003), “Comparison between endorectal coil and pelvic phased-array coil magnetic resonance imaging in patients with anorectal tumor”, Am T Surg; 185(4), pp 328- 32.
  14. Plodeck, V., Rahbari, N. N., Weitz, J., Radosa, C. G., Laniado, M., Hoffmann, R.-T., … Platzek, I. (2018). FDG-PET/MRI in patients with pelvic recurrence of rectal cancer: first clinical experiences. European Radiology.



 

Tác giả: Nguyễn Trần Ngọc Trinh

Nguồn tin: Khoa chẩn đoán hình ảnh, Bệnh viện đa khoa tỉnh Quảng Trị

Tổng số điểm của bài viết là: 0 trong 0 đánh giá

  Ý kiến bạn đọc

Những tin mới hơn

Những tin cũ hơn

Album ảnh bệnh viện
Bạn đã không sử dụng Site, Bấm vào đây để duy trì trạng thái đăng nhập. Thời gian chờ: 60 giây
Gửi phản hồi