tin tuc

Bệnh viện đa khoa tỉnh Quảng Trị triển khai thành công điều trị u xơ tử cung bằng phương pháp nút mạch dưới máy X-quang số hóa xóa nền (DSA)

Thứ năm - 26/09/2019 20:20
Đơn nguyên Can thiệp tim mạch Bệnh viện đa khoa tỉnh Quảng Trị vừa can thiệp nút mạch cho phụ nữ có u xơ tử cung có kích thước 41x42x50mm
   Bệnh nhân là chị Đ.T.H, sinh năm 1984, ở huyện Vĩnh Linh, Quảng Trị. Theo lời bệnh nhân kể: bệnh nhân lập gia đình đã 3 năm nay, có thai hai lần nhưng không giữ được thai.
 Đầu tháng 9 năm 2019, chị H. đến Bệnh viện Đa khoa tỉnh Quảng Trị khám phụ khoa, bệnh nhân được siêu âm và chụp Cộng hưởng từ 1.5 Tesla được phát hiện có khối u xơ tử cung (UXTC) nằm ở đoạn eo tử cung, kích thước khối u: 41x42x50 mm. Đối với khối u kích thước lớn như thế này nếu điều trị phẫu thuật thì nguy cơ ảnh hưởng đến khả năng làm mẹ sẽ rất cao.
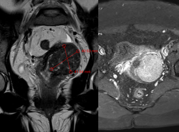
Hình ảnh chụp MRI khối u xơ tử cung lớn
Hình ảnh chụp MRI: khối u xơ tử cung lớn KT: 41x42x50 mm ở đoạn eo tử cung đè ép vào thân tử cung.
   Sau đó các bác sỹ khoa Phụ sản và Đơn nguyên DSA tư vấn cho người nhà và bệnh nhân, hội chẩn và quyết định điều trị khối u xơ tử cung bằng kỹ thuật can thiệp mạch (nút mạch).
2
 
Chị H được điều trị UXTC bằng kỹ thuật can thiệp mạch (nút mạch)
Chị H. được điều trị UXTC bằng kỹ thuật can thiệp mạch (nút mạch)  tại BV ĐK tỉnh Quảng Trị
   Quy trình thực hiện các Bác sỹ can thiệp mạch sẽ đưa một ống thông siêu nhỏ (Microctheter) chọn lọc vào mạch máu của khối u và sau đó bơm tắc mạch máu bằng vật liệu nút mạch sinh học, và trường hợp này khối UXTC được nút tắc mạch hoàn toàn.
   Đây là trường hợp thứ ba được thực hiện tại Đơn nguyên tim mạch can thiệp Bệnh viện Đa khoa tỉnh Quảng Trị và bước đầu đã có những thành công đáng kể, mở ra một hướng mới trong điều trị u xơ tử cung tại tỉnh Quảng Trị.
   Can thiệp mạch điều trị UXTC là kỹ thuật mới. Với kỹ thuật này điều trị UXTC không cần phẫu thuật hay can thiệp vào tử cung, do đó tử cung được bảo tồn, giữ nguyên cơ hội làm mẹ cho những phụ nữ trong độ tuổi sinh đẻ.
   U xơ tử cung là một bệnh phổ biến ở phụ nữ. Một số biến chứng của u xơ tử cung có thể ảnh hưởng sâu sắc đến chất lượng cuộc sống của phụ nữ. Đây là khối u lành tính ở cơ trơn của tử cung. Chúng có kích thước và số lượng khối u thay đổi ở mỗi bệnh nhân.
   U xơ ảnh hưởng đến khoảng 30% phụ nữ ở độ tuổi 35 và từ 20 đến 80% phụ nữ ở độ tuổi 50. Bệnh thường gặp ở những phụ nữ trong độ tuổi từ 16 đến 50 tuổi. Đây là thời kỳ sinh sản của nữ giới nên nguyên nhân gây bệnh thường được giải thích bằng sự gia tăng của nồng độ hormon estrogen trong cơ thể giới nữ. Các dấu hiệu thường gặp ở bệnh nhân u xơ tử cung là: Âm đạo ra máu bất thường. Triệu chứng thiếu máu: Bệnh nhân thường có da xanh xao và hay mệt mỏi. Khi thiếu máu nặng gây choáng váng và có thể ngất.Cảm giác khó chịu, đau âm ỉ ở vùng bụng dưới, đặc biệt là khi khối u có kích thước to.Khí hư loãng như nước.Đi tiểu thường xuyên.Đau khi quan hệ tình dục. Sờ thấy khối u ở hạ vị (vùng bụng dưới rốn). Ngoài ra còn có một số phụ nữ phát hiện u xơ tử cung sau nhiều năm không mang thai hoặc sẩy thai liên tiếp. Khi u xơ được phát hiện, nó có thể tiếp tục phát triển cho đến khi mãn kinh./.

Tác giả: Ths.Bsnt Phùng Hưng – Khoa CĐHA

Tổng số điểm của bài viết là: 0 trong 0 đánh giá

  Ý kiến bạn đọc

Những tin mới hơn

Những tin cũ hơn

Album ảnh bệnh viện
Bạn đã không sử dụng Site, Bấm vào đây để duy trì trạng thái đăng nhập. Thời gian chờ: 60 giây
Gửi phản hồi