tin tuc

Viêm ruột thừa cấp triệu chứng không điển hình và cách tiếp cận chẩn đoán

Thứ tư - 06/05/2020 23:53
Viêm ruột thừa cấp triệu chứng không điển hình và cách tiếp cận chẩn đoán
I. ĐẶT VẤN ĐỀ
     Viêm ruột thừa cấp (VRTC) là một cấp cứu bụng ngoại khoa hay gặp nhất. Có khoảng 250 000 trường hợp VRTC xảy ra hàng năm tại Mỹ. Nguy cơ trọn đời phải phẫu thuật cắt ruột thừa viêm là 12% ở nam và 23,1% ở nữ [1]. Tại Bệnh viện đa khoa tỉnh Quảng trị hầu như ngày nào cũng có bệnh nhân VRTC đến khám và điều trị
     Triệu chứng kinh điển của VRTC bao gồm: chán ăn, buồn nôn và nôn, sốt nhẹ, đau bụng bắt đầu ở vùng thượng vị hay quanh rốn sau khu trú ở hố chậu phải, toàn thân có hội chứng nhiễm trùng rõ. Tuy nhiên do vị trí rất đa dạng của ruột thừa trong ổ bụng cho nên biểu hiện lâm sàng của VRTC cũng rất đa dạng khiến cho việc chẩn đoán bệnh lý này đôi khi là một thách thức dẫn đến việc điều trị bị trì hoãn, làm tăng tỷ lệ biến chứng và tử vong [2].. Trong bài viết này chúng tôi giới thiệu một trường hợp VRTC triệu chứng không điển hình do ruột thừa nằm ở vị trí bất thường gây khó khăn cho chẩn đoán và vai trò của chẩn đoán hình ảnh trong hoàn cảnh này
II. GIỚI THIỆU CA BỆNH
     Bênh nhân nam, 44 tuổi đến khám tại phòng khám cấp cứu lúc 16h ngày 24/4/2020 với triệu chứng chủ yếu là đau bụng kèm chướng bụng và nôn khan nhiều lần. Khởi phát cách nhập viện 14 giờ. Đau bụng chủ yếu ở vùng thượng vị, đau âm ỉ không thành cơn, đau khiến cho bệnh nhân đi lại phải khom người. Đã được truyền dịch và tiêm thuốc không rõ loại ở tuyến dưới nhưng không đỡ nên xin chuyển Bệnh viện tỉnh.
     Tại phòng khám ghi nhận: bệnh nhân đau bụng thượng vị, nôn, không sốt, bụng mềm, chướng hơi, 2 hố chậu mềm. Xét nghiệm cận lâm sàng có Bạch cầu 14G/l, BCDNTT 89%, Crp=1, Amylase 38 U/l, SGOT 37 U/l, SGPT 40 U/l, Siêu âm và CT scan ổ bụng không phát hiện bất thường, Xquang bụng không hơi tự do ổ bụng . Bệnh  nhân được truyền dịch, chống co thắt, và chuyển khoa nội tống hợp lúc 18h ngày 24/4/2020 với chẩn đoán viêm dạ dày cấp.
     Tại khoa nội tổng hợp bênh nhân tiếp tục được điều trị theo hướng viêm dạ dày cấp với kháng sinh truyền tĩnh mạch, kháng tiết và băng niêm mạc dạ dày tuy nhiên tình trạng bệnh không cải thiện với đau tức liên tục vùng thượng vị , nôn khan, bụng chướng, ghi nhận hố chậu phải mềm. Tiêm Morphin bệnh nhân cũng không dịu đau. 6h ngày 25/4/2020 thăm khám ghi nhận: bệnh nhân không sốt, đau tức thượng vị và quanh rốn, hố chậu phải không đau, nôn khan nhiều, bụng chướng, chưa trung và đại tiện. Bệnh nhân được xử trí đặt thông dạ dày, truyền dịch, chống có thắt, thụt tháo phân. chụp Xquang bụng đứng thấy hình ảnh quai ruột non giữa ổ bụng chướng hơi lớn, không có liềm hơi dưới cơ hoành, không có mức hơi dịch điển hình (Hình 1). Siêu âm bụng lần 2: kết quả: gan nhiễm mỡ, dịch ổ bụng âm tính, làm lại xét nghiệm máu ghi nhận BC 15 G/l, BCĐNTT 83%, Crp 123. Bàn giao tua sau theo dõi tiếp
Xquang bung dung sang
Hình 1. Xquang bụng đứng sáng 25.4.2020
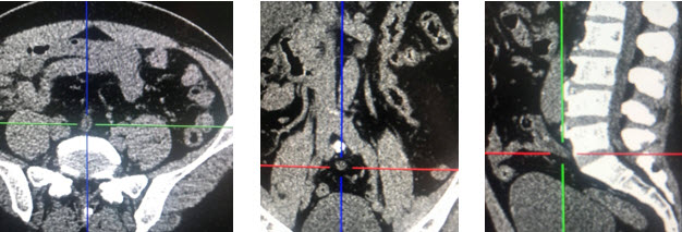
     8h18 ngày 25/4/2020 mời ngoại tổng hợp hội chẩn với chẩn đoán tắc ruột. Thăm khám ghi  nhận: đau tức thượng vị và quanh rốn, không sốt,  nôn khan, bụng chướng vừa, chưa trung, đại tiện, không có điểm đau khu trú, hố chậu phải không đau. hình ảnh Xquang không nghĩ đến tắc ruột- cảnh giác VRTC, hẹn khám lại sau 3 giờ. Sau 3 giờ thăm khám lại thấy bệnh nhân có phản ứng vùng hạ vị nghi ngờ 1 tình trạng VRTC tiểu khung. chỉ định siêu âm lại với chẩn đoán VRTC tuy nhiên kết quả siêu âm chỉ cho biết: các quai ruột ứ đọng dịch và phân, giảm nhu động, có ít dịch giữa các quai ruột, ruột thừa hạn chế khảo sát. Bệnh nhân được chỉ định mổ cấp cứu với chẩn đoán VRTC tiểu khung. Tuy nhiên để khẳng định thêm chẩn đoán chúng tôi hội chẩn qua PACS (một phương tiện đọc phim online mà bệnh viện chúng tôi đang sử dụng) hình ảnh CT ổ bụng không tiêm thuốc cản quang ngày 24/4/2020 phát hiện ruột thừa nằm giữa ổ bụng, lòng giảm tỷ trọng, đường kính 10mm, có sỏi phân. Kết luận: VRTC nằm giữa ổ bụng.
2020 05 07 10 52 30
Hình 2. Hình ảnh CT scan 24.4.2020
     Bệnh nhân được mổ cấp cứu nội soi.  Vào ổ phúc mạc ghi nhận: Manh tràng quặt vào giữa ổ bụng, ruột thừa viêm mưng mủ toàn bộ nằm giữa ổ bụng sau đó đoạn đầu chui xuống tiểu khung. Tất cả ruột thừa được các quai ruột non và đại tràng xích ma che phủ bên trên. Ruột thừa được cắt hoàn toàn qua nội soi. Bệnh nhân hậu phẫu ổn định và xuất viện sau 5 ngày.
hình ảnh trong mổ
Hình 3. Hình ảnh trong mổ
III. BÀN LUẬN
     Viêm ruột thừa cấp là một bệnh dễ chẩn đoán. Chỉ cần hỏi bệnh và thăm khám lâm sàng tỷ mỷ kết hợp với kết quả cận lâm sàng là đủ để chẩn đoán bệnh . Trong trường hợp chẩn đoán chưa rõ ràng thì theo dõi và thăm khám nhiều lần kết hợp với các phương tiện chẩn đoán hình ảnh có thể giúp chúng ta chẩn đoán xác định bệnh lý này.
     Vị trí của ruột thừa trong ổ bụng rất thay đổi cả trong mối liên hệ với manh tràng lẫn vị trí rất thay đổi của manh tràng trong ổ bụng khiến cho chẩn đoán viêm ruột thừa cấp trong các trường hợp này rất dễ nhầm lẫn với rất nhiều bệnh lý khác [3].
vị trí ruột thừa trong ổ bụng
Hình 4. Vị trí của ruột thừa trong ổ bụng
 * Nguồn: theo Nguồn Schwartz(2007) [4]
     Đau trong VRTC cũng rất điển hình, nó thường bao gồm 2 giai đoạn: ban đầu khi bị tắc nghẽn lòng ruột thừa căng lên kích thích các sợi thần kinh hướng tâm đi vào tủy sống T8-T10 gây triệu chứng đau nhẹ và mơ hồ ở thượng vị hoặc quanh rốn. Tuy nhiên kiểu đau này thường chỉ tồn tại khoảng 4-6 giờ cho đến khi quá trình viêm nhiễm kích thích phúc mạc lân cận ruột thừa gây đau khu trú [1],[4] và phản ứng (thường ở hố chậu phải- nơi ruột thừa cư trú). Trong trường hợp của chúng tôi ruột thừa nằm ở vị trí bất thường (giữa ổ bụng, đầu cắm xuống tiểu khung)  nên vị trí đau  cũng ở giữa ổ bụng. Ngoài ra nó được đại tràng xích ma và các quai ruột non che phủ nên triệu chứng đau khi khám bụng bị lu mờ và quả thực khám hố chậu phải bệnh nhân hoàn toàn không đau. Hơn thế nữa, do ruột thừa viêm nằm sau các quai ruột kích thích gây liệt ruột làm cho bụng càng ngày chướng hơn, giới hạn khả năng tiếp cận ruột thừa của siêu âm kết hợp với triệu chứng bí trung đại tiện và hình ảnh X quang bụng đứng có quai ruột chướng hơi lớn kiến các bác sỹ nội khoa nghi ngờ bệnh nhân bị tắc ruột và mời hội chẩn
     Câu hỏi đặt ra là làm thế nào có thể tiếp cận chẩn đoán trong các trường hợp như vậy? Trong thực tế lâm sàng siêu âm là phương tiện chẩn đoán hình ảnh đầu tiên được chỉ định trong các trường hợp nghi ngờ VRTC. Trong chẩn đoán VRTC siêu âm có độ nhạy 78-94% và độ đặc hiệu 81-94%. Hình ảnh VRTC trên siêu âm là ruột thừa có đường kính ≥ 6mm, đè không xẹp. Các dấu hiệu khác giúp chẩn đoán VRTC là bóng cản do sỏi phân, phản ứng viêm của lớp mỡ quanh ruột thừa hay áp xe quanh ruột thừa [1]. Trường hợp bệnh nhân của chúng tôi qua 3 lần siêu âm đều không khảo sát được ruột thừa có thể lý giải vì các lý do sau:
     -Thứ nhất là do ruột thừa không nằm ở hố chậu phải nên với việc tìm kiếm ở vị trí này sẽ không thấy ruột thừa.
     - Thứ hai là do ruột thừa bị che lấp bới các quai ruột chướng hơi sẽ gây hạn chế tầm nhìn của siêu âm .
     Trong trường hợp của chúng tôi, sử dụng siêu âm đã không chẩn đoán được VRTC.
     CT scan là một phương tiện chẩn đoán rất hiệu quả tất cả các giai đoạn của VRTC. Nó có độ nhạy 90-100% và độ đặc hiệu 91-99% trong chẩn đoán VRTC [1]. Nó cho hình ảnh khách quan, không phụ thuộc vào khả năng của người đọc như trong siêu âm, tất cả các bác sỹ chẩn đoán hình ảnh cũng như các phẫu thuật viên đều có thể phân tích hình ảnh trên phim và không hạn chế khảo sát bới hơi trong ruột. Trên CT scan ruột thừa bình thường cho hình ảnh cấu trúc hình ống nằm gần manh tràng, xẹp toàn bộ hoặc một phần chứa dịch hay hơi. Các dấu hiệu VRTC trên CT scan bao gồm:
       1. Ruột thừa kích thước lớn (đường kính > 6mm với phản ứng viêm xung quanh hay >8mm nếu không có dấu hiệu này),
        2.thành ruột thừa >2mm nhiều lớp- điều này có thể tạo nên dấu hiệu "bia bắn".
        3 sỏi phân can xi hóa có thể gặp trong 30% các trường hợp.
        4. các dấu hiệu viêm nhiễm quanh ruột thùa (mờ mạc treo vùng lân cận, dịch quanh ruột thừa)
       Trong trường hợp của chúng tôi manh tràng đi vào giữa ổ bụng khiến ruột thừa nằm giữa ổ bụng gây nên các triệu chứng không điển hình như đã mô tả. lần theo manh tràng chúng tôi bắt gặp cấu trúc hình ống đường kính 10mm, thành phù nề, có sỏi phân. Đây là các dấu hiệu có thể kết luận chẩn đoán VRTC. Đây là lợi ích vượt trội của CT so với siêu âm trong chẩn đoán các bệnh lý trong ổ bụng, đặc biệt là các bệnh lý ruột non và đại tràng. CT có thể giúp chúng ta tìm ra manh tràng và đại tràng lên bằng cách lần theo các quai ruột non. CT cũng có thể phân biệt ruột già và ruột non bằng cách chỉ ra các van conniventes hay haustrae. Trong trường hợp ruột quay bất toàn dẫn đến ruột thừa nằm ở vị trí bất thường, CT sẽ giúp ích cho chẩn đoán bằng cách chỉ ra mối quan hệ giữa động mạch và tĩnh mạch mạc treo tràng trên [3]. Như vậy CT là một phương tiện hữu hiệu để chẩn đoán VRTC khi ruột thừa ở các vị trí bất thường như trong trường hợp đảo ngược phủ tạng, ruột quay bất toàn hay manh tràng quá di động như trong trường hợp của chúng tôi.
4. KẾT LUẬN
     - VRTC không phải bao giờ cũng biểu hiện với các triệu chứng điển hình. Phải luôn nghi ngờ VRTC ở các bệnh nhân đau bụng, có hội chứng nhiễm trùng cho đến khi có đầy đủ bằng chứng để loại trừ nó
    - Siêu âm là phương tiện chẩn đoán hình ảnh đầu tay để chẩn đoán VRTC. Tuy nhiên khi không tìm thấy hình ảnh VRTC trên siêu âm thì CT là phương tiện hữu hiệu, nhất là trong các trường hợp ruột thừa nằm ở vị trí bất thường.
TÀI LIỆU THAM KHẢO
1. Cole M. A., Maldonado N. (2011), "Evidence-Based Management Of Suspected Appendicitis In The Emergency Department", Emergency Medicine Practice, 13(10), pp : 1-27.
2. Davarani S.S., Akhgar A. (2018), "Atypical Presentation of Acute Appendicitis: A 32-year-old Man with Gastroenteritis Symptoms; an Educational Case", Adv J Emerg Med, 2(2), pp:1-3
3. Toprak H, Bilgin M., Atay M., and Kocakoc E. (2012), "Diagnosis of Appendicitis in Patients with Abnormal Position of the Appendix due to Mobile Caecum", Hindawi Publishing Corporation, Case Reports in Surgery.
4. Schwartz (2007), “The appendix”, Principles of surgery, The McGraw-Hill Companies.

 

Tác giả: Phan Khánh Việt, Hoàng Minh Hưng, Lê Trung Hiếu

Tổng số điểm của bài viết là: 25 trong 7 đánh giá

Xếp hạng: 3.6 - 7 phiếu bầu

  Ý kiến bạn đọc

Những tin mới hơn

Những tin cũ hơn

Album ảnh bệnh viện
Bạn đã không sử dụng Site, Bấm vào đây để duy trì trạng thái đăng nhập. Thời gian chờ: 60 giây
Gửi phản hồi