tin tuc

Ung thư vú và những điều cần biết

Thứ tư - 23/10/2024 22:25
I. ĐỊNH NGHĨA
Ung thư vú hình thành từ các tế bào trong vú, thường là từ các ống dẫn sữa hoặc các tiểu thùy (tuyến tiết sữa) phát triển bất thường và nhân lên để tạo thành khối u.
Ung thư vú là nguyên nhân phổ biến nhất gây tử vong do ung thư ở phụ nữ và thường gặp nhất ở phụ nữ sau mãn kinh trên 50 tuổi, bệnh cũng xảy ra ở nam giới nhưng rất hiếm gặp, chiếm khoảng 1% tổng số trường hợp ung thư vú.
II. NGUYÊN NHÂN VÀ YẾU TỐ NGUY CƠ
Nguyên nhân chính xác gây ung thư vú hiện vẫn chưa được biết tới, nhưng một số yếu tố nguy cơ gây phát triển bệnh đã được xác định. Các yếu tố nguy cơ quan trọng nhất:
• Nữ giới
• Tuổi cao
• Yếu tố di truyền (tiền sử gia đình hoặc
đột biến ở một số gen nhất định)
• Phơi nhiễm với estrogen
• Phơi nhiễm với bức xạ ion hoá
• Có ít con
• Tiền sử phát hiện quá sản không điển hình
• Béo phì
• Uống rượu bia

 






 
III. TRIỆU CHỨNG
• Xuất hiện khối ở vú
• Thay đổi kích thước hoặc hình dạng của vú
• Vết lõm da vú hoặc dày mô vú
• Tụt núm vú
• Đỏ núm vú
• Tiết dịch từ núm vú
• Sưng hoặc u cục ở nách
• Đau hoặc khó chịu ở vú dai dẳng
• Đỏ da vú
• Dày da vú
 





Các triệu chứng này bạn có thể phát hiện thông qua việc tự khám vú ở nhà. Thời gian khám vú tốt nhất là sau 5-7 ngày sau sạch kinh. Bạn nên đến gặp bác sĩ nếu có bất kỳ triệu chứng nào nêu trên.
Hình 1: Những dấu hiệu nhận biết ung thư vú
Hình 1: Những dấu hiệu nhận biết ung thư vú
IV. CHẨN ĐOÁN
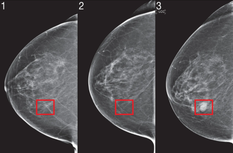
Hình 2: Xquang tuyến vú
Hình 2: Xquang tuyến vú
Chẩn đoán sơ bộ ban đầu cho ung thư vú bắt đầu bằng khám lâm sàng, chụp
X-quang tuyến vú và siêu âm. Trong một số trường hợp, chụp cộng hưởng từ (MRI) tuyến vú sẽ được thực hiện. Nếu phát hiện khối u, sinh thiết sẽ được tiến hành để đánh giá ung thư trước khi lên kế hoạch điều trị.
 
Ung thư vú được 'phân giai đoạn' tùy theo kích thước khối u, sự có mặt của các hạch bạch huyết và liệu tế bào ung thư đã lan ra ngoài tuyến vú và các hạch bạch huyết đến các bộ phận khác của cơ thể chưa, theo hệ thống TNM (T – khối u, N – hạch, M – di căn). Thông tin này được sử dụng để giúp quyết định phương pháp điều trị tốt nhất.
 
Sự hiện diện của các dấu ấn sinh học bao gồm các thụ thể nội tiết và một thụ thể gọi là HER2 cũng giúp xác định phương pháp điều trị nào được sử dụng.

V. ĐIỀU TRỊ
Điều trị ung thư vú phụ thuộc vào mức độ tiến triển của ung thư và thể bệnh ung thư vú, phát hiện sớm và điều trị tích cực theo phác đồ sẽ đem lại kết quả rất lâu dài.
Các phương pháp điều trị được sử dụng trong ung thư vú
  • Phẫu thuật
  • Xạ trị
  • Hóa trị
  • Nôi tiết
  • Liệu pháp nhắm trúng đích
  • Liệu pháp miễn dịch
Hiện nay, khoa Ung Bướu – Bệnh viện Đa khoa tỉnh Quảng Trị với đội ngũ bác sĩ giàu kinh nghiệm, tận tâm kèm theo sự đầu tư các trang thiết bị hiện đại sẵn sàng đồng hành cùng người bệnh chống lại căn bệnh ung thư vú.
Chúng tôi thực hiện tất cả các xét nghiệm nhằm tầm soát và chẩn đoán ung thư vú bao gồm: chụp X-quang tuyến vú, siêu âm vú, MRI tuyến vú, xét nghiệm sinh thiết giải phẫu bệnh nhằm xác định tính chất của các tế bào là lành tính hay ác tính, xét nghiệm đột biến gen.
Khoa Ung Bướu áp dụng mô hình điều trị cá thể hóa và đa mô thức cho từng bệnh nhân theo phác đồ Bộ Y tế và các hướng dẫn quốc tế. Các phương pháp điều trị cụ thể đang được áp dụng cụ thể tại khoa Ung Bướu như: phẫu thuật cắt vú triệt để cải biên, phẫu thuật cắt tuyến vú bảo tồn + tái tạo tuyến vú, phẫu thuật nạo vét hạch nách, phẫu thuật sinh thiết hạch cửa; xạ trị bổ trợ 3D hoặc IMRT sau phẫu thuật bằng máy xạ trị gia tốc tuyến tính; hóa trị; liệu pháp nội tiết,...

TÀI LIỆU THAM KHẢO
  1. European Society for Medical Oncology: Breast Cancer Guild for Patients.
  2. American Cancer Society: Key Statistics for Breast Cancer.
  3. Hướng dẫn chẩn đoán và điều trị Ung thư vú, Bộ Y tế, 2020.

Tác giả: BS Nguyễn Thị Ngân – Khoa Ung Bướu

Tổng số điểm của bài viết là: 9 trong 8 đánh giá

Xếp hạng: 1.1 - 8 phiếu bầu

  Ý kiến bạn đọc

Những tin mới hơn

Những tin cũ hơn

Album ảnh bệnh viện
Bạn đã không sử dụng Site, Bấm vào đây để duy trì trạng thái đăng nhập. Thời gian chờ: 60 giây
Gửi phản hồi