1. Nguồn bệnh: Ổ chứa chính là chó, mèo nhiễm giun Toxocara spp, đặc biệt là chó con là ổ chứa nguy cơ cao nhất cho người. Ngoài ra một số động vật khác (gà, vịt, trâu, bò, cừu, thỏ) có thể mang nguồn bệnh với tỷ lệ thấp hơn.
2. Phương thức lây truyền:
- Người ăn phải thực phẩm, nước uống bị nhiễm trứng giun đũa chó/mèo
- Người ăn phải phủ tạng hay thịt sống chưa chế biến chín của một số vật chủ chứa mầm bệnh như gà, vịt, trâu, bò, cừu, thỏ.
- Bệnh không lây truyền trực tiếp từ người sang người.3. Tính cảm nhiễm và miễn dịch
- Tất cả mọi người, cả hai giới đều có thể bị nhiễm và dễ bị tái nhiễm khi sống trong môi trường có bệnh lưu hành.
4. Triệu chứng lâm sàng
4.1 Thể thông thường: Các triệu chứng không quá rầm rộ, có thể gặp như
- Ngứa, nổi mẫn
- Đau đầu
- Đau bụng
- Ho
- Rối loạn giấc ngủ
- Thay đổi hành vi4.2 Thể ấu trùng di chuyển ở mắt: Thể mắt ít gặp, thường bị một bên mắt. Triệu chứng bao gồm
- Giảm thị lực
- U hạt: u hạt cực sau, u hạt ngoại vị
- Viêm nội nhãn
- Tổn thương võng mạc, viêm kết giác mạc, viêm màng bồ đào
- Mất thị lực hoàn toàn.4.3 Thể ấu trùng di chuyển nội tạng: Ấu trùng có thể di chuyển đến nhiều cơ quan khác nhau như tim, phổi và gan. Thể nội tạng gặp nhiều ở trẻ em dưới 7 tuổi. Các triệu chứng lâm sàng khá đa dạng phụ thuộc vào số lượng và vị trí cơ quan bị ký sinh, thường gặp là:
- Đau bụng mãn tính, gan to, tiêu chảy, nôn
- Hen phế quản: Khò khè, ho khan, khó thở
- Tức ngực
- Sốt, đau đầu, mệt mỏi, sút cân
- Mẫn ngứa, nổi ban.
4.4 Thể ấu trùng di chuyển hệ thần kinh: Đây là thể bệnh nguy hiểm so với các thể khác. Các triệu chứng không đặc hiệu, mức độ biểu hiện phụ thuộc vào vị trí tổn thương ở hệ thần kinh như: Sốt, đau đầu, co giật.
5. Cận lâm sàng
5.1 Xét nghiệm
- Phát hiện có kháng thể IgG kháng kháng nguyên của Toxocara.spp trong huyết thanh
- Công thức máu: Bạch cầu ái toan tăng >7%
- Xét nghiệm máu lắng tăng
- CRP: tăng
- IgE: tăng
- Sinh học phân tử: Phát hiện đoạn gen đặc hiệu của ấu trùng giun đũa chó mèo trong bệnh phẩm sinh thiết.
5.2 Chẩn đoán hình ảnh
- Xq phổi: Có hình ảnh tổn thương nhu mô phổi, các vết thâm nhiễm phổi.
- Chụp cắt lớp vi tính: Có hình ảnh thay đổi tỷ trọng tương ứng với vùng tổn thương
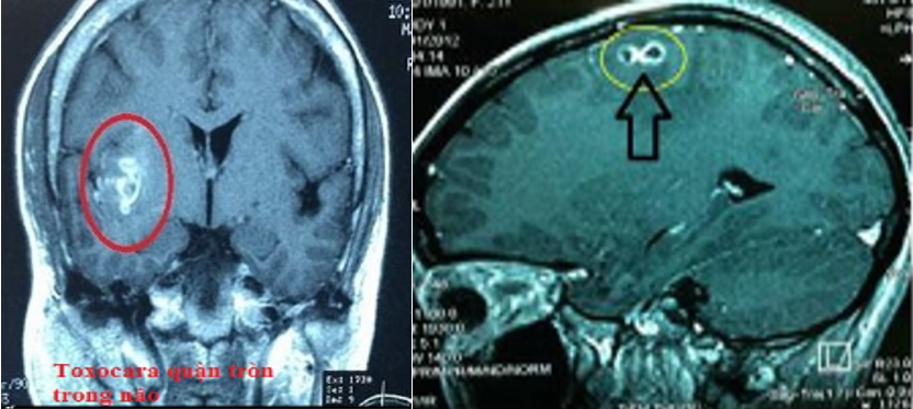
- Chụp MRI các cơ quan nghi tổn thương: phát hiện thay đổi tín hiệu tương ứng các vùng tổn thương.
- Siêu âm ổ bụng: Phát hiện tổn thương các tạng trong ổ bụng hoặc phần mềm dưới da.
- Soi đáy mắt: Dấu hiệu xơ võng mạc, vết chân vịt có thể thấy hình ảnh ấu trùng ở đáy mắt.
6. Chẩn đoán
6.1 Trường hợp nghi ngờ: Là trường hợp có tiền sử dịch tể tiếp xúc với chó/mèo hoặc các yếu tố nguy cơ và có các triệu chứng sau:
+ Ngứa, nổi mẫn
+ Đa đầu, đau bụng, khó tiêu
+ Đau nhức mỏi, tê bì
+ Sốt, thở khò khè
+ Có thể kèm theo một hoặc các triệu chứng sau: Gan to, viêm phổi, đau bụng mãn tính, rối loạn thần kinh khu trú, tổn thương ở mắt, giảm thị lực, tổn thương võng mạc.
6.2 Trường hợp bệnh xác định
Là trường hợp bệnh nghi ngờ và có một trong các xét nghiệm sau:
- Tìm thấy ấu trùng giun đũa chó mèo
- Phát hiện đoạn gen đặc hiệu của ấu trùng bằng sinh học phân tử.
- Xác định được kháng thể kháng giun đũa chó/mèo bằng ELISA
- Bạch cầu ái toan tăng hoặc có tổn thương nghi ngờ trên chẩn đoán hình ảnh.
6.3 Chẩn đoán phân biệt
- Viêm da cơ địa
- Viêm da tiếp xúc
- Bện ấu trùng di chuyển dưới da do ấu trùng giun móc/mô, giun lươn
- Sán lá gan lớn
- Ấu trùng sán lợn
- Nhiễm các loại giun tròn đường ruột khác
7. Điều trị: Nguyên tắc điều trị là điều trị thuốc đặc hiệu kết hợp với triệu chứng
Sử dụng một trong các thuốc theo thứ tự ưu tiên như sau:
7.1 Phác đồ 1: Albendazol Người lớn 800mg/ngày chia 2 lần ngày Trẻ em > 1 tuổi 10-15mg/kq/ngày (tối đa 800mg) chia 2 lần/ngày.
- Đối với thể thông thường mỗi đợt 14 ngày
-Thể nội tạng, mắt, thần kinh mỗi đợt 21 ngày
- Chống chỉ định của Albendazol: Người có tiền sử quá mẫn với benzimidazol, phụ nữ có thai hoặc cho con bú, trẻ em dưới 1 tuổi, người có tiền sử nhiễm độc tủy xương.
7.2 Phác đồ 2: Thiabendazol (viên nén 500mg): Liều dùng 2 lần/ngày x 7 ngày, theo cân nặng.
- Thận trọng: Người suy gan, suy thận. Phụ nữ có thai 3 tháng đầu và cho con bú, trẻ em dưới 1 tuổi. Không dùng thuốc khi vận hành máy móc, lái tàu, xe.
7.3 Phác đồ 3: Ivermectin (viên nén 3mg và 6mg): Liều dùng Người lớn và trẻ em ≥ 5 tuổi: 0.2mg/kgx1 liều/ngày 1-2 ngày
- Chống chỉ định: Phụ nữ có thai hoặc cho con bú. Trẻ em dưới 5 tuổi. Bệnh nhân bị viêm màng não. Bệnh nhân mẫn cảm với bất cứ thành phần nào của thuốc.
7.4 Theo dõi sau điều trị
Tổ chức điều trị cho bệnh nhân 3 đợt, mỗi đợt cách nhau 1 tháng. Sau mỗi đợt đánh giá lại các chỉ số: Triệu chứng lâm sàng, ELISA, CTM, chức năng gan thận, nếu cải thiện rõ có thể dừng điều trị. Nếu không thì tiếp tục các đợt 2,3 với liều lượng tương tự đợt 1. Sau 3 đợt điều trị nếu các triệu chứng vẫn không đỡ cần xem lại chẩn đoán, làm thêm hoặc làm lại các xét nghiệm để có hướng chẩn đoán và điều trị khác phù hợp hơn.
8. Phòng bệnh
- Tẩy giun định kỳ cho chó mèo
- Vệ sinh môi trường
- Xây dựng nếp sống vệ sinh cá nhân tốt: ăn chín uống sôi
- Tuyên truyền giáo dục nâng cao ý thức vệ sinh cá nhân và cộng đồng, bảo vệ môi trường không bị nhiễm phân chó mèo.
Bệnh giun đũa chó mèo là bệnh có thể phòng và điều trị được, càng sớm càng tốt. Địa chỉ tin cậy để quý khách có thể khám và điều trị tại Quảng Trị là Bệnh viện Đa khoa tỉnh Quảng Trị. Với đội ngũ y bác sĩ có năng lực và giàu kinh nghiệm, nhiệt tình, quý khách có thể hoàn toàn yên tâm khi chăm sóc sức khỏe tại đây.
Tài liệu tham khảo:
Quyết định v/v hướng dẫn chẩn đoán, điều trị, phòng bệnh ấu trùng giun đũa chó mèo số 1385/QĐ-BYT ngày 30 tháng 5 năm 2022.