tin tuc

Phẫu thuật cắt gan nội soi - Một bước tiến mới trong điều trị ung thư gan tại Bệnh viện đa khoa tỉnh Quảng Trị

Thứ hai - 22/01/2024 03:16
Theo Globocan năm 2020 ung thư gan là bệnh lý ác tính thường gặp nhất tại Việt Nam với tỉ lệ mắc và tỉ lệ tử vong hằng năm gần như tương đương nhau. Hiện nay, tại khoa Ung bướu - Bệnh viện đa khoa tỉnh Quảng Trị đã thực hiện được tất cả các kỹ thuật điều trị ung thư gan tùy theo giai đoạn bệnh như: Phẫu thuật cắt gan, điều trị đốt u gan bằng sóng cao tần (RFA), điều trị thuyên tắc động mạch gan (TACE), thuốc điều trị nhắm trúng đích….
Trong tất cả các phương pháp điều trị tiệt căn cho bệnh lý ung thư gan thì phẫu thuật là phương án được lựa chọn nhiều nhất và đem lại hiệu quả cao nhất.
Phẫu thuật cắt gan qua nội soi là phẫu thuật đòi hỏi trình độ chuyên môn cao của phẫu thuật viên cũng như sự phối hợp giữa bác sĩ phẫu thuật, gây mê và hồi sức sau mổ. Với việc triển khai thường quy tại Khoa Ung bướu, bệnh nhân tỉnh nhà ngày càng được hưởng lợi ích từ phương pháp điều trị này với giảm biến chứng sau phẫu thuật, tránh được sự đau đớn do vết mổ cũng như giảm thời gian nằm viện.

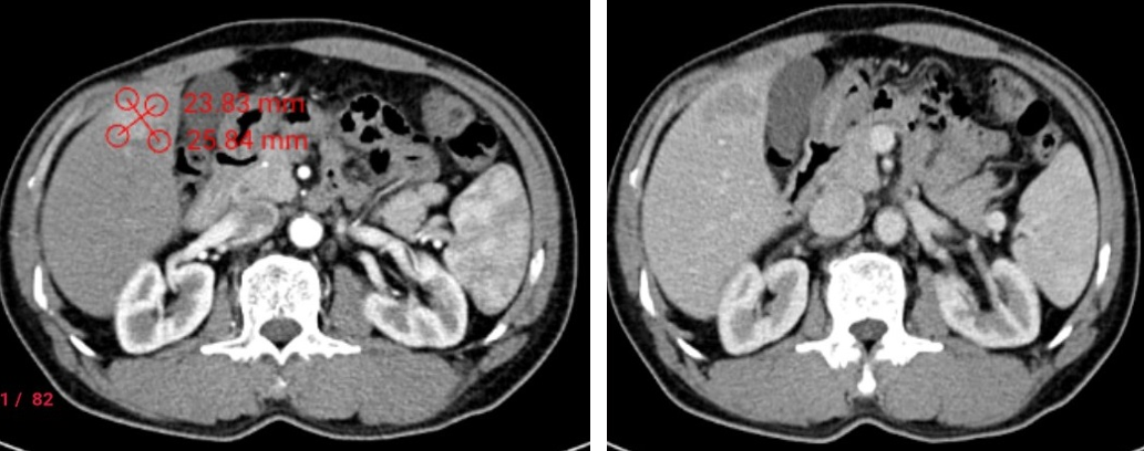
Trường hợp bệnh nhân nam 63 tuổi Ung thư gan hạ phân thùy V kích thước khoảng 30x25x23mm được phẫu thuật cắt gan hạ phân thùy V qua nội soi, sau phẫu thuật 03 ngày bệnh nhân có thể vận động đi lại, ăn uống bình thường.
Hình ảnh khối U kích thước khoảng 23x25mm ngấm thuốc mạnh thì động mạch, thải thuốc nhanh thì tĩnh mạch trên cắt lớp vi tính
Hình ảnh khối U kích thước khoảng 23x25mm ngấm thuốc mạnh thì động mạch, thải thuốc nhanh thì tĩnh mạch trên cắt lớp vi tính
Hình ảnh khối u gan sau khi phẫu thuật- Khối u gan HPT V kèm túi mật
Hình ảnh khối u gan sau khi phẫu thuật- Khối u gan HPT V kèm túi mật
Hình ảnh bệnh nhân ngày thứ 2 sau phẫu thuật cắt gan nội soi. Bệnh nhân có thể ăn được cháo, vận động nhẹ nhàng. Ngày thứ 3 hậu phẫu bệnh nhân có thể đi lại, tự chăn sóc bản thân./.

Tác giả: BSCK1. Lê Văn Chương - Khoa Ung bướu- Bệnh viện đa khoa Tỉnh

Tổng số điểm của bài viết là: 5 trong 5 đánh giá

Xếp hạng: 1 - 5 phiếu bầu

  Ý kiến bạn đọc

Album ảnh bệnh viện
Bạn đã không sử dụng Site, Bấm vào đây để duy trì trạng thái đăng nhập. Thời gian chờ: 60 giây
Gửi phản hồi