tin tuc

Phẫu thuật nội soi ổ bụng cắm lại niệu quản vào bàng quang

Thứ hai - 18/12/2023 22:05
Phẫu thuật cắm lại niệu quản vào bàng quang thường được thực hiện trong Nhi khoa, điều trị các bệnh lý bẩm sinh liên quan đến đoạn cuối niệu quản. Ở người lớn, phẫu thuật này ít được thực hiện hơn. Mục đích của phẫu thuật là giải quyết hết tắc nghẽn và tránh ngược dòng bàng quang – niệu quản. Nhìn chung phẫu thuật cắm lại niệu quản thường được chỉ định trong các trường hợp sau:
1. Tắc nghẽn niệu quản 1/3 dưới: do hai nhóm nguyên nhân:
* Bẩm sinh như hẹp niệu quản, niệu quản cự đại tắc nghẽn, niệu quản cắm lạc chỗ tắc nghẽn, nang niệu quản…
* Mắc phải do bệnh lý như lao niệu, hẹp do di chứng của sỏi… hoặc do chấn thương làm mất đoạn niệu quản cuối, điển hình như trường hợp tai biến – biến chứng trong phẫu thuật vùng chậu gây hẹp niệu quản. Đây là chỉ định chinh của phẫu thuật cắm lại niệu quản ở người lớn.
2. Ngược dòng bàng quang – niệu quản nguyên phát: gây nhiễm khuẩn đường tiết niệu tái phát nhiều lần, thận ứ nước, thận giảm chức năng.
3. Rò nước tiểu: do niệu quản cắm lạc chỗ vào âm đạo hoặc niệu đạo (ở nữ giới)…, hoặc do rò niệu quản – âm đạo sau mổ vùng chậu.
Có nhiều phương pháp cắm lại niệu quản :
1. Theo đường mổ ngoài bàng quang: điển hình là phẫu thuật Lich – Grégoir
2. Theo đường mổ trong bàng quang: như phẫu thuật Politano – Leadbetter, phẫu thuật Glenn – Anderson, Phẫu thuật Cohen
3. Theo đường mổ phối hợp cả trong và ngoài bàng quang: như Phẫu thuật Paquin, Phẫu thuật Le Duc nguyên thủy
Điểm lợi của phẫu thuật Lich – Grégoir là đường mổ nằm hoàn toàn ngoài BQ, vì vậy hậu phẫu không có tiểu máu và co thắt BQ, thực hiện nhanh, dễ làm và dễ huấn luyện. Trước đây, mổ mở cắm lại niệu quản đã là phương pháp điều trị chuẩn. Tuy nhiên, mổ mở vẫn luôn có những khuyết điểm cố hữu như đau nhiều trong thời gian hậu phẫu, thời gian nằm viện kéo dài, tính thẩm mỹ vết mổ không cao. Do vậy, phẫu thuật nội soi ngày càng được phát triển, nhằm mục đích khắc phục những khuyết điểm cố hữu này của mổ mở
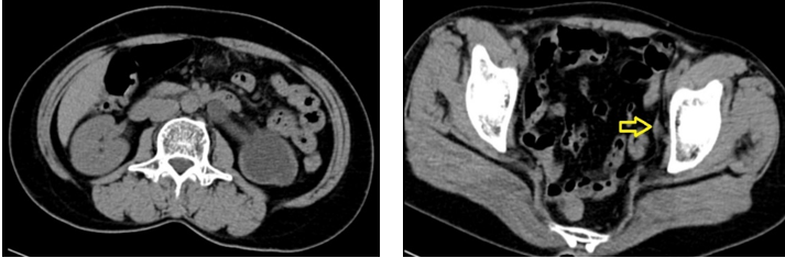
Vừa qua khoa Ngoại tổng hợp, Bệnh viện Đa khoa tỉnh Quảng Trị đã thực hiện thành công phẫu thuật nội soi ổ bụng cắm lại niệu quản cho một bệnh nhân nữ 55 tuổi. bệnh nhân này có tiền sử nội khoa bình thường, 3 năm trước được phẫu thuật cắt tử cung toàn phần đường bụng. gần đây thấy đau tức vùng hông trái, đi siêu âm phát hiện thận trái ứ nước độ 4 nên nhập viện. Thăm khám lúc vào viện thấy bệnh nhân đau tức vùng hông trái, thận trái không lớn , siêu âm thấy thận trái ứ nước độ 4 nhu mô thận mỏng, không thấy thấy sỏi cản quang niệu quản. Trên phim chụp hệ niệu không chuẩn bị không phát hiện sỏi cản quang hệ tiết niệu. Bệnh nhân sau đó được chụp niệu đồ tĩnh mạch thấy chức năng thận trái giảm mạnh. Do chưa tìm thấy nguyên nhân ứ nước, bệnh nhân được chỉ định chụp cắt lớp vi tính không thuốc (CT Scan), trên hình ảnh thấy thận trái không lớn, ứ nước độ IV, nhu mô thận mỏng, niệu quản giãn 9-10mm từ đoạn bụng đến đoạn chậu, rất hẹp ở đoạn tiểu khung, chẩn đoán cuối cùng là thận trái ứ nước độ IV do hẹp niệu quản đoạn tiểu khung.
Hình 1 : Thận trái ứ nước độ 4 và vị trí niệu quản hẹp (mũi tên vàng)
Hình 1 : Thận trái ứ nước độ 4 và vị trí niệu quản hẹp (mũi tên vàng)
Bệnh nhân được chỉ định nội soi nong niệu quản hẹp nhưng thất bại do niệu quản hẹp khít tại vị trí cách lỗ niệu quản khoảng 4cm.Sau đó Bệnh nhân được chỉ định mổ nội soi ổ bụng cắm lại niệu quản theo phương pháp Lich – Grégoir. Phẫu thuật được thực hiện với 3 trocar (1 trocar 10mm ở rốn và 2 trocar 5mm ở 2 hố chậu) . Chỗ hẹp tại vị trí gần sát bàng quang do xơ dính của lần phẫu thuật trước.
Hình 2. Cắt mở và tách cơ bàng quang đến lớp niêm mạc ,Khâu niệu quản vào bàng quang và khâu đóng cơ bàng quang
Cắt niệu quản trên chỗ hẹp, giải phóng 2 mặt bên và mặt trước bàng quang để tạo biên độ di động bàng quang lớn hơn khi cắm niệu quản. Dùng móc đốt đánh dấu và mở phúc mạc mặt trước bên, sau đó cắt các lớp cơ bàng quang  dài khoảng 3 – 4 cm (khoảng 5 lần chiều dài đường kính ngang đoạn cuối niệu quản), bộc lộ niêm mạc bàng quang . mở niêm mạc bàng quang , khâu niêm mạc bàng quang với miệng niệu quản 1 nửa chu vi, đặt JJ sau đó khâu kín nửa còn lại. Đóng mép cơ bàng quang  phủ trên đầu dưới niệu quản bằng 3 – 4 mũi khâu rời chỉ vicryl 4.0. Chú ý tránh lấy mép cơ bàng quang  quá gần có thể làm bóp nghẹt niệu quản gây hẹp sau này, đặc biệt mũi khâu cao trên cùng. Hút hết dịch ổ bụng, đặt dẫn lưu Douglas. Bệnh nhân hậu phẫu ổn định, thông tiểu được rút vào ngày thứ 5, dẫn lưu được rút vào ngày hậu phẫu thứ 6, xuất viện vào ngày hậu phẫu thứ 7.
Phẫu thuật nội soi ổ bụng cắm lại niệu quản vào bàng quang ở người lớn chủ yếu để giải quyết tình trạng chít hẹp niệu quản 1/3 dưới do nhiều nguyên nhân mà một nguyên nhân hay gặp là thương tổn niệu quản sau phẫu thuật sản phụ khoa. Nó có nhiều lợi điểm  so với phẫu thuật mở như: thời gian nằm viện ngắn, tỷ lệ đau sau mổ ít, thời gian hồi phục sau mổ nhanh, tính thẩm mỹ vết mổ cao… Góp phần nâng cao kết quả điều trị cho nhóm bệnh nhân này.
TÀI LIỆU THAM KHẢO
1.Nguyễn Đạo Thuấn (2017),  Phẫu thuật nội soi ổ bụng cắm lại niệu quản vào bàng quang, Luận án tiến sĩ Y học. Đại học Y Dược TP. Hồ Chí Minh.
2.Aaron P.B., Jeffrey M.S., Nathan R.S., Lars J.C. (2012). “Single-Center Experience with Pediatric Laparoscopic Extravesical Reimplantation: Safe and Effective in Simple and Complex Anatomy”. J. Laparoendoscopic & Advanced Surgical Techniques. Vol 22 (1), pp. 102-110
3. Alexandre P., Wilson R.M., David S. (2013). “Laparoscopic Ureteroneocystostomy for Ureteral Injuries After Hysterectomy”. J Soci Lap Surg. Vol. 17, pp. 121-125
4. Dewan P.A. (2000). “Ureteric reimplantation: a history of the development of surgical techniques”. BJU Int. Vol. 85, pp. 1000-1006.

Tác giả: Phan Khánh Việt, Lê Trung Hiếu, Ngô Quốc Thắng

Tổng số điểm của bài viết là: 9 trong 5 đánh giá

Xếp hạng: 1.8 - 5 phiếu bầu

  Ý kiến bạn đọc

Album ảnh bệnh viện
Bạn đã không sử dụng Site, Bấm vào đây để duy trì trạng thái đăng nhập. Thời gian chờ: 60 giây
Gửi phản hồi