tin tuc

Vai trò của chẩn đoán hình ảnh trong tầm soát ung thư vú

Thứ hai - 28/10/2024 03:37
Ngày nay, với sự phát triển của các kỹ thuật hiện đại, biện pháp sàng lọc và phát hiện sớm bệnh ung thư vú giúp cải thiện tỷ lệ chữa khỏi cho bệnh nhân ung thư vú. Bệnh nhân ung thư vú khi phát hiện ở giai đoạn 1 và được điều trị tích cực có 80 - 90% cơ hội sống trên 5 năm. Vì vậy, việc tầm soát, sàng lọc ung thư vú có ý nghĩa vô cùng quan trọng trong việc phát hiện bệnh sớm và nâng cao hiệu quả phòng ngừa, điều trị bệnh.
Các phương pháp thường được áp dụng trong chương trình tầm soát ung thư vú là khám lâm sàng tuyến vú (thực hiện hằng năm cho phụ nữ trên 40 tuổi) hoặc tự khám vú ở nhà. Bên cạnh đó, phụ nữ cũng được khuyên nên thực hiện chẩn đoán hình ảnh trong bệnh lý ung thư vú. Các phương pháp chẩn đoán hình ảnh thường được áp dụng gồm chụp Mammography (chụp Xquang vú), siêu âm, và chụp cộng hưởng từ (MRI).
Hình ảnh ung thư vú (video)
1. Chụp Mammography (chụp Xquang vú)
Mammography là phương pháp chụp X-quang đặc biệt, sử dụng tia X cường độ thấp chiếu vào các mô tuyến vú để thu lại hình ảnh tại tuyến vú. Qua hình ảnh thu được, bác sĩ có thể phát hiện các bất thường và khối u ở giai đoạn sớm ngay cả khi bệnh nhân chưa tự sờ thấy. Do đó, chụp nhũ ảnh được áp dụng rộng rãi để tầm soát với các trường hợp không có biểu hiện lâm sàng và giúp chẩn đoán với các trường hợp có các triệu trứng bất thường như sờ thấy khối u, chảy dịch núm vú, co kéo, tụt núm vú.
Kỹ thuật viên mà phần lớn là nữ giới sẽ là người trực tiếp tiến hành chụp nhũ ảnh cho bệnh nhân. Bác sĩ chuyên khoa sẽ phân tích hình ảnh thu được và đưa ra chẩn đoán. Khi chụp, bệnh nhân ở tư thế đứng, tuyến vú được đặt giữa tấm ép và bộ phận ghi nhận hình ảnh. Sau đó, vú sẽ được nén ở giữa một cách nhẹ nhàng để làm mô tuyến vú được dàn đều. Để có được chất lượng hình ảnh tốt nhất thì chụp nhũ ảnh nên được thực hiện vào thời điểm ở tuần lễ thứ 2 của chu kỳ kinh nguyệt vì lúc này mô vú trở nên mềm hơn. Tuyến vú sẽ được khảo sát ở các tư thế khác nhau để không bỏ sót tổn thương. Chụp nhũ ảnh cần thực hiện ở cả hai bên vú.
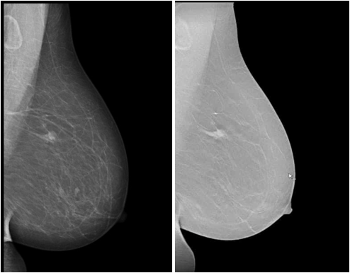
Hình ảnh chụp Mammography tuyến vú
Hình ảnh chụp Mammography tuyến vú
2. Siêu âm
Siêu âm vú là một phương pháp chẩn đoán hình ảnh ung thư vú, thông qua siêu âm bác sỹ có thể đánh giá cấu trúc bên trong tuyến vú từ đó tìm ra các bất thường như khối u, các nang, giãn ống tuyến, các ổ áp xe vú…. Ngoài ra, siêu âm vú còn hướng dẫn thực hiện các thủ thuật xâm lấn như: Chọc hút nang, chọc hút sinh thiết... giúp chẩn đoán và điều trị các bệnh lý tuyến vú.
Siêu âm chẩn đoán bệnh lý tuyến vú có độ chính xác cao, có thể chẩn đoán được những tổn thương nhỏ có đường kính dưới 5mm.
Ưu thế của siêu âm so với chụp Mammography vú là tránh cho bệnh nhân tiếp xúc với tia X, có thể chẩn đoán cho phụ nữ đang mang thai, bệnh nhân nhạy cảm với tia X, trẻ em ở tuổi dậy thì, người bệnh có tuyến vú to, dày (chụp Mammography không xác định rõ hình ảnh tổn thương). Thêm vào đó, siêu âm còn giúp bệnh nhân cảm thấy dễ chịu hơn do không phải chịu sức ép vào vú khi chụp.
Các loại máy siêu âm hiện nay thường tích hợp nhiều công nghệ hiện đại, chi phí thực hiện chỉ định này khá hợp lý, bởi vậy đây cũng là một trong những phương pháp chẩn đoán hình ảnh phổ biến, có giá trị trong phát hiện ung thư vú sớm.
3. Chụp cộng hưởng từ (MRI)
Chụp cộng hưởng từ cũng là kỹ thuật chẩn đoán hình ảnh hiện đại giúp phát hiện ung thư và một số bất thường khác ở tuyến vú có độ chính xác cao.Từ trường, sóng vô tuyến và máy tính tiên tiến được sử dụng để tạo ra hình ảnh chi tiết, rõ nét về vú mà không cần sử dụng tia X. Hình ảnh sẽ được hiển thị trên máy tính để bác sĩ đưa ra kết luận sau khi thăm khám.
Kỹ thuật này được sử dụng nhằm mục đích:
• Sàng lọc phát hiện sớm ung thư vú.
• Bổ sung cho X-quang và siêu âm khi phát hiện những tổn thương khó nhận định. Đặc biệt trong các trường hợp nhu mô tuyến vú dày, bệnh nhân có túi độn ngực thì chụp nhũ ảnh và siêu âm sẽ kém hiệu quả hơn.
• Đánh giá giai đoạn của ung thư vú, theo dõi đáp ứng sau điều trị. MRI là cách chính xác nhất để xác định kích thước của khối u và liệu có các khối u khác xuất hiện ở cùng vú đó hay vú còn lại hay không. Thông tin này có thể ảnh hưởng đến loại phẫu thuật cần thiết.MRI được thực hiện vào giữa quá trình điều trị bằng thuốc có thể giúp xác định xem thuốc có hiệu quả hay không. Đánh giá bệnh còn sót lại sau phẫu thuật và kiểm tra xem khối u có tái phát ở vú hay không. MRI có khả năng hiển thị những phát hiện đáng ngờ trong mô sẹo tốt hơn so với chụp nhũ ảnh.
4. Đối tượng nào nên tầm soát ung thư vú bằng chẩn đoán hỉnh ảnh?
- Phụ nữ trong độ tuổi 20 - 30: Nên bắt đầu tầm soát ung thư vú bằng cách tự khám, khám chuyên khoa 3 năm/lần và đến 40 tuổi nên khám chuyên khoa 1 lần/năm;
- Phụ nữ 40 tuổi trở lên: Nên tầm soát ung thư tuyến vú bằng cách siêu âm tuyến vú hoặc chụp Mammography 1 lần/năm;
- Phụ nữ có nguy cơ cao mắc ung thư vú nên siêu âm, chụp X-quang tuyến vú và chụp cộng hưởng từ 1 lần/năm. Yếu tố nguy cơ cao gồm: Tiền sử gia đình có người mắc ung thư vú, có kinh nguyệt sớm (trước năm 12 tuổi), mãn kinh muộn (sau 55 tuổi), thường xuyên sử dụng thuốc tránh thai hoặc dùng Estrogen thay thế, không có con hoặc sinh con đầu lòng sau 30 tuổi, có chế độ ăn uống nhiều mỡ động vật, có thói quen hút thuốc lá, uống rượu bia...;
- Chụp X-quang vú và siêu âm vú ngay khi có triệu chứng bất thường ở vú như sờ thấy khối rắn, co kéo da hay núm vú, tiết dịch ở núm vú, màu da vú thay đổi...
Tại Bệnh viện đa khoa tỉnh Quảng Trị, với đội ngũ y bác sỹ trình độ chuyên môn cao, hệ thống trang thiết bị hiện đại như máy MRI 1.5T, máy siêu âm vú, Xquang vú và sinh thiết vú giúp chẩn đoán chính xác tình trạng và giai đoạn bệnh, hỗ trợ tích cực cho cho quá trình điều trị. Bên cạnh hiện sàng lọc bằng chẩn đoán hình ảnh, Bệnh viện còn triển khai các xét nghiệm tầm soát ung thư vú CA 15-3, định lượng HE4, xét nghiệm giải trình tự gen ung thư vú (BRCA, HER, PIK3CA) giúp phát hiện sớm các yếu tố nguy cơ từ đó đưa ra phương pháp điều trị tối ưu kéo dài sự sống người bệnh. Bệnh viện đa khoa tỉnh Quảng Trị chính là địa chỉ tin cậy trong tầm soát ung thư mà nhiều người dân tin chọn./.

Tác giả: BsCKII. Phùng Hưng – Khoa CĐHA

Tổng số điểm của bài viết là: 1 trong 1 đánh giá

Xếp hạng: 1 - 1 phiếu bầu

  Ý kiến bạn đọc

Những tin mới hơn

Những tin cũ hơn

Album ảnh bệnh viện
Bạn đã không sử dụng Site, Bấm vào đây để duy trì trạng thái đăng nhập. Thời gian chờ: 60 giây
Gửi phản hồi