tin tuc

Chẩn đoán sớm vỡ đại tràng xích ma dưới thanh mạc do chấn thương bụng kín

Thứ năm - 27/05/2021 20:07
Chẩn đoán sớm vỡ đại tràng xích ma dưới thanh mạc do chấn thương bụng kín
I. Đặt vấn đề
          Tổn thương đại tràng thường xảy ra trong vết thương thấu bụng, trong chấn thương bụng kín nó thường ít xảy ra và được báo cáo với tỷ lệ khoảng 1,1%  [1] .Tổn thương đại tràng đơn thuần cũng hiếm khi xảy ra. Nó thường đi kèm với các tổn thương khác trong ổ phúc mạc như vỡ gan, lách, tụy hay ruột non [1]
          Chẩn đoán xác định vỡ đại tràng trước phẫu thuật tương đối khó khăn. Chúng thường được chỉ định mổ với chẩn đoán vỡ tạng rỗng khi phát hiện hơi tự do trong ổ phúc mạc bằng các phương tiện chẩn đoán hình ảnh như siêu âm, X quang bụng đứng và đặc biệt là CT scanner ổ phúc mạc.
          Việc chẩn đoán xác định và mổ sớm các trường hợp vỡ đại tràng sau chấn thương bụng kín nói riêng và vỡ đại tràng nói chung có ý nghĩa vô cùng quan trọng. Nó giúp giảm thiểu đáng kể tỷ lệ biến chứng và tử vong có thể xảy ra trong giai đoạn hậu phẫu. Theo Fakhry SM (2000) và cs [2], tỷ lệ này cao hơn một cách rõ rệt nếu thời gian chẩn đoán xác định kéo dài trên 24 giờ. Trong bài báo này chúng tôi báo cáo một trường hợp vỡ đại tràng xích ma dưới thanh mạc, với các biểu hiện lâm sàng và xét nghiệm “cận lâm sàng thông thường” rất nghèo nàn, được chẩn đoán sớm nhờ thăm khám lâm sàng kỹ càng và các dấu hiệu gợi ý rất giá trị trên phim cắt lớp vi tính ổ phúc mạc
II. Báo cáo ca bệnh
          Bệnh nhân nam,54 tuổi nhập viện vì bị một cây gỗ đập vào vùng bụng dưới rốn cách nhập viện 5 giờ. Bệnh nhân đau nhiều vùng hố chậu trái, không sốt, không buồn nôn hay nôn mửa. Khám lâm sàng thấy bụng mềm, không có vết bầm tím trên thành bụng, hố chậu phải mềm hoàn toàn, ấn đau 1 vùng khoảng 10× 10cm vùng hố chậu trái, phản ứng thành bụng (±), tiểu tự chủ vàng trong. Xét nghiệm cận lâm sàng bình thường ngoại trừ bạch cầu tăng nhẹ 10.77 G/L neurophile  83%. X quang bụng đứng không có liềm hơi dưới cơ hoành (Hình 1), không có mức hơi dịch. Siêu âm bụng không có hơi tự do, không có dịch ổ phúc mạc.    
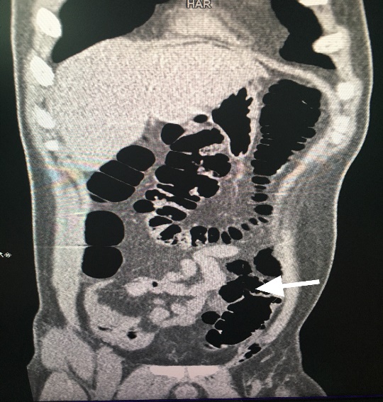
          Bệnh nhân được theo dõi thêm tình trạng bụng. Sau 1 giờ 15 phút khám lại thấy tình trạng đau bụng của bệnh nhân vẫn liên tục, không giảm nhưng cũng không lan rộng ra các vùng khác, đau cũng chỉ giới hạn 1 vùng như lần thăm khám trước. Do nghi ngờ có vỡ tạng rỗng nên bệnh nhân được chỉ định chụp CT scanner để tìm dấu hiệu hơi tự do ổ phúc mạc. Kết quả phim CT scanner không phát hiện hơi tự do ổ phúc mạc, tuy nhiên có hình ảnh thâm nhiễm viêm kèm bóng hơi cạnh đại tràng sigma, ít dịch vùng hạ vị (Hình 2).
Hình 1. X quang bụng khi vào viện không có liềm
hơi dưới cơ hoành
 Hình 2. thâm nhiễm viêm kèm bóng hơi cạnh
đại tràng sigma
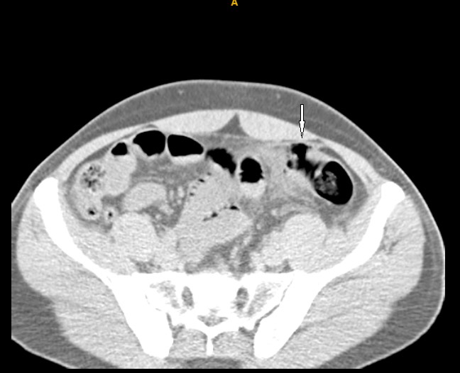
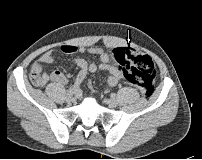
          Với hình ảnh này chúng tôi nghĩ đến 2 khả năng: viêm túi thừa đại tràng xích ma hoặc vỡ đại tràng xích ma dưới thanh mạc. Tuy nhiên đau khởi phát sau một chấn thương bụng kín nên khả năng vỡ đại tràng dưới thanh mạc được ưu tiên và tìm cách để xác minh. Bênh nhân được đặt thông hậu môn và bơm khoảng 500 ml khí sau đó kẹp thông và chụp lại phim CT scanner. Kết quả phim CT scanner lần này bóng hơi cạnh đại tràng sigma trên phim trước to ra kèm có hơi tự do ổ phúc mạc (Hình 3 và 4). Chẩn đoán vỡ đại tràng sigma được xác định và bệnh nhân được mổ cấp cứu. Trong mổ phát hiện đai tràng sigma vỡ dưới thanh mạc ở bờ tự do, kích thước khoảng 1 cm, bờ lỗ vỡ bình thường, không có dấu hiệu của túi thừa đại tràng. ổ bụng sạch, có ít dịch xuất tiết (Hình 5). Lỗ vỡ được đóng ngay thì đầu bằng vicril 2.0 hai lớp khâu vắt. Quá trình hậu phẫu bình thường, bệnh nhân được xuất viện sau 7 ngày, không có biến chứng sau mổ .
Hình 3
 Hình 4
         Bóng hơi cạnh đại tràng to ra và chỗ vỡ đại tràng sau bơm hơi        
III. Bàn luận
          Một vài cơ chế gây tổn thương đại tràng đã được đưa ra trong chấn thương bụng kín [1]. Chèn ép quai đại tràng giữa 2 vật cứng như dây an toàn ở phía trước và cột sống hay khung chậu ở phía sau là cơ chế được chấp nhận rộng rãi nhất. sang chấn này có thể gây nên các tổn thương như: gây rách thành ruột, tụ máu trong mạc treo hay trong lớp cơ thành ruột, đứt đôi ruột, mất mạch khu trú 1 vùng ruột và đụng dập toàn bộ thành ruột. Thiếu máu nuôi tại những vùng đụng dập có thể dẫn đến thủng ruột xảy ra muộn. Giảm tốc đột ngột là cơ chế chấp nhận thứ 2. sang chấn này tạo nên 1 lực xé rách tại các điểm tiếp nối giữa phần cố định và phần di động của ruột như dây chằng treitz, 2 đầu đại tràng sigma, chỗ nối hồi tràng với manh tràng. Cơ chế thứ 3 là tổn thương vỡ nổ thường xảy ra với 1 quai đóng của đại tràng khi bị chấn thương. Vỡ ruột xảy ra khi áp lực trong lòng ruột vượt quá sức căng thành ruột. Có lẽ tổn thương trong trường hợp của chúng tôi xảy ra theo cơ chế này. Tuy nhiên áp lực trong lòng ruột chưa đủ để vỡ toàn bộ thành đại tràng mà chỉ vỡ lớp niêm mạc và lớp cơ đại tràng, dẫn đến các triệu chứng lâm sàng mơ hồ và khó chẩn đoán bệnh.
Hình 5. Hình ảnh trong mổ
          Hiện nay chẩn đoán xác định vỡ đại tràng do chấn thương bụng trước mổ vẫn là một vấn đề khó khăn. Nhiều tác giả nhấn mạnh việc theo dõi và khám lâm sàng nhiều lần để chẩn đoán vỡ đại tràng do chấn thương bụng kín trong vòng 6 giờ đầu. Trong giai đoạn này thường có các triệu chứng kích thích phúc mạc. Co cứng, phản ứng thành bụng, bụng chướng và dấu đụng dập ở thành bụng là các dấu hiệu có giá trị khi thăm khám lâm sàng [1]. Tuy nhiên khi không phát hiện các triệu chứng này thì cũng không thể loại trừ các tổn thương trong ổ bụng.
          Bạch cầu tăng có giá trị gợi ý khi kết hợp với các dấu hiệu phát hiện dược khi thăm khám lâm sàng và kết quả của các phương tiện chẩn đoán khác [1].
          X quang bụng không chuẩn bị ít có giá trị trong tình huống này vì đa số cho kết quả bình thường. Theo R. Sikka  và cs [6] , tỷ lệ thấy hơi tự do trong ổ phúc mạc trên phim bụng không chuẩn bị tu thế đứng chỉ khoảng 8%, hơn thế nữa trong tình trạng đa chấn thương thì khó khó thể chụp phim này ở tư thế đứng (chỉ có thể chụp ở tư thế nằm), điều này khiến cho khả năng phát hiện hơi tự do trong ổ phúc mạc trên phim bụng càng thấp. Ngoài ra khi có hình ảnh nghi ngờ hơi tự do ổ phúc mạc thì hình ảnh giả hơi tự do ổ phúc mạc cũng là vấn đề cần quan tâm. Nguyên nhân dẫn đến hình ảnh giả này có thể là do [4]:
          + Bóng hơi tình cờ của tạng rỗng hay tạng rỗng dãn quá mức nằm ngay dưới cơ hoành
          + Cơ hoành có hình dáng uốn lượn khiến cho đáy phổi có vẻ nằm dưới cơ hoành
          + Xẹp đáy phổi cho hình ảnh giả hơi tự do dưới cơ hoành
          + Lớp mỡ ngoài phúc mạc, dưới cơ hoành
          + Thay đổi vị trí của đại tràng góc gan lên nằm giữa thùy phải của gan và cơ hoành…những vấn đề trên khiến X quang bụng đứng ít có giá trị trong phát hiện vỡ tạng rỗng trong chấn thương bụng kín. Độ đặc hiệu của Xquang bụng không chuẩn bị trong chẩn đoán hơi tự do ổ phúc mạc dao động từ 53%-89,3% [7].
          Siêu âm hiện nay được sử dụng rộng rãi trong khảo sát chấn thương bụng kín. Người ta khẳng định rằng, siêu âm ưu việt hơn chụp Xquang ngực thẳng đứng trong chẩn đoán hơi tự do trong ổ phúc mạc và hơi tự do trong ổ phúc mạc với 1 lượng nhỏ khoảng 2 ml là có thể có thể phát hiện bởi siêu âm [3]. Tuy nhiên, việc phát hiện nó rất khó ngay cả đối với một bác sỹ siêu âm giàu kinh nghiệm. Điều khó khăn là phân biệt hơi tự do ổ phúc mạc với hơi trong lòng ruột.  Hình ảnh hơi tự do trong ổ phúc mạc trên siêu âm được tạo ra do sự tán xạ của sóng âm tại bề mặt giao thoa giữa mô mềm và khí cùng với sự phản âm của các chùm sóng âm giữa đầu dò và khí. Hình ảnh hơi tự do trong ổ phúc mạc trên siêu âm là viền tăng hồi âm của lá phúc mạc kèm bóng lưng dạng đa âm phản hồi với hình ảnh đuôi sao chổi đặc trưng. Hình ảnh này có thể thay đổi theo tư thể của bệnh nhân. Moriwaki Y. và cs nghiên cứu trên 484 bệnh nhân chấn thương bụng kín nhận thấy siêu âm có độ nhạy 85,7% và độ đặc hiệu 99,6% trong chẩn đoán vỡ tạng rỗng [3].
          CT scanner có lẽ là phương tiện chẩn đoán hữu hiệu nhất trong việc tìm hơi tự do trong ổ bụng để xác minh có tổn thương tạng rỗng sau chấn thương  với độ nhạy và độ đặc hiệu dao động từ 80-100% [7]. Nó cũng có thể phát hiện chính xác vị trí thủng của đường tiêu hóa. Độ chính xác của CT scanner trong việc xác định vị trí thủng dao động từ 70-90% [5].
          Trong trường hợp của chúng tôi, đại tràng sigma chỉ vỡ lớp niêm mạc và cơ. Phân và hơi thoát khỏi lòng ruột bị phúc mạc tạng giữ lại, nó làm căng và kích thích phúc mạc tạng gây đau bụng liên tục. Tuy nhiên đau ở đây chỉ khu trú một vùng bụng, không lan rộng giữa 2 lần khám bệnh. Hơi và phân khu trú tại chỗ dưới thanh mạc nên các phương tiện chẩn đoán hình ảnh như x quang bụng đứng, siêu âm hay thậm chí là CT scanner để tìm hơi tự do ổ phúc mạc đều bó tay. Với triệu chứng đau liên tục, dai dẳng, không đáp ứng với các thuốc giảm đau thông thường nhưng cũng không lan rộng sau các lần khám kèm theo dấu hiệu bạch cầu máu tăng nhẹ khiến chúng tôi không thể loại trừ khả năng bệnh nhân bị vỡ tạng rỗng sau chấn thương. May mắn thay trên phim CT scanner chúng tôi thấy có hình ảnh thâm nhiễm viêm kèm bóng hơi  khu trú cạnh đại tràng sigma. Trong hoàn cảnh chấn thương bụng kín thì khả năng vỡ đại tràng dưới thanh mạc là rất lớn. Nếu không được can thiệp thì theo tiến triển của bệnh lớp thanh mạc này sẽ hoại tử theo thời gian và thủng gây viêm phúc mạc làm tăng tỷ lệ biến chứng và tử vong có thể xảy ra trong thời kỳ hạu phẫu.  Chính vì vậy phải nhanh chóng tìm cách làm rõ chẩn đoán. Chúng tôi đã chọn cách bơm hơi đại tràng rồi chụp CT scanner lại để tìm dấu hiệu hơi tự do trong ổ phúc mạc. Quả thực sau khi bơm 500 ml hơi qua thông hậu môn rồi chụp CT scanner lại chúng tôi đã tìm được hơi tự do ổ phúc mạc, bóng hơi cạnh đại tràng sigma tăng lên và thậm chí thấy cả chỗ vỡ trên thành đại tràng.
          Bệnh nhân nhanh chóng được chuyển mổ cấp cứu. Lỗ vỡ đại tràng là nhỏ, phát hiện sớm trước 8 giờ, ổ bụng sạch, nên khâu đai tràng thì đầu là giải pháp tối ưu
IV, Kết luận
          CT scanner là một phương tiện cực kỹ hữu hiệu để chẩn đoán vỡ tạng rỗng do chấn thương bụng kín. Ngoài tác dụng đã được khẳng định là tìm hơi tự do ổ phúc mạc nó còn có thể chỉ ra được vị trí thương tổn hay nghi thương tổn giúp các bác sỹ lâm sàng nhanh chóng tìm ra biện pháp xác minh chẩn đoán và phẫu thuật cho bệnh nhân. Điều này có ý nghĩa cực kỳ quan trọng vì nó giúp giảm thiểu đáng kể tỷ lệ biến chứng và tử vong có thể xảy ra trong giai đoạn hậu phẫu.
TÀI LIỆU THAM KHẢO
1.Ertugrul G., Coskun M, Sevinc M., Fisun Ertugrul F., Toydemir T.(2012), “Delayed presentation of a sigmoid colon injury following blunt abdominal trauma: a case report “ , http://www.jmedicalcasereports.com/content/6/1/247
2.Fakhry S.M., Brownstein M., Watts DD (2000): “Relatively short diagnostic delays(<8 hours) produce morbidity and mortality in blunt small bowel injury:
analysis of time to operative intervention in 198 patients from a
multicenter experience”, J Trauma Inj Infect Crit Care, 48, pp:408–414

3.Hefny A.F., Abu-Zidan F. M. (2011), “Sonographic diagnosis of intraperitoneal free air”, Journal of Emergencies, Trauma, and Shock I, 4, pp: 511-513.
4.Mularski R.A., Sippel J.M. (2000), “Pneumoperitoneum: A review of nonsurgical causes”, Crit Care Med , 28(7), pp:2638-2644.
5.Rodrıguez L.C. et all (2013), “Use of Multidetector Computed Tomography for Locating the Site of Gastrointestinal Tract Perforations”, ciresp , 9 1 ( 5 ), pp : 3 1 6 – 3 2 3
6.Sikka R.(2004), “Unsuspected internal organtraumatic injuries”, Emerg Med Clin N Am, 22 , pp:1067–1080
7.Solis C.V.,2, Chang Y.,De Moya M. A.et all (2014), “Free air on plain film: Do we need a computed tomography too?”,  Journal of Emergencies, Trauma, and Shock, 7, pp: 3-8.

Tác giả: Phan Khánh Việt, Nguyễn Hoàng Nam

Tổng số điểm của bài viết là: 0 trong 0 đánh giá

  Ý kiến bạn đọc

Những tin mới hơn

Những tin cũ hơn

Album ảnh bệnh viện
Bạn đã không sử dụng Site, Bấm vào đây để duy trì trạng thái đăng nhập. Thời gian chờ: 60 giây
Gửi phản hồi