tin tuc

Bệnh dị dạng mạch máu não hiếm gặp tại Bệnh viện Đa khoa tỉnh Quảng Trị: MOYA MOYA

Thứ năm - 10/03/2022 19:04
Bệnh dị dạng mạch máu não hiếm gặp tại Bệnh viện Đa khoa tỉnh Quảng Trị: MOYA MOYA
1. BÁO CÁO CA BỆNH
1.1. Bệnh sử
- Bệnh nhân nữ, 27 tuổi, vào viện vì yếu 1/2 người phải, nói ngọng
- Bệnh khởi phát tối nhập viện, bệnh nhân đột ngột nói ngọng, yếu liệt 1/2 người phải. Sau khoảng 5 phút thì hồi phục. Bệnh nhân lắng nên nhập viện
1.2. Tiền sử:
- Cường giáp bỏ trị, đang có con nhỏ 2 tháng
- Khoảng 5 năm trước, khi đang làm việc tại Tp.HCM, bệnh nhân có choáng, xỉu. Đi khám nhiều nơi được chẩn đoán rối loạn tiền đình. Từ đó đến nay, bệnh nhân có xuất hiện nhiều cơn đau đầu dữ dội
- Khi mang thai, tê chân phải
1.3. Cận lâm sàng
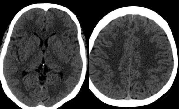
Bệnh nhân được chụp CLVT sọ não không tiêm thuốc: chưa phát hiện bất thường
Bệnh nhân tiếp tục được được chụp CLVT mạch máu não: Phát hiện hẹp khít động mạch cảnh trong trái đoạn mấu giường và động mạch não giữa đoạn M1 hai bên.
Một bệnh nhân trẻ tuổi, CLVT mạch máu não nghĩ nhiều đến hình ảnh của bệnh Moya Moya, vì vậy bệnh nhân được chỉ định chụp DSA mạch não để khẳng định chẩn đoán đồng thời tiên lượng khả năng điều trị bệnh.
Hình chụp DSA động mạch cảnh trong phải và trái: hẹp khít động mạch não giữa hai bên đoạn M1.
Hình chụp DSA động mạch cảnh trong trái: hẹp khít động mạch cảnh trong trái đoạn mấu giường.
Hình chụp DSA động mạch đốt sống: bàng hệ cho hệ tuần hoàn trước từ hệ thống tuần hoàn sau
2. CHẨN ĐOÁN: hình ảnh điển hình của bệnh Moya Moya
Bệnh Moya Moya là bệnh lý mạch máu hẹp tại gốc một số động mạch lớn trong sọ thuộc tuần hoàn trước (thuộc động mạch cảnh trong). Quá trình hẹp dần dần nên cơ thể thích nghi bằng các tuần hoàn bàng hệ bù cho vùng thiếu hụt tuần hoàn. Tuần hoàn bàng hệ phát triển tại chỗ hẹp bằng rất nhiều mạch máu nhỏ và yếu, dễ hình thành các phình mạch nhỏ và vỡ gây chảy máu não. Nếu tuần hoàn bàng hệ một lúc nào đó không đủ cấp máu cho não sẽ gây nên nhồi máu não tái đi tái lại. Trên chụp mạch, các mạch nhỏ tại chỗ hẹp tạo nên hình “những làn khói tỏa” (puff of smoke). Bệnh lấy tên một bác sĩ người Nhật là người đầu tiên mô tả về bệnh này trong y văn.
3. DỊCH TỄ 
Đây là bệnh rất hiếm gặp, và loại bệnh di truyền do đột biến nhiễm sắc thể số 17. Thường gặp triệu chứng ở độ tuổi 30-40 tuổi. Ở Nhật, tỷ lệ gặp bệnh này là 0.35/100 000 người dân, tức là cứ 1 triệu người dân thì gặp khoảng 3.5 người bệnh. Nếu lấy tỉ lệ này cho dân Việt Nam thì nước ta dân số khoảng 100 triệu sẽ có khoảng 35 người. Số người này thường đến các bệnh viện lớn ở tuyến trên như ở Hà Nội, Thành phố Hồ Chí Minh để khám nên tỷ lệ gặp cao hơn, ở tuyến tỉnh tỷ lệ gặp rất hiếm.
4. ĐIỀU TRỊ
- Điều trị nội khoa bằng thuốc chống đông: để làm chậm quá trình tiến triển hẹp mạch và dự phòng huyết khối, tuy nhiên để điều trị triệt để cần phải phẫu thuật.
- Điều trị phẫu thuật: do bệnh Moya Moya chỉ gây hẹp đoạn gần của động mạch não và chỉ tổn thương ở hệ động mạch cảnh trong nên nguyên tắc điều trị là tạo nên vòng nối đoạn xa của động mạch não giữa với động mạch thái dương nông hoặc động mạch màng não giữa. Vòng nối này có thể được tạo trực tiếp nhờ phẫu thuật nối hoặc có thể chỉ là để một tổ chức giàu mạch ở bề mặt nhu mô não sau đó tuần hoàn bàng hệ sẽ tự tái lập.Trong hai cách thì phẫu thuật nối mạch trực tiếp rất khó do động mạch tận thường có kích thước quá nhỏ để có thể nối, mặt khác sau khi nối xong gây tăng lưu lượng tuần hoàn đột ngột dễ tai biến chảy máu.Cách thứ hai được ưa chuộng hơn. Với cách này, người ta đục nhiều lỗ ở xương sọ để các mạch nhỏ dưới da tự bò vào (giống như rễ cây) hoặc đặt lên bề mặt thùy trán một phần cơ thái dương có cuống động mạch nuôi để tự sinh ra tuần hoàn bàng hệ…
TÀI LIỆU THAM KHẢO:
1. Eugeniusz et coll. Pol J Radiol. 2011 Jan-Mar; 76(1): 73–79
2. DOI: 10.1148/radiol.2232011094

3. https://radiopaedia.org/articles/moyamoya-disease-1

Tác giả: Ths.Bsnt. Phùng Hưng – Khoa CĐHA

Tổng số điểm của bài viết là: 1 trong 1 đánh giá

Xếp hạng: 1 - 1 phiếu bầu

  Ý kiến bạn đọc

Những tin mới hơn

Những tin cũ hơn

Album ảnh bệnh viện
Bạn đã không sử dụng Site, Bấm vào đây để duy trì trạng thái đăng nhập. Thời gian chờ: 60 giây
Gửi phản hồi