tin tuc

Phẫu thuật thành công khối u tuyến ức nặng 1kg ở bệnh nhân lớn tuổi

Thứ tư - 10/04/2019 09:03
Một khối u "khủng" của bệnh nhân lớn tuổi, từng bị ung thư đã được các bác sĩ phẫu thuật thành công.
Các y bác sĩ Bệnh viện Đa khoa tỉnh Quảng Trị thực hiện ca phẫu thuật. Ảnh: BV cung cấp.
Các y bác sĩ Bệnh viện Đa khoa tỉnh Quảng Trị thực hiện ca phẫu thuật. Ảnh: BV cung cấp.
Chiều 10.4, lãnh đạo bệnh viện Đa khoa tỉnh Quảng Trị cho biết, vừa phẫu thuật thành công khối u tuyến ức lớn ở nữ bệnh nhân lớn tuổi.
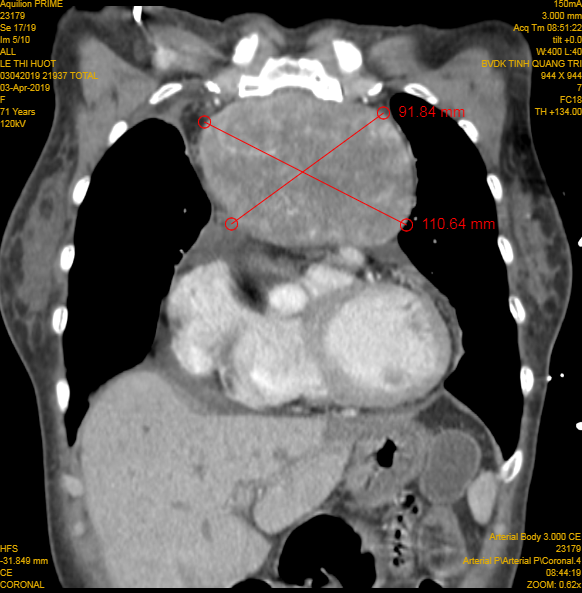
Trước đó, Bệnh viện Đa khoa tỉnh Quảng Trị tiếp nhận bệnh nhân Lê Thị Huột (SN 1948, trú tại xã Triệu Trạch, huyện Triệu Phong, Quảng Trị) trong tình trạng liên tục thiếu máu. Bệnh nhân Huột được chụp chiếu toàn thân thì phát hiện 1 khối u lớn ở tuyến ức. Bệnh nhân Huột lớn tuổi, thiếu máu, từng bị ung thư nhưng khối u quá lớn, lâu dài sẽ ảnh hưởng đến tính mạng nên các bác sĩ quyết định mổ cho bệnh nhân, dù có nhiều yếu tố rủi ro.
Hình ảnh khối u lớn được chụp lại. Ảnh: BV cung cấp.
Hình ảnh khối u lớn được chụp lại. Ảnh: BV cung cấp.
Bác sĩ Nguyễn Xuân Dũng - Trưởng khoa Ung bướu Bệnh viện Đa khoa tỉnh Quảng Trị cho biết, kíp mổ thuộc Khoa Ung bướu đã tiến hành mở ngực đường giữa, cắt xương ức, tiếp cận khối u, cô lập các mạch máu nuôi u, bóc tách khối u có kích thước 12 x10 cm, nặng khoảng 1 kg ra khỏi thành ngực thành công sau 3h.
Được biết, đây là lần đầu tiên các bác sĩ tại bệnh viện Đa khoa tỉnh Quảng Trị thực hiện một ca phẫu thuật có khối u tuyến ức lớn như trên.  

Tác giả: HƯNG THƠ

Nguồn tin: laodong.vn

Tổng số điểm của bài viết là: 1 trong 1 đánh giá

Xếp hạng: 1 - 1 phiếu bầu

  Ý kiến bạn đọc

Những tin mới hơn

Những tin cũ hơn

Album ảnh bệnh viện
Bạn đã không sử dụng Site, Bấm vào đây để duy trì trạng thái đăng nhập. Thời gian chờ: 60 giây
Gửi phản hồi