Đột quỵ là nguyên nhân gây tử vong đứng hàng thứ ba và là nguyên nhân hàng đầu gây tàn phế. Đột quỵ thiếu máu hay nhồi máu não (NMN) não chiếm tỷ lệ chủ yếu khoảng 80 - 85% các bệnh nhân đột quỵ não. Thiếu máu não kéo dài sẽ dẫn đến nhồi máu não thực sự nếu không được tái thông kịp thời và sẽ để lại các di chứng nặng nề. Vì vậy, mục tiêu điều trị trong đột quỵ thiếu máu não cấp là phải khôi phục dòng máu đến vùng đang thiếu máu càng sớm càng tốt. Tiêu sợi huyết đường tĩnh mạch dùng chất hoạt hóa plasminogen mô tái tổ hợp (rtPA) được xem là điều trị chuẩn mực đối với bệnh nhân đột quỵ thiếu máu não nhập viện sớm trong cửa sổ 4,5 giờ đầu tính từ lúc khởi phát triệu chứng. Tuy nhiên, chỉ có khoảng 3-10% bệnh nhân đột quỵ thiếu máu não giai đoạn cấp được điều trị tiêu sợi huyết tĩnh mạch do nằm ngoài cửa sổ điều trị hoặc do chống chỉ định. Thêm vào đó, tiêu sợi huyết tĩnh mạch có tỷ lệ tái thông mạch máu não không cao, đặc biệt đối với trường hợp tắc mạch máu lớn và thường bị tái tắc mạch máu sau điều trị. Lấy huyết khối bằng dụng cụ cơ học có thể tái thông được các mạch máu lớn, cửa sổ điều trị lên 8 giờ đối với tuần hoàn bên và có thể tới 12 giờ đối với hệ tuần hoàn sau. Vì vậy, lấy huyết khối bằng dụng cụ cơ học là một phương pháp bổ sung rất tốt cho những hạn chề của tiêu sợi huyết đường tĩnh mạch. Có nhiều dụng cụ cơ học lấy huyết khối nhưng sử dụng stent Solitaire và hệ thống hút huyết khối Penumbra là những dụng cụ có hiệu quả hơn cả. Đơn nguyên DSA bệnh viện ĐK tỉnh Quảng Trị tiến hành lấy huyết khối bằng dụng cụ cơ học từ năm 2017, cho đến nay kỹ thuật này đã được áp dụng thường quy cho các bệnh nhân đến viện sớm có chỉ định và đã điều trị thành công nhiều bệnh nhân đột quỵ nhồi máu nặng nặng.
Các chỉ định lấy huyết khối ĐM não trực tiếp đường động mạch:
- Chẩn đoán xác định là nhồi máu não cấp tính bằng cắt lớp vi tính hoặc cộng hưởng từ, có điểm NIHSS ≥ 8 điểm.
- Chống chỉ định hoặc thất bại với tiêu sợi huyết đường tĩnh mạch
- Thời gian từ lúc khởi phát các triệu chứng nhồi máu não đến lúc kết thúc điều trị lấy huyết khối trong vòng 8 tiếng (trừ tắc nhóm tuần hoàn sau).
- Bệnh nhân có tắc động mạch có thể điều trị được: Động mạch cảnh trong; động mạch não giữa đoạn M1, M2; động mạch thân nền (chụp CTA/MRI/DSA xác định).
- Gia đình bệnh nhân đồng ý điều trị lấy huyết khối bằng dụng cụ cơ học.
Chống chỉ đinh: nếu có một trong các tiêu chuẩn sau:
- Bệnh nhân đến muộn quá 8 giờ(trừ tắc nhóm tuần hoàn sau).
- Có bằng chứng chảy máu trên hình ảnh CLVT và/hoặc CHT sọ não.
- Chụp CLVT mạch máu (CT Angiography) hoặc CHT mạch máu (TOF 3D) hoặc chụp mạch DSA không thấy hình ảnh tắc động mạch lớn (cảnh trong, não giữa, đốt sống-thân nền).
- Hình ảnh chụp CLVT và/ hoặc CHT sọ não có nhồi máu não diện rộng (trên 1/3 diện chi phối của động mạch não giữa).
- Động mạch uốn khúc không tiếp cận được vị trí bị tắc.
- Điểm NIHSS ≥ 30.
- Tiền sử chấn thương đầu mức độ nặng, nhồi máu cơ tim hoặc phẫu thuật sọ não trong 3 tháng gần đây.
- Dị ứng với thuốc cản quang, suy thận nặng.
- Nguy cơ chảy máu cao:
+ Số lượng tiểu cầu < 100.000/ mm3
+ Huyết áp không kiểm soát được (HATT trên 185 mmHg hoặc HATTr trên 110 mmHg).
+ Điều trị thuốc chống đông gần đây với tỷ lệ INR ≥ 3,0.
+ Sử dụng heparin trong vòng 48 giờ và thời gian thromboplastin từng phần (PTT) >2 lần bình thường.
Báo cáo hai trường hợp lấy huyết khối ĐM não trực tiếp đường động mạch đầu năm 2018:
Tường hợp thứ nhất:
- Họ tên B/N: Hồ Thị M, 73 Tuổi, Nữ
- Địa chỉ: Vĩnh Linh Quảng Trị
- Bệnh sử:
+ Khởi bệnh với đột ngột liệt ½ người phải, méo miệng, thất ngôn khi đang ăn.
+ Tiền sử bệnh tim không rõ, bệnh lơ mơ GCS 10 điểm: E4V1M5
+ Khám: Liệt ½ người phải, liệt mặt phải, M 90l/p, HA 130/80 mmHg, NIHSS 18 điểm
* Chẩn đoán: Nhồi máu não bán cầu trái giờ thứ 3.5 / Rung nhĩ
- B/N được điều trị tiêu sợi huyết và chụp MSCT mạch máu não: Kết quả tắc hoàn toàn M2 trái.

- Tiêu sợi huyết không thấy cản thiện nên B/N tiếp tục được chuyển Đơn nguyên DSA lấy huyết khối trực tiếp:

Hình: ĐM não giữa trái trước và sau lấy huyết khối

Hình: Các cục huyết khối được lấy ra và hình CLVT sọ não sau 2 ngày.
- Sau can thiệp B/N liệt cải thiện (cơ lực tay chân 3/5)
Tường hợp thứ hai:
- Họ tên B/N: Lương Thị Minh Ng - 63 Tuổi - Nữ
- Địa chỉ: Đông Hà- Quảng Trị
- Bệnh sử:
+ Bệnh nhân vào viện vì liệt ½ người phải, méo mặt, nói khó, khởi bệnh đột ngột trước đó 1 tiếng.
+ NIHSS 20 điểm
+ Chụp CTSN không tiêm CQTM sọ chưa thấy hình ảnh bất thường
+ Chẩn đoán: Nhồi máu não cấp giờ thứ nhất
+ Bệnh nhân được tiến hành tiêu sợi huyết và chụp MSCT mạch máu não
+ MSCT mạch máu não: Tắc hoàn toàn động mạch cảnh trong bên trái.

- B/N được chuyển Đơn nguyên DSA tiến hành can thiệp hút huyết khối mạch máu não

Hình: ĐM cảnh trong trái trước và sau lấy huyết khối (còn tắc M1 trái)

Hình: Sau lấy huyết khối hoàn toàn Cảnh trong và M1 trái và các cục huyết khối được lấy ra.
- Sau can thiệp bệnh nhân tỉnh táo, Glasgow 14 điểm, cải thiện liệt với cơ lực tay chân 4/5.

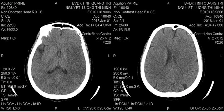
Hình: CTVT sọ não sau 2 ngày lấy huyết khối
Tác giả: BsNT. Phùng Hưng - PTK CĐHA
Ý kiến bạn đọc
Những tin mới hơn
Những tin cũ hơn
thành lập đơn vị đột quỵ - thầy thuốc ưu tú
ngày thầy thuốc Việt Nam 27.2.2018
hội thi quy tắc ứng xử 2018